













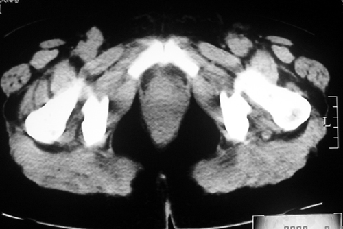
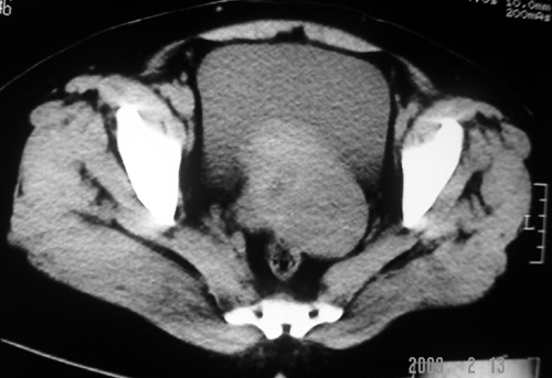
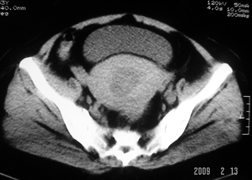
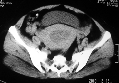
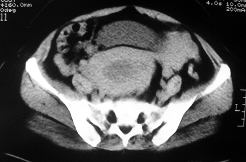
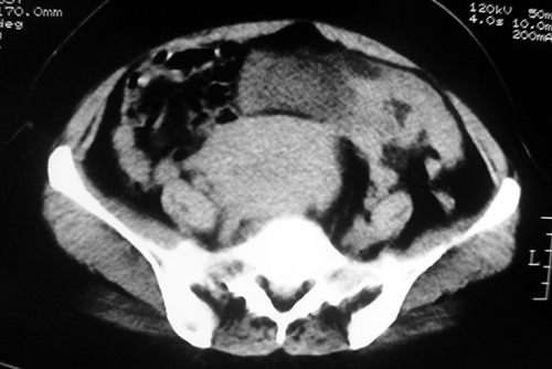
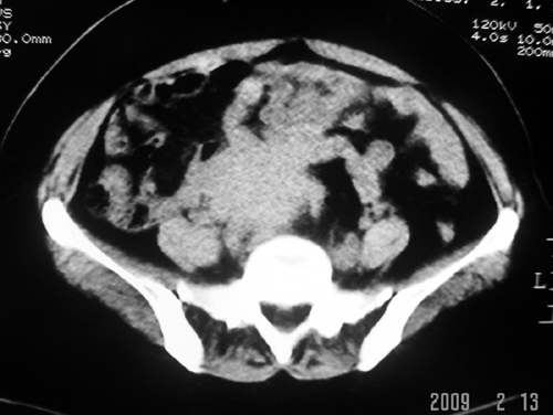
以下是引用余辉在2009-2-14 8:37:00的发言:[br]宫颈左后壁见较大低密度肿物影且向左后上方突出,宫腔内见大片状低密度区,考虑宫颈肿瘤,宫颈癌可能性大,伴宫腔积液或转移
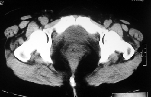
以下是引用余辉在2009-2-14 8:37:00的发言:[br]宫颈左后壁见较大低密度肿物影且向左后上方突出,宫腔内见大片状低密度区,考虑宫颈肿瘤,宫颈癌可能性大,伴宫腔积液或转移
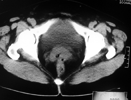
以下是引用余辉在2009-2-14 8:37:00的发言:[br]宫颈左后壁见较大低密度肿物影且向左后上方突出,宫腔内见大片状低密度区,考虑宫颈肿瘤,宫颈癌可能性大,伴宫腔积液或转移
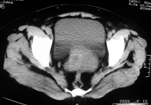
以下是引用余辉在2009-2-14 8:37:00的发言:[br]宫颈左后壁见较大低密度肿物影且向左后上方突出,宫腔内见大片状低密度区,考虑宫颈肿瘤,宫颈癌可能性大,伴宫腔积液或转移
以下是引用余辉在2009-2-14 8:37:00的发言:[br]宫颈左后壁见较大低密度肿物影且向左后上方突出,宫腔内见大片状低密度区,考虑宫颈肿瘤,宫颈癌可能性大,伴宫腔积液或转移
| 欢迎光临 医影在线 (http://bbs.radida.com/bbs/) | Powered by Discuz! X3.2 |