医影在线

标题: PED1744:颅脑CT平扫 [打印本页]

作者: 同    时间: 2009-2-10 19:43
标题: PED1744:颅脑CT平扫
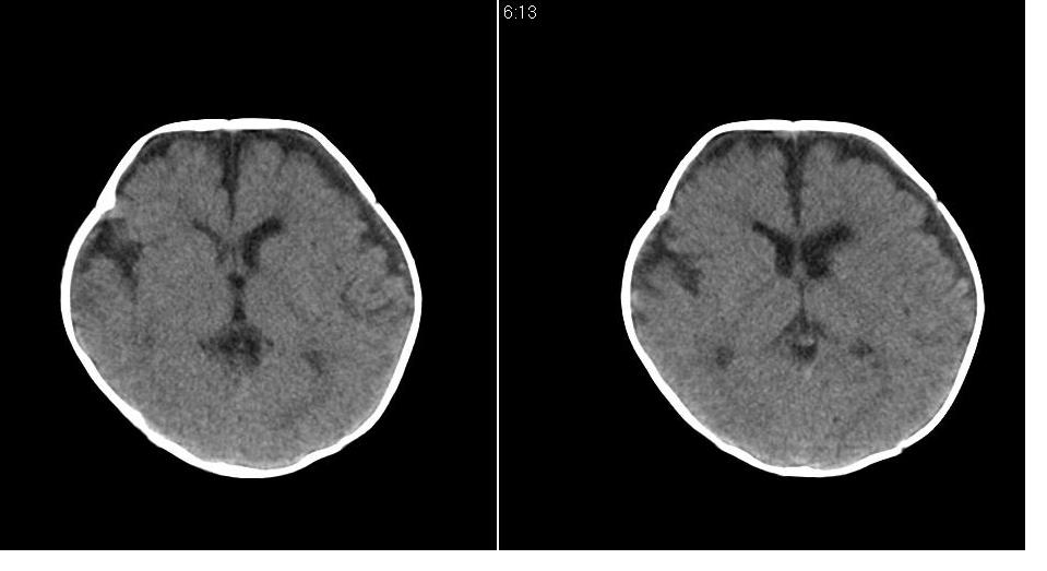
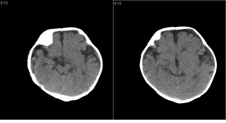
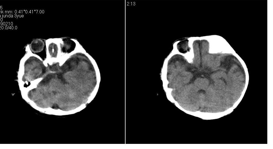
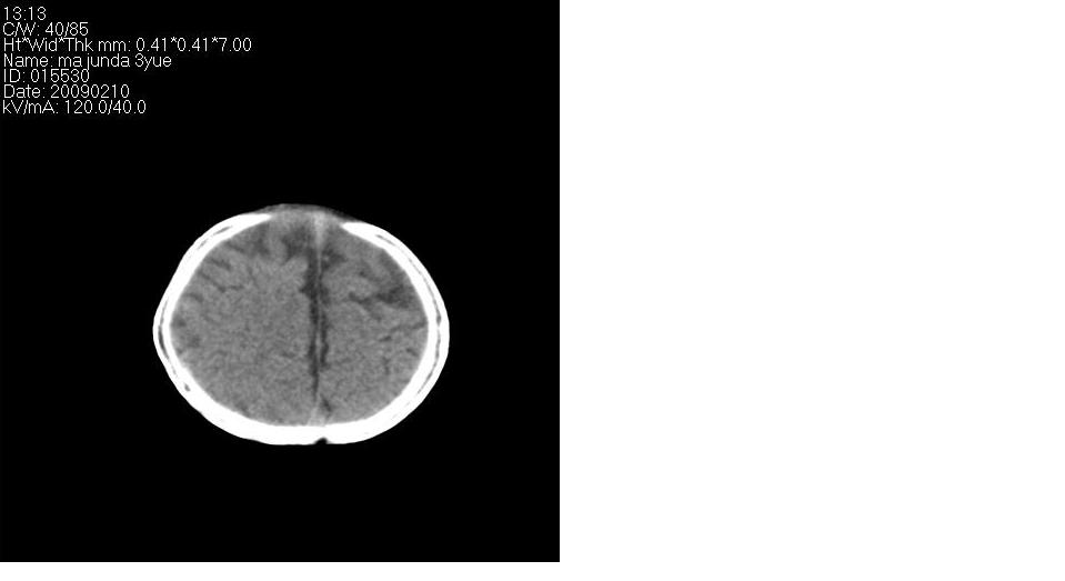
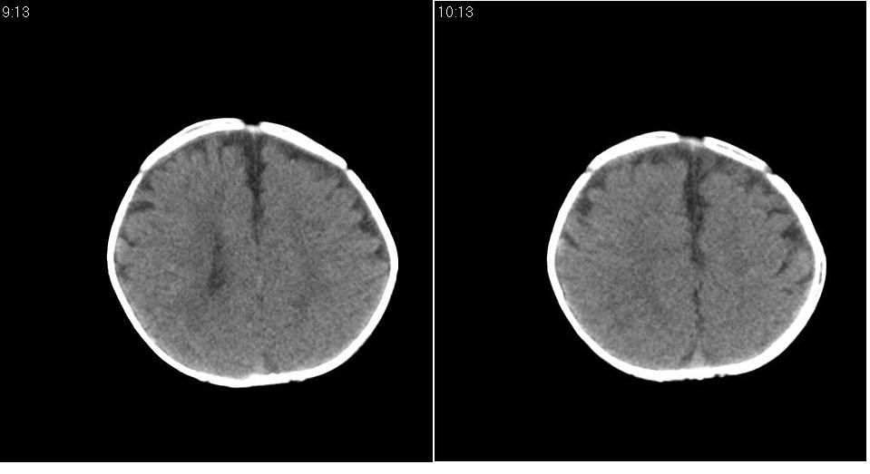
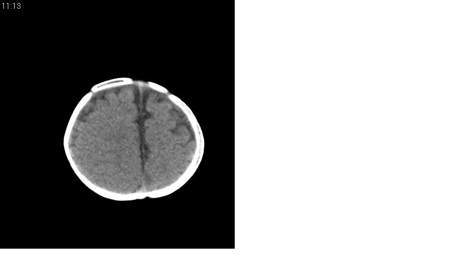
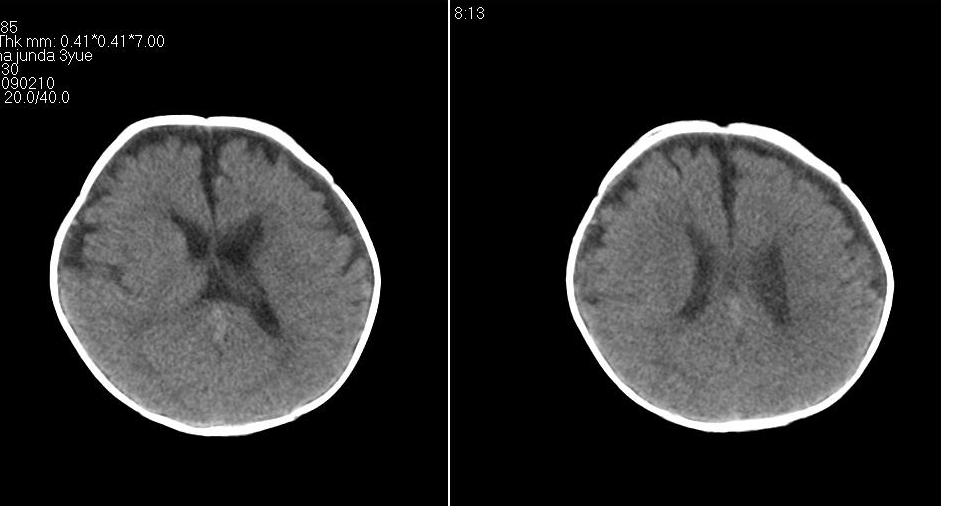
男 3个月,头大,颈软,头向后仰。










[本贴已被 jiajie 于 2009-2-10 20:40:43 修改过]

作者: 流浪星    时间: 2009-2-10 21:04
未见明显异常。
作者: ydx_74    时间: 2009-2-10 22:02
3月小儿允许蛛网膜下腔宽些
作者: dengkai    时间: 2009-2-10 22:10
暂未见明显异常。
作者: jiangjing    时间: 2009-2-10 23:29
外部性脑积水
作者: 杀毒软件    时间: 2009-2-10 23:36
未见明显异常
作者: 道哥    时间: 2009-2-11 00:32
未见明显异常,必要时核磁共振检查。
作者: yy杨洋    时间: 2009-2-11 02:14
未见明显异常
作者: 随光逐影    时间: 2009-2-11 02:59
考虑外部性脑积水。
作者: 沉默是金    时间: 2009-2-11 03:52
标题: 回复:颅脑ct平扫
以下是引用jiangjing在2009-2-10 15:29:00的发言:[br]外部性脑积水

作者: dyqCT    时间: 2009-2-11 04:37
脑外间隙增宽,未见明显异常。
作者: liaizhi    时间: 2009-2-11 04:57
考虑外部性脑积水。
作者: gmk_006    时间: 2009-2-11 06:30
脑外间隙增宽,余未见明显异常。
作者: zsl6918    时间: 2009-2-11 16:31
谈不上明显异常,但也不要掉以轻心,随访吧,特别要注意智力的情况。
作者: 余辉    时间: 2009-2-11 17:24
脑外间隙增宽,现在好像有人说是一种发育性的交通性脑积水
作者: 黑白光影    时间: 2009-2-11 19:15
标题: 回复:ped1744:颅脑ct平扫
以下是引用随光逐影在2009-2-10 18:59:00的发言:[br]考虑外部性脑积水。

作者: wangyong1977    时间: 2009-2-13 04:38
未见明显异常
作者: lirenxiong    时间: 2009-2-13 19:59
外部性脑积水
作者: zimiu    时间: 2009-2-14 01:03
蛛网膜增宽,外部性脑积水?
作者: 沉默是金    时间: 2009-2-14 01:25
标题: 回复:ped1744:颅脑ct平扫
以下是引用jiangjing在2009-2-10 15:29:00的发言:[br]外部性脑积水

作者: 拾荒者    时间: 2009-2-14 06:37
外部性脑积水(也就是诸位说的脑外间隙增宽);脑实质内未见异常密度灶,脑室系统无扩张,建议随访,毕竟临床症状听着怪吓人的。
作者: pzj    时间: 2009-2-15 04:42
未见明显异常,必要时核磁共振检查。




欢迎光临 医影在线 (http://bbs.radida.com/bbs/) Powered by Discuz! X3.2