

















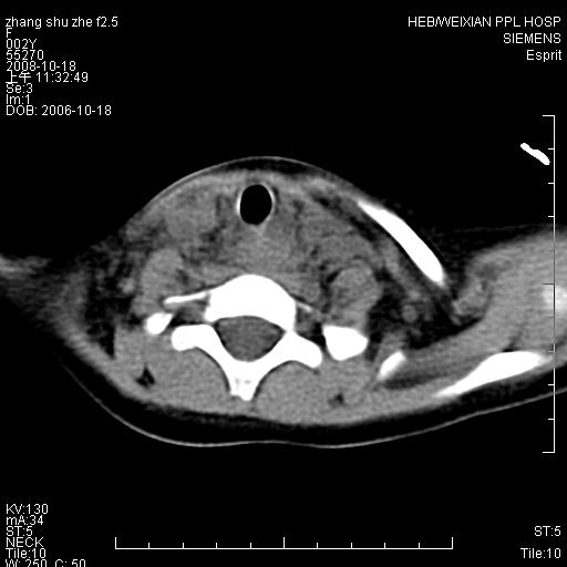
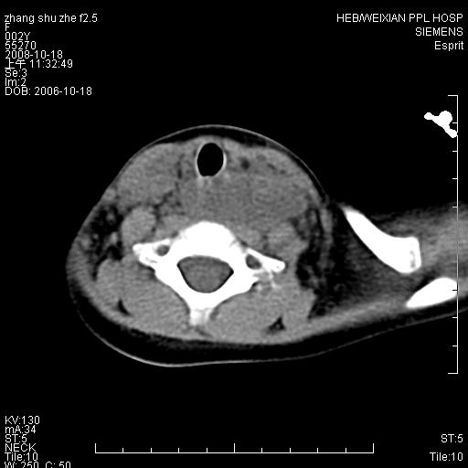
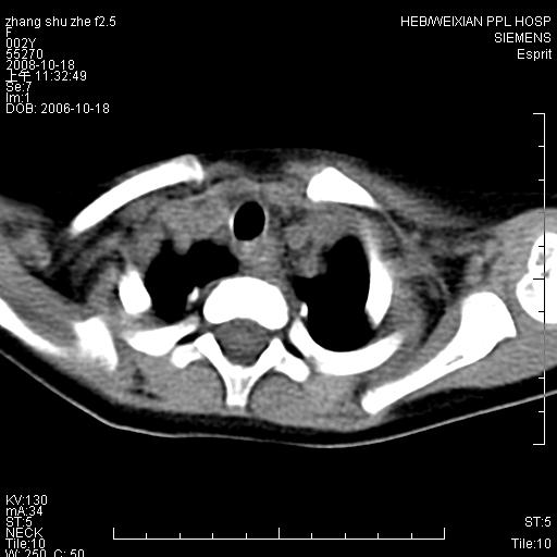
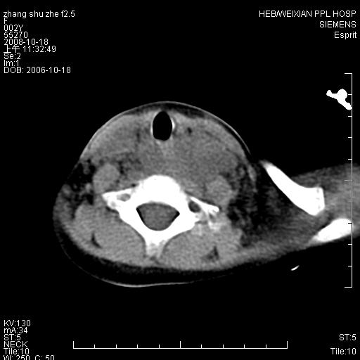
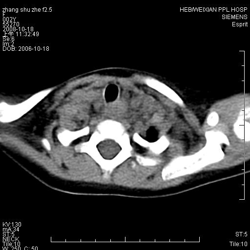
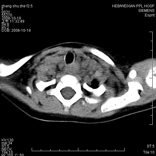
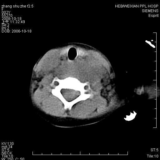
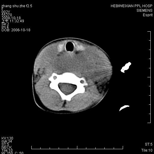
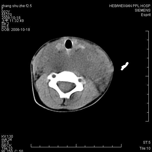
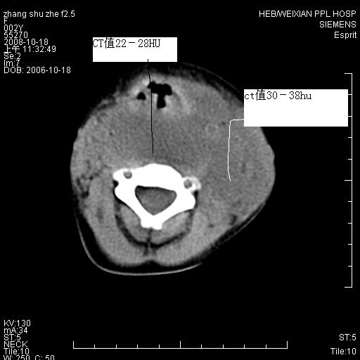
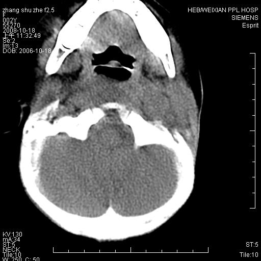
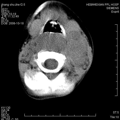
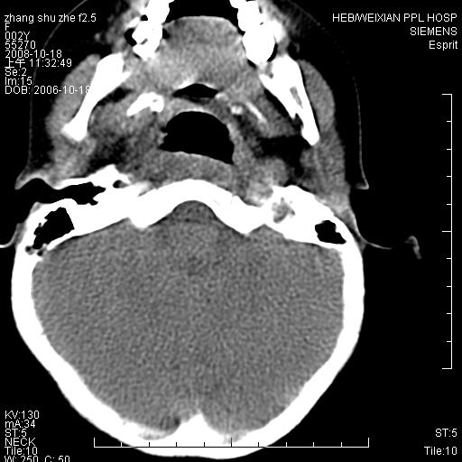
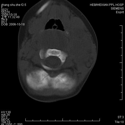
以下是引用dyqct在2009-2-10 21:04:00的发言:[br]年龄?性别?有发烧吗?[br]鼻咽部、口咽部、喉咽部及颈椎前间隙广泛肿厚,明显占位效应并致相应组织变形。ct值22-28hu。[br]考虑:1、颈前脓肿可能性大;[br] 2、建议增强或治疗后复查。
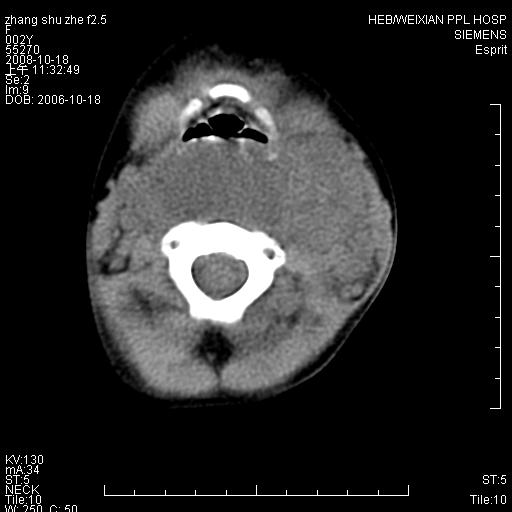
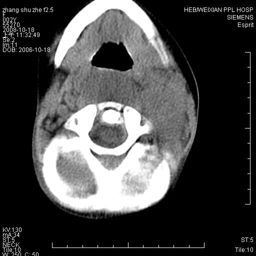
以下是引用jiangjing在2009-2-11 11:37:00的发言:[br]急性病程,鼻咽部、口咽部、喉咽部及颈椎前间隙广泛肿厚,明显占位效应并致相应组织变形.考虑颈部感染性病变(脓肿?);建议行进一步检查。
以下是引用dyqct在2009-2-10 21:04:00的发言:[br]年龄?性别?有发烧吗?[br]鼻咽部、口咽部、喉咽部及颈椎前间隙广泛肿厚,明显占位效应并致相应组织变形。ct值22-28hu。[br]考虑:1、颈前脓肿可能性大;[br] 2、建议增强或治疗后复查。
| 欢迎光临 医影在线 (http://bbs.radida.com/bbs/) | Powered by Discuz! X3.2 |