医影在线

标题: CT18179:F67y,反复头昏、头痛。 [打印本页]

作者: lczeng    时间: 2009-2-18 02:16
标题: CT18179:F67y,反复头昏、头痛。
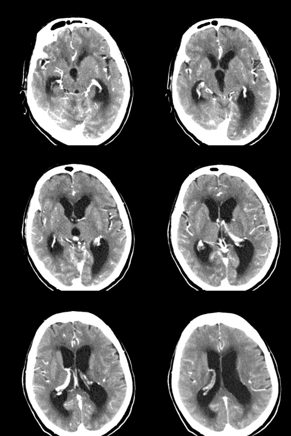
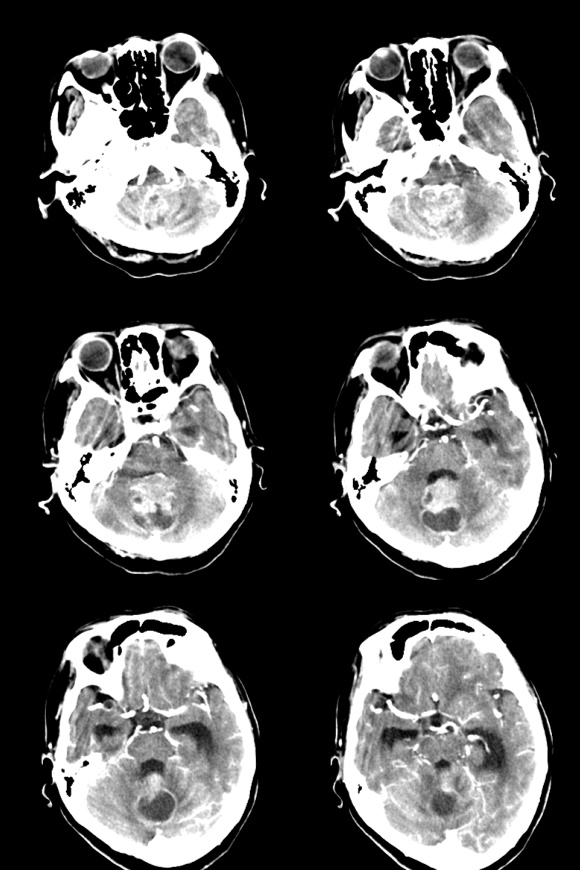
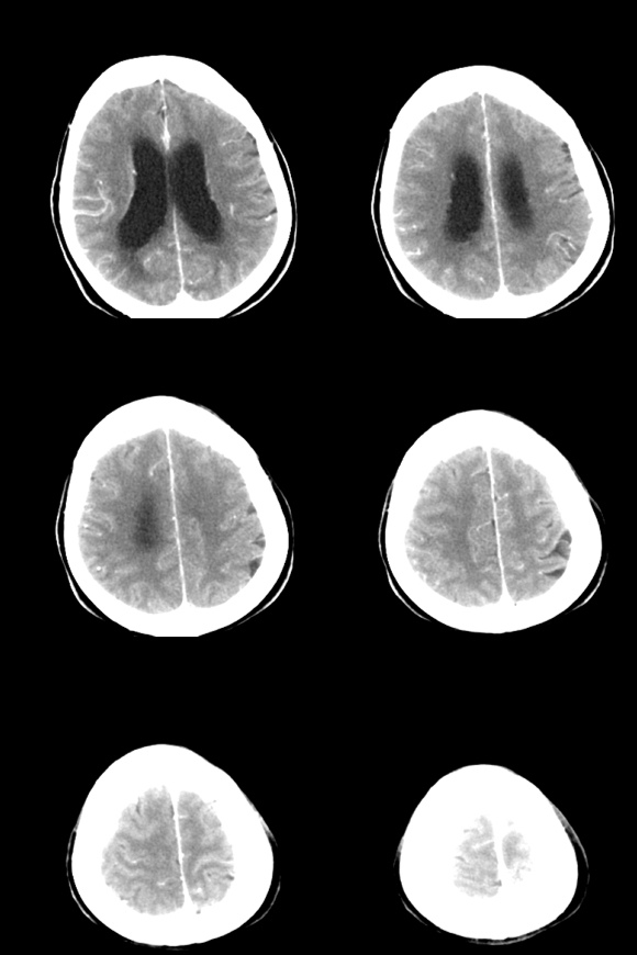
67岁女性,头昏、头痛1年+。






[本贴已被 翁志蓬 于 2009-2-18 0:49:18 修改过]

作者: 7468307    时间: 2009-2-18 02:33
小脑蚓部血管母细胞瘤伴脑室扩张积水。
作者: SOS.LA    时间: 2009-2-18 03:04
标题: 回复:f67y,反复头昏、头痛。
以下是引用7468307在2009-2-17 18:33:00的发言:[br]小脑蚓部血管母细胞瘤伴脑室扩张积水。

作者: 杀毒软件    时间: 2009-2-18 03:09
支持楼上
作者: 光影★小胖    时间: 2009-2-18 03:28
考虑:小脑蚓部血管母细胞瘤伴脑室扩张积水。
作者: 李世军    时间: 2009-2-18 04:17
小脑血管瘤
作者: 王仕学    时间: 2009-2-18 04:22
支持考虑:小脑蚓部血管母细胞瘤伴脑室扩张积水。
作者: gmk_006    时间: 2009-2-18 04:32
小脑蚓部血管母细胞瘤伴脑室扩张积水。支持!
作者: zjzjr    时间: 2009-2-18 04:39
支持考虑:小脑蚓部血管母细胞瘤伴梗阻性脑积水。
作者: 随光逐影    时间: 2009-2-18 04:46
支持 小脑蚓部血管母细胞瘤伴梗阻性脑积水。
作者: zbp537    时间: 2009-2-18 05:08
小脑结核。
依断依据:
1、小脑薄壁环状强化囊状影。
2、脑膜明显强化。
3、病史一年多。

这个病人如有个磁共振就好了,在t2信号上血管母细胞瘤为长t2信号,而结核为等t2或稍短t2,因为其内为干酪样坏死。(干酪样坏死:其内容物类似脂质,质地较实,均匀细腻)
作者: wangyong1977    时间: 2009-2-18 05:18
支持 小脑蚓部血管母细胞瘤伴梗阻性脑积水
作者: huangxinghai    时间: 2009-2-18 05:40
支持楼上!
作者: 影象小泰斗    时间: 2009-2-18 05:53
血管母细胞瘤一般呈囊性,周围无水肿,增强可见壁结节!此瘤这几种征象没有!
考虑星形细胞瘤或室管膜瘤!!
期待病例结果!!!!
作者: panyishengct    时间: 2009-2-18 06:03
考虑:小脑蚓部血管母细胞瘤伴脑室扩张积水。
作者: 宇宙CT    时间: 2009-2-18 06:18
支持 小脑蚓部血管母细胞瘤伴梗阻性脑积水。
作者: guoke    时间: 2009-2-18 06:18
小脑蚓部血管母细胞瘤伴脑室扩张积水
作者: 卜一    时间: 2009-2-18 06:31
支持 小脑蚓部血管母细胞瘤伴梗阻性脑积水。
作者: 当兵的    时间: 2009-2-18 07:10
小脑蚓部血管母细胞瘤伴脑室扩张积水。
期待病理
作者: dengkai    时间: 2009-2-18 07:41
考虑:小脑蚓部血管母细胞瘤伴脑室扩张积水。
作者: 宝天曼    时间: 2009-2-18 14:29
小脑蚓部血管母细胞瘤伴脑室扩张积水。
作者: dyqCT    时间: 2009-2-18 15:40
支持 小脑蚓部胶质瘤伴梗阻性脑积水。
作者: yuhongjun    时间: 2009-2-18 15:44
支持 小脑蚓部血管母细胞瘤伴梗阻性脑积水。
作者: zsl6918    时间: 2009-2-18 16:45
标题: 回复:ct18179:f67y,反复头昏、头痛。
首先考虑小脑蚓部血管母细胞瘤伴梗阻性脑积水。鉴别诊断转移瘤。
作者: 深泽交通    时间: 2009-2-18 17:58
标题: 回复:ct18179:f67y,反复头昏、头痛。
以下是引用7468307在2009-2-17 18:33:00的发言:[br]小脑蚓部血管母细胞瘤伴脑室扩张积水。

作者: huqi8888    时间: 2009-2-18 18:47
支持小脑蚓部血管性肿瘤伴脑室扩张积水。
作者: coast    时间: 2009-2-18 19:59
小脑蚓部髓母细胞瘤伴脑室扩张积水
作者: ysxyy    时间: 2009-2-18 20:16
该年龄段本部位好发肿瘤有:星形细胞瘤;室管膜瘤;脉络膜肿瘤;血管母细胞瘤;转移瘤;
征象:肿块形态欠规整,境界欠清,可见实性和囊性两部分,囊性部分增强可见壁有强化;实性部分有囊变坏死,增强强化明显;
拟诊:室管膜瘤;
讨论:星形细胞瘤:增强强化程度不应有如此明显/均匀;
       脉络膜肿瘤:囊变 坏死少见;
       血管母细胞瘤:好发于小脑半球,多为大囊小结节型,增强特有的亮灯征不明显,且其壁应该无强化;
       转移瘤:无明确原发灶,且其好发于皮髓质交界处;
作者: 黑白光影    时间: 2009-2-18 23:09
支持 小脑蚓部胶质瘤伴梗阻性脑积水。
作者: 江广1996    时间: 2009-2-19 00:39
支持 小脑蚓部血管母细胞瘤伴梗阻性脑积水
作者: 51736011    时间: 2009-2-19 00:57
考虑:小脑蚓部血管母细胞瘤伴脑室扩张积水
作者: lczeng    时间: 2009-2-21 04:26
病人子女考虑患者年龄已较大,选择行脑室-腹腔分流术,失访,太遗憾了。
作者: dr.yang    时间: 2012-6-10 11:10
学习了,有点遗憾。
作者: zgb5618    时间: 2012-6-10 15:44
小脑蚓部血管母细胞瘤伴脑室扩张积水。支持!




欢迎光临 医影在线 (http://bbs.radida.com/bbs/) Powered by Discuz! X3.2