


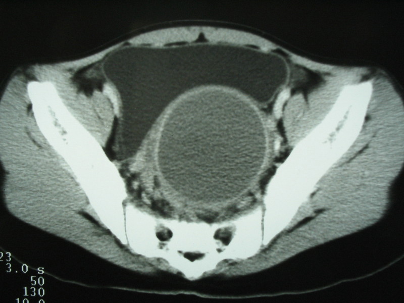
以下是引用xiaoniu在2009-2-13 18:04:00的发言:[br]病变表现在阴道及子宫的位置区,成圆形低密度区,外形光整,建议询问病史来过月经吗,疼痛有规律吗 等,考虑阴道子宫积液或积血,原因应为女性生殖器官发育异常:正常管道形成受阻所致的异常处女膜闭锁
以下是引用jiangjing在2009-2-13 18:03:00的发言:[br]考虑 宫腔积液或皮样囊肿
以下是引用xiaoniu在2009-2-13 18:04:00的发言:[br]病变表现在阴道及子宫的位置区,成圆形低密度区,外形光整,建议询问病史来过月经吗,疼痛有规律吗 等,考虑阴道子宫积液或积血,原因应为女性生殖器官发育异常:正常管道形成受阻所致的异常处女膜闭锁
以下是引用随光逐影在2009-2-13 18:13:00的发言:[br]考虑宫腔积液或积血(可能为先天性处女膜闭锁所致,请结合临床检查)。
以下是引用xiaoniu在2009-2-13 18:04:00的发言:[br]病变表现在阴道及子宫的位置区,成圆形低密度区,外形光整,建议询问病史来过月经吗,疼痛有规律吗 等,考虑阴道子宫积液或积血,原因应为女性生殖器官发育异常:正常管道形成受阻所致的异常处女膜闭锁
| 欢迎光临 医影在线 (http://bbs.radida.com/bbs/) | Powered by Discuz! X3.2 |