



































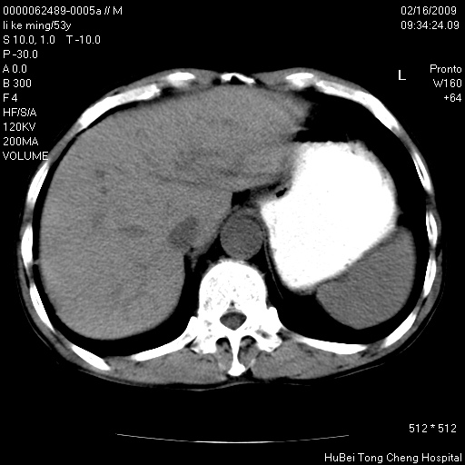
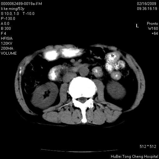
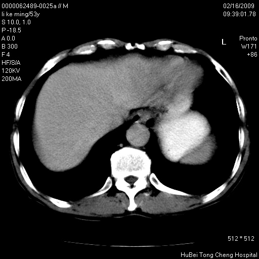
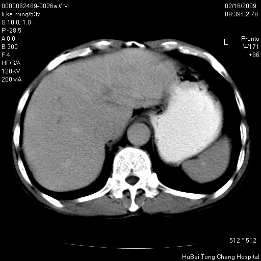
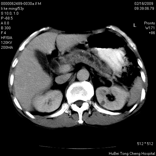
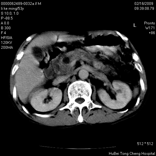
以下是引用卜一在2009-2-16 16:13:00的发言:[br]胰胆管扩张,末端明显狭窄 梗阻,胰头及十二指降段壶腹部结构紊乱。多考虑:十二指降段壶腹部癌!
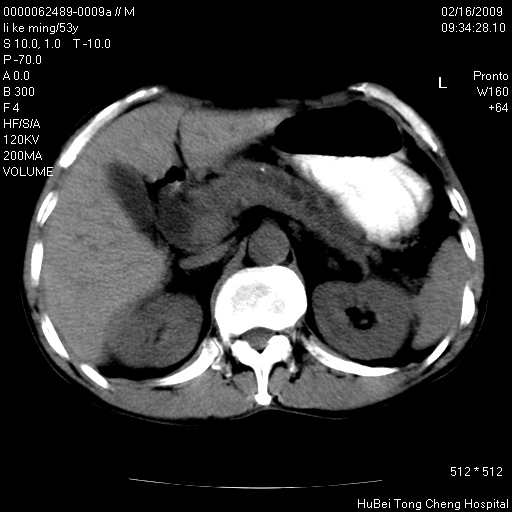
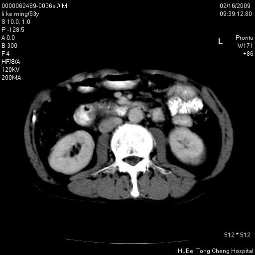
以下是引用卜一在2009-2-16 16:13:00的发言:[br]胰胆管扩张,末端明显狭窄 梗阻,胰头及十二指降段壶腹部结构紊乱。多考虑:十二指降段壶腹部癌!
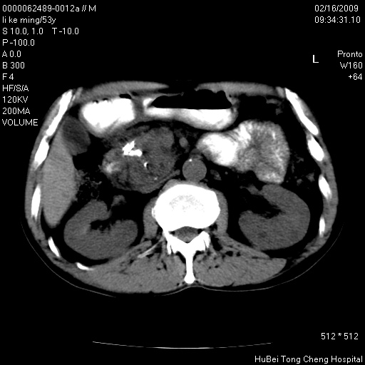
以下是引用dyqct在2009-2-16 16:58:00的发言:[br]胰头内斑点状及结节状高密度影是钙化灶还是其它?以往做过什么治疗?
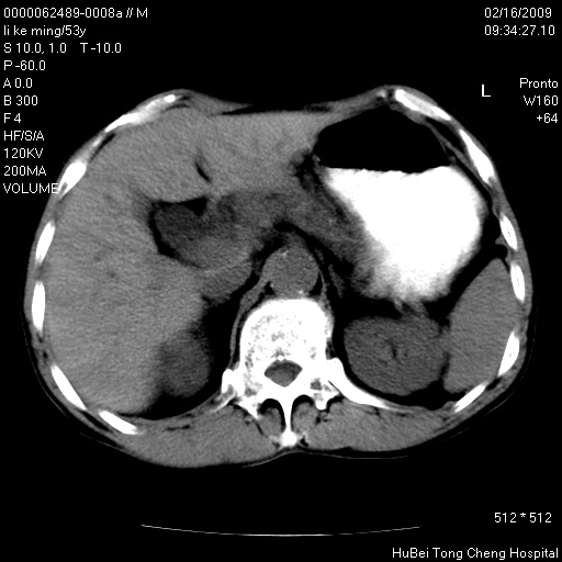
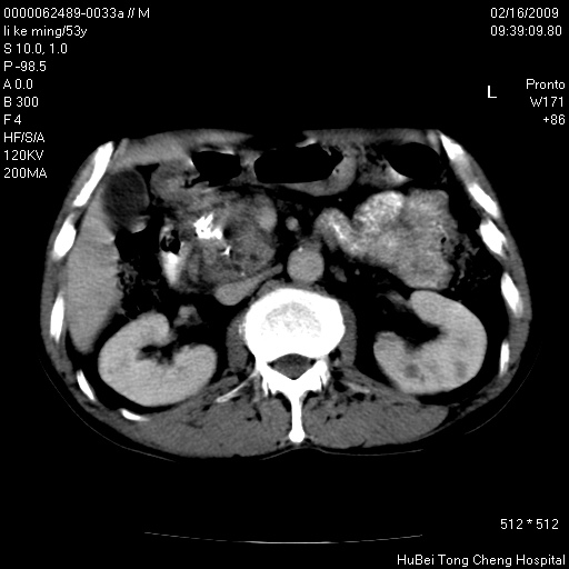
以下是引用卜一在2009-2-16 16:13:00的发言:[br]胰胆管扩张,末端明显狭窄 梗阻,胰头及十二指降段壶腹部结构紊乱。多考虑:十二指降段壶腹部癌!
以下是引用zsl6918在2009-2-17 8:48:00的发言:[br]符合胰头癌侵犯十二指肠。
| 欢迎光临 医影在线 (http://bbs.radida.com/bbs/) | Powered by Discuz! X3.2 |