医影在线

标题: CT18148:女,44岁,头痛数月。 [打印本页]

作者: yy杨洋    时间: 2009-2-17 20:17
标题: CT18148:女,44岁,头痛数月。
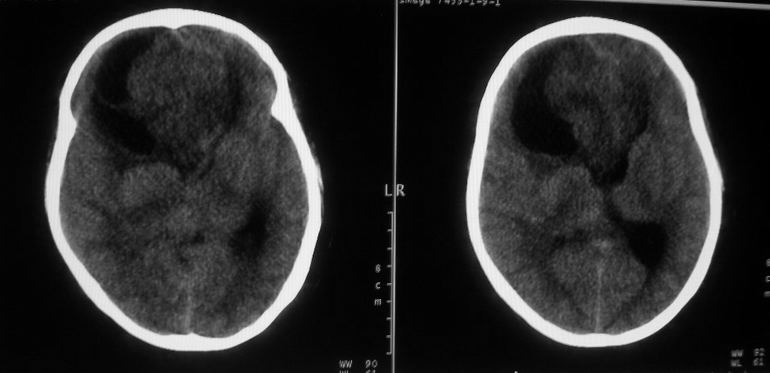
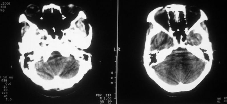
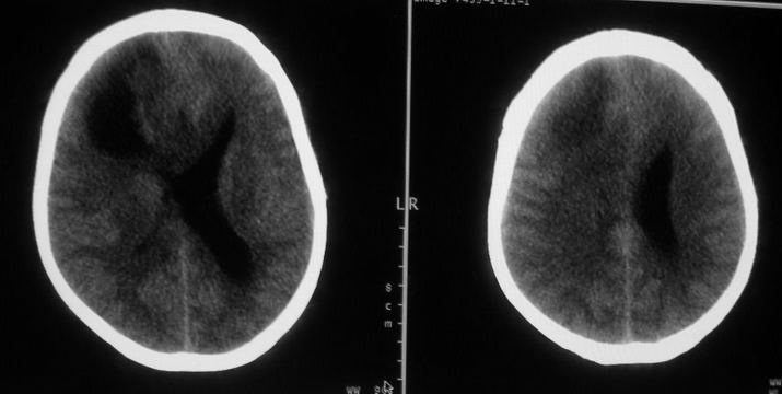
女,44岁,头痛数月。









[本贴已被 jiajie 于 2009-2-17 15:11:53 修改过]

作者: ct诊断高手    时间: 2009-2-17 20:35
考虑一氧化碳中毒缺氧,形成的
作者: wzr    时间: 2009-2-17 20:38
考虑脑肿瘤,建议ct增强或mri。
作者: 随光逐影    时间: 2009-2-17 20:41
右侧额叶占位性病变,考虑脑肿瘤;建议行进一步检查。
作者: yuhongjun    时间: 2009-2-17 20:47
右侧额叶占位性病变,考虑脑肿瘤;建议行进一步检查。
作者: zjzjr    时间: 2009-2-17 20:52
右侧额叶占位性病变,考虑脑膜瘤可能性大;建议行进一步检查。
作者: dengkai    时间: 2009-2-17 21:57
右侧额叶占位性病变,考虑脑肿瘤;建议增强或mr
作者: 深泽交通    时间: 2009-2-17 22:41
标题: 回复:头部
以下是引用随光逐影在2009-2-17 12:41:00的发言:[br]右侧额叶占位性病变,考虑脑肿瘤;建议行进一步检查。

作者: 杀毒软件    时间: 2009-2-18 01:24
标题: 回复:ct18148:女,44岁,头痛数月。
以下是引用随光逐影在2009-2-17 12:41:00的发言:[br]右侧额叶占位性病变,考虑脑肿瘤;建议行进一步检查。

建议ct增强或mri
作者: xulianj    时间: 2009-2-18 05:10
考虑脑肿瘤;建议行进一步检查。
作者: zsl6918    时间: 2009-2-18 17:34
图像质量不能明确诊断。
作者: huqi8888    时间: 2009-2-18 18:34
考虑为额叶占位;肿瘤可能?建议行进一步检查。
作者: 黑白光影    时间: 2009-2-18 21:54
右侧额叶占位性病变,考虑脑肿瘤;建议行进一步检查。
作者: 中原一点红    时间: 2009-2-28 06:53
囊性脑膜瘤
作者: jiangdy    时间: 2009-2-28 23:43
肿瘤建议增强




欢迎光临 医影在线 (http://bbs.radida.com/bbs/) Powered by Discuz! X3.2