医影在线

标题: MRI2032:右侧顶叶区病变,请会诊 [打印本页]

作者: 8314337    时间: 2009-2-17 02:46
标题: MRI2032:右侧顶叶区病变,请会诊
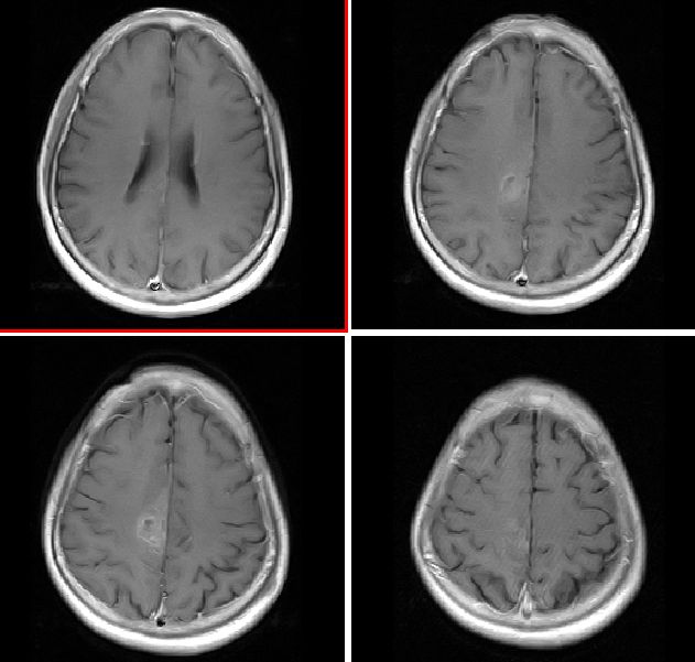
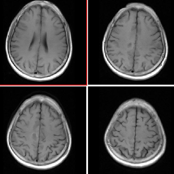
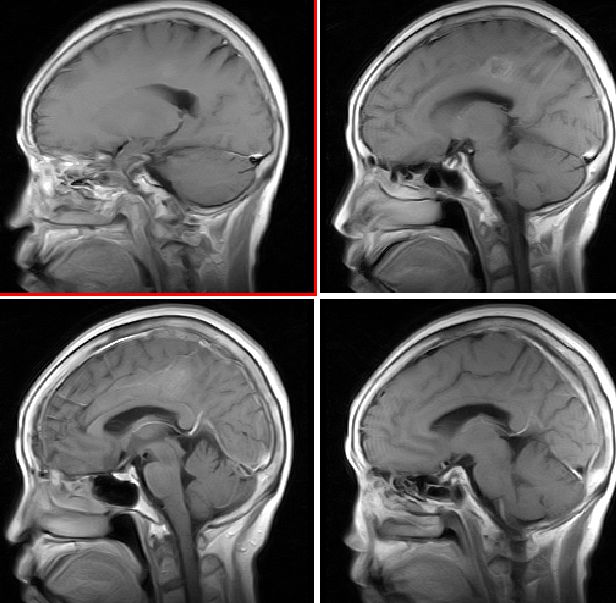
女性患者,64岁,左侧肢体不自主震颤1月,间歇性,持续数秒,
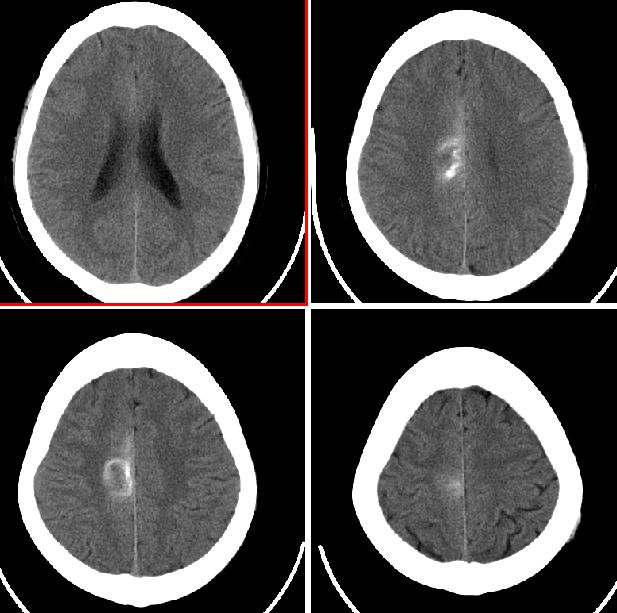
ct

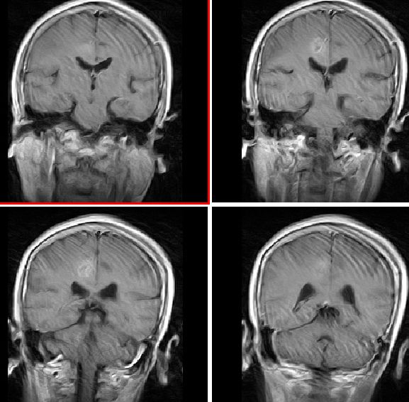
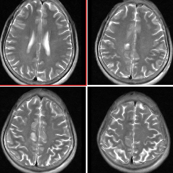
mri平扫



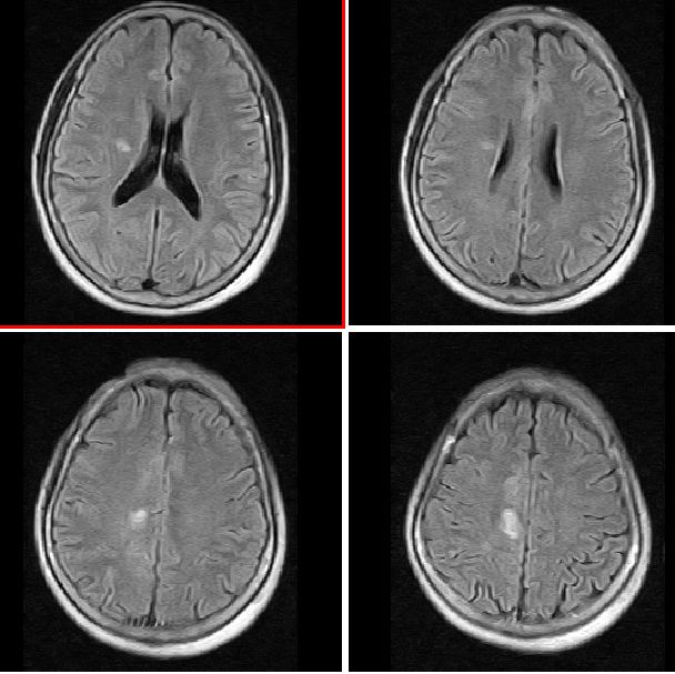
mri增强





[本贴已被 jiajie 于 2009-2-17 12:17:53 修改过]

作者: maheliang1111    时间: 2009-2-17 03:03
脑梗死
作者: 道哥    时间: 2009-2-17 03:24
考虑avm
作者: dengkai    时间: 2009-2-17 03:48
考虑avm
作者: zrs    时间: 2009-2-17 03:55
ct表现:右侧中央旁小叶区团状混杂密度病灶,周边不完整环状钙化,病灶周围脑组织无水肿。
mr表现:中央旁小叶区病灶号不均匀性稍长t1、长t2信号,病灶周边见稍短t1信号环。右侧脑室体旁见点片状等t1、稍长t2信号影。flai序列各病灶均呈高信号。增强后右侧中央旁小叶区病灶呈不均匀性强化。
考虑: 右侧中央旁小叶区血管畸形。
       右侧脑室体旁腔隙性梗塞。
作者: wangzhengyuan    时间: 2009-2-17 04:01
avm.
作者: gmk_006    时间: 2009-2-17 04:17
ct表现:右侧中央旁小叶区团状混杂密度病灶,周边不完整环状钙化,病灶周围脑组织无水肿。
mr表现:中央旁小叶区病灶号不均匀性稍长t1、长t2信号,病灶周边见稍短t1信号环。右侧脑室体旁见点片状等t1、稍长t2信号影。flai序列各病灶均呈高信号。增强后右侧中央旁小叶区病灶呈不均匀性强化。
考虑: 右侧中央旁小叶区血管畸形。
       右侧脑室体旁腔隙性梗塞。
支持!
作者: liuqiang    时间: 2009-2-17 04:46
avm
作者: wxh7125    时间: 2009-2-17 04:59
支持avm
作者: huangxinghai    时间: 2009-2-17 05:17
考虑avm或者海绵状血管瘤
作者: 晓杰    时间: 2009-2-17 05:27
支持avm
作者: wuyiyunwu    时间: 2009-2-17 06:40
未见流空现象,不太支持avm或海绵状血管瘤,病灶不完整的弧形钙化,还是考虑1或2级胶质瘤可能.
作者: 黑白光影    时间: 2009-2-17 06:53
考虑avm或者海绵状血管瘤
作者: 卜一    时间: 2009-2-17 07:04
考虑avm或者海绵状血管瘤!
作者: guanaishengming    时间: 2009-2-17 11:15
未见到流空血管,首先考虑海绵状血管瘤伴发出血
作者: 随光逐影    时间: 2009-2-17 16:34
支持 右侧中央旁小叶区脑血管畸形(海绵状血管瘤可能)。
作者: huenhao    时间: 2009-2-17 17:37
支持avm
作者: 芊芊百合    时间: 2009-2-17 18:50
支持avm
作者: SongYi    时间: 2009-2-17 19:23
支持avm
作者: docgobt103035    时间: 2009-2-18 00:00
avm
作者: pujunzhi    时间: 2009-2-18 22:09
支持右顶叶avm
作者: 天堂鸟    时间: 2009-2-18 23:47
支持avm
作者: jiangjing    时间: 2009-2-19 22:36
海绵状血管瘤
作者: 可爱的虫    时间: 2009-2-20 00:01
支持avm
作者: 51736011    时间: 2009-2-20 17:26
ct表现:右侧中央旁小叶区团状混杂密度病灶,周边不完整环状钙化,病灶周围脑组织无水肿。
mr表现:中央旁小叶区病灶号不均匀性稍长t1、长t2信号,病灶周边见稍短t1信号环。右侧脑室体旁见点片状等t1、稍长t2信号影。flai序列各病灶均呈高信号。增强后右侧中央旁小叶区病灶呈不均匀性强化。
考虑: 右侧中央旁小叶区血管畸形。
       右侧脑室体旁腔隙性梗塞。
支持!
作者: quscom    时间: 2009-2-25 19:29
右侧中央旁小叶结节样占位,边界清楚,周围未见明显水肿,t1wi呈低信号,t2wi呈高信号,增强扫描明显不均匀强化。未见流空畸形血管团及引流静脉,所以考虑海绵状血管瘤。低级别胶质瘤一般血脑屏障无破坏,强化不明显。
作者: zyx168    时间: 2009-3-2 02:54
支持avm




欢迎光临 医影在线 (http://bbs.radida.com/bbs/) Powered by Discuz! X3.2