

































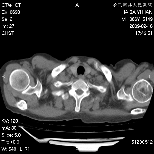
以下是引用huangxun4321在2009-2-16 20:18:00的发言:[br]部分病灶可见硬化边,部分可见骨质破坏消失,部分病灶内可见骨脊,说明病灶内既有良性病变,又有恶性病变,考虑骨巨细胞瘤恶变,未除骨纤恶变,畸形性骨炎少见,亦要考虑.
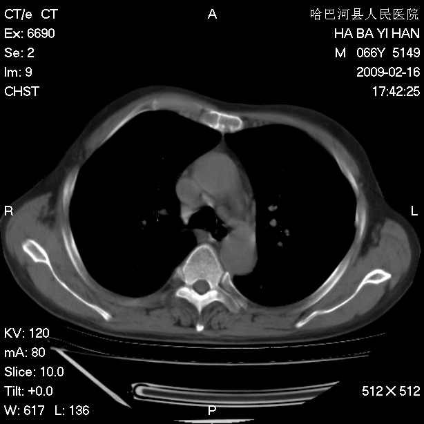
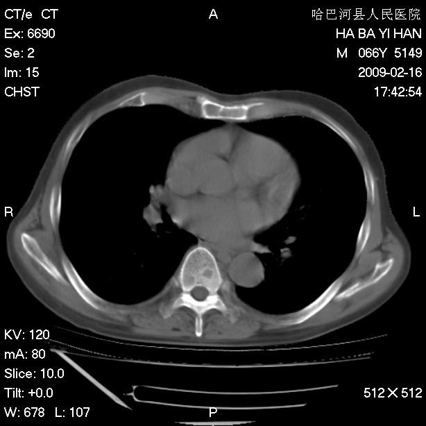
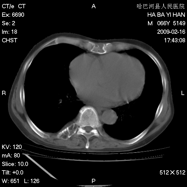
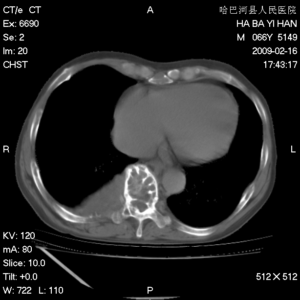
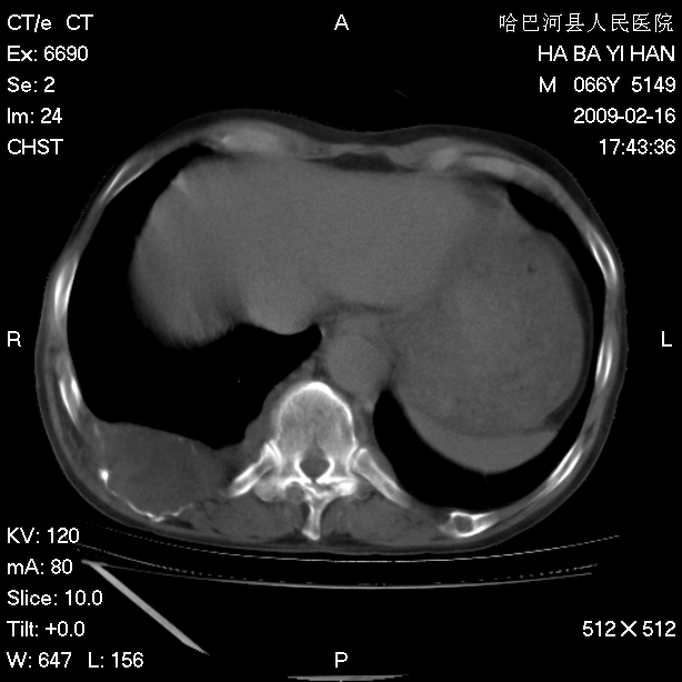
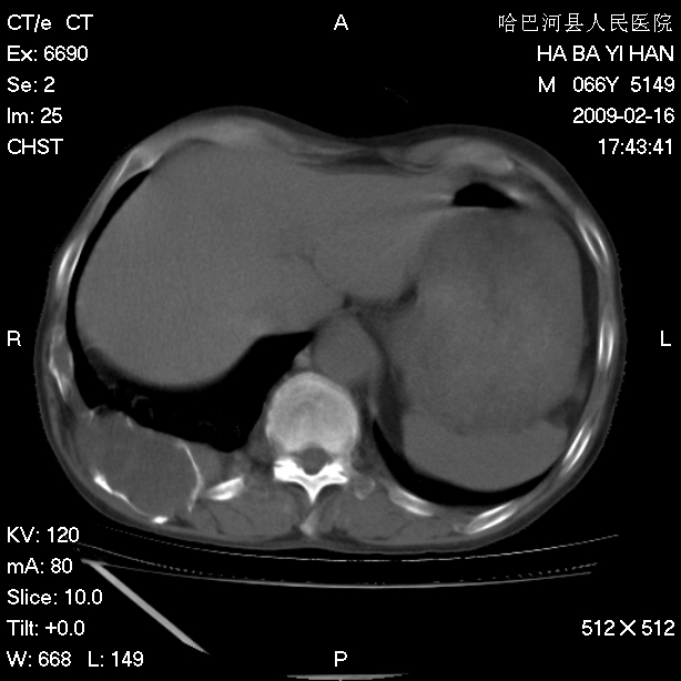
以下是引用731208在2009-2-16 20:31:00的发言:[br]考虑恶性胸膜间皮瘤并肋骨,脊柱转移。
以下是引用yijiansheng在2009-2-16 20:16:00的发言:[br]考虑恶性胸膜间皮瘤并肋骨,脊柱转移。
以下是引用形影不离在2009-2-16 19:55:00的发言:[br]考虑多发性转移瘤。
| 欢迎光临 医影在线 (http://bbs.radida.com/bbs/) | Powered by Discuz! X3.2 |