












































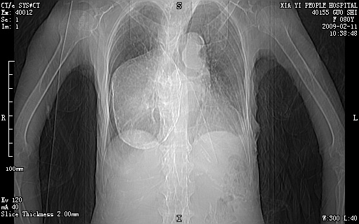
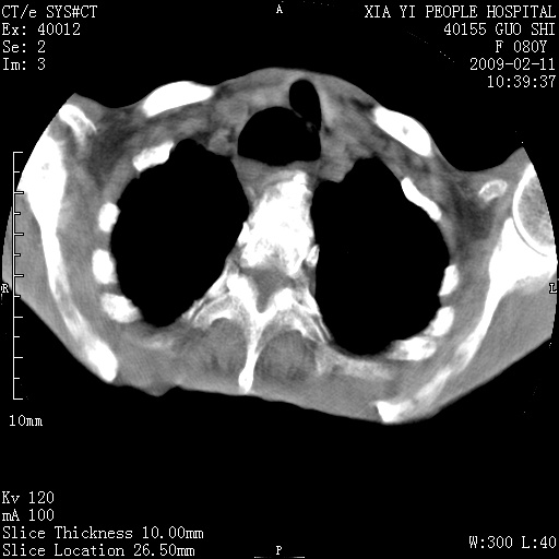
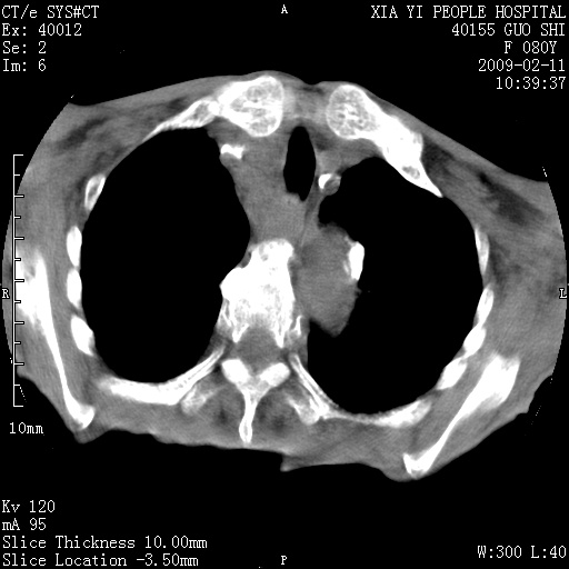
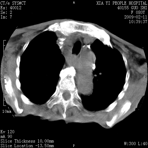
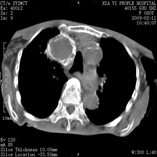
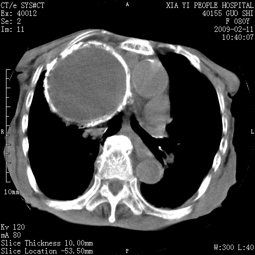
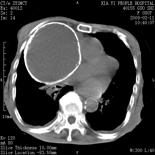
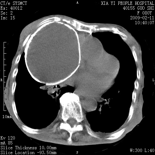
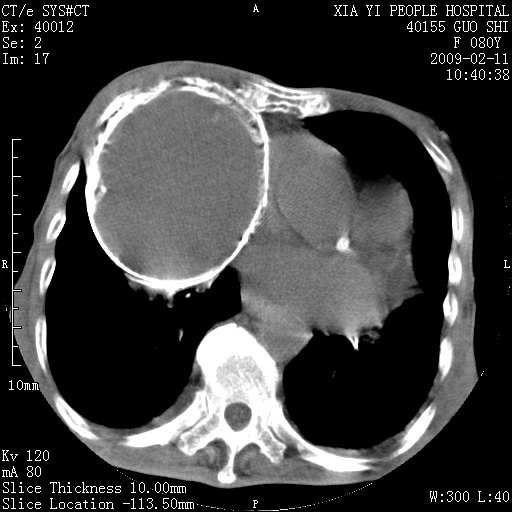
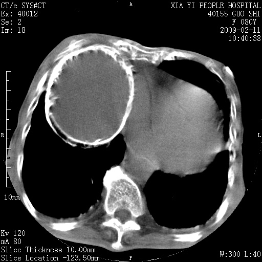
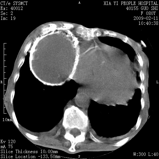
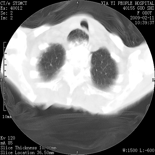
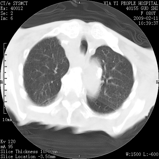
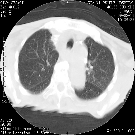
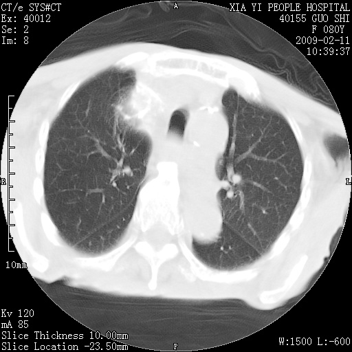
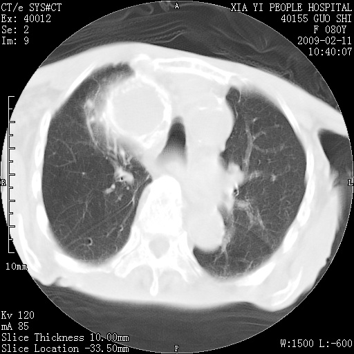
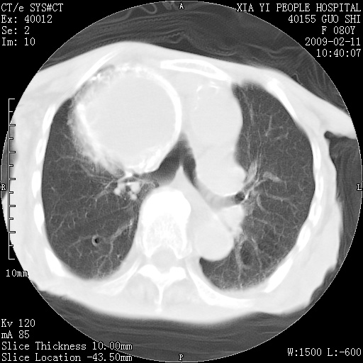
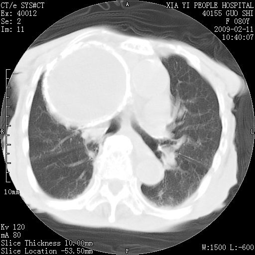
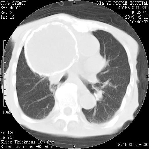
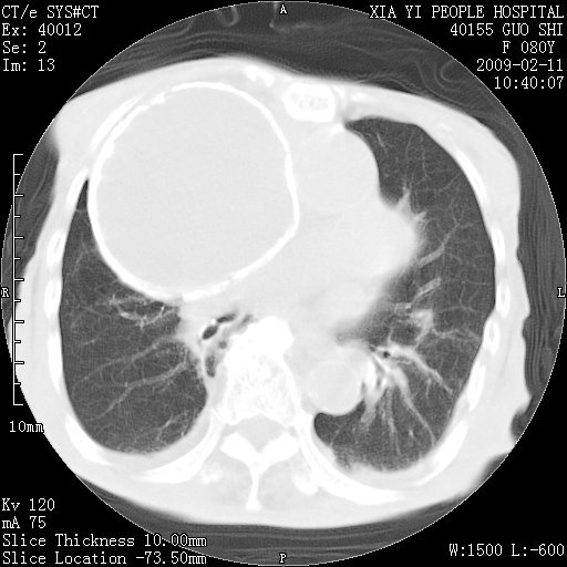
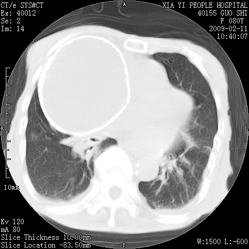
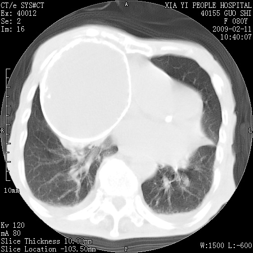
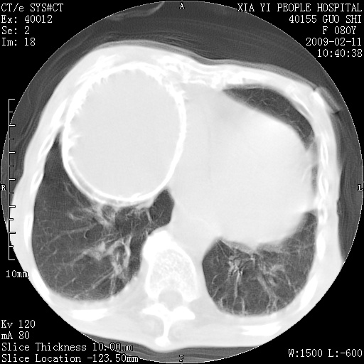
以下是引用随光逐影在2009-2-16 16:34:00的发言:[br]1)考虑右前纵隔皮样囊肿。2)双侧少量胸腔积液。
以下是引用zjzjr在2009-2-16 17:30:00的发言:[br]支持囊性畸胎瘤 双侧少量胸腔积液。
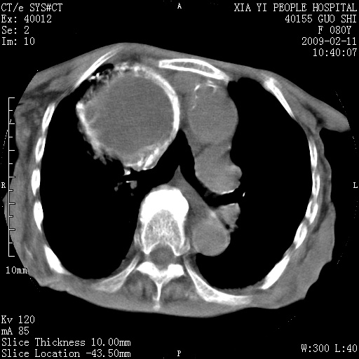
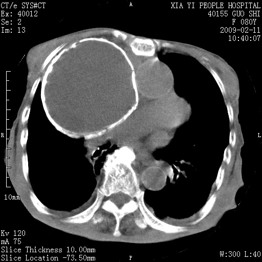
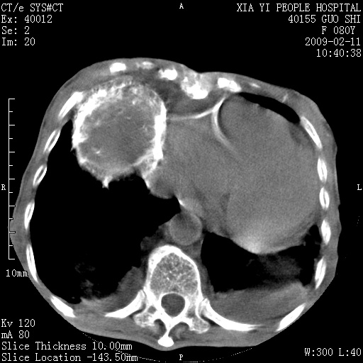
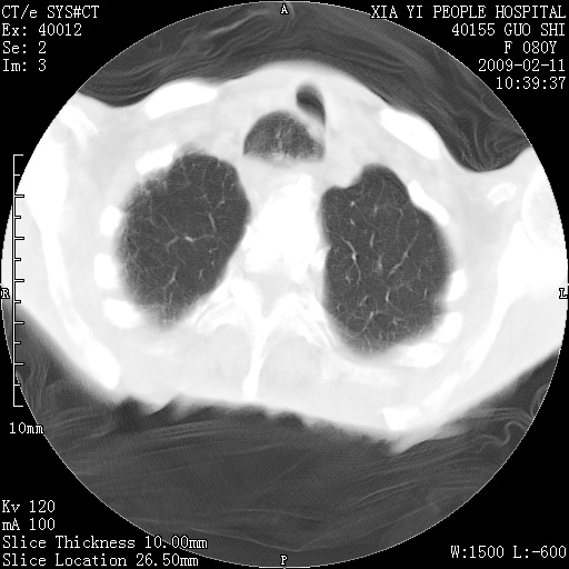
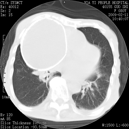
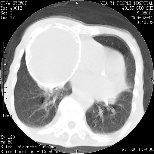
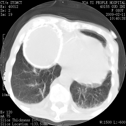
以下是引用随光逐影在2009-2-16 16:34:00的发言:[br]1)考虑右前纵隔皮样囊肿。2)双侧少量胸腔积液。
以下是引用zjzjr在2009-2-16 17:30:00的发言:[br]支持囊性畸胎瘤 双侧少量胸腔积液。
| 欢迎光临 医影在线 (http://bbs.radida.com/bbs/) | Powered by Discuz! X3.2 |