医影在线

标题: CT1687:[讨论]胸部CT,请战友会诊!谢谢! [打印本页]

作者: guzhongliangddd    时间: 2005-8-18 05:48
标题: CT1687:[讨论]胸部CT,请战友会诊!谢谢!
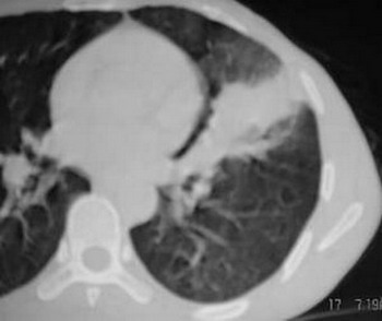
f,41,胸部痛3个月,近3天自述有咯血。胸痛前有感冒病史,未治疗。


















[本贴已被 jiajie 于 2005-8-17 22:19:15 修改过]

作者: guzhongliangddd    时间: 2005-8-18 05:54
补充最后3图分别为2mmhrct和后重建。
作者: xiaoxiaohxy    时间: 2005-8-18 06:14
病灶形态饱满,边缘不规则.要考虑肿瘤,但不能肯定.就不知道病人是否有发热病史!!
作者: 杨帆    时间: 2005-8-18 06:40
首先还是考虑炎症,前胸膜未受侵犯.抗炎后复查胸片.
作者: qdqjzzy    时间: 2005-8-18 06:59
考虑炎症(炎性假瘤?),抗炎后复查胸片,除外肿瘤
作者: hanjinsheng    时间: 2005-8-18 07:06
考虑炎症(炎性假瘤?),抗炎后复查胸片,除外肿瘤
作者: 影象王    时间: 2005-8-18 07:13
考虑炎性病变,建议抗炎治疗后复查.
作者: jiangjing    时间: 2005-8-18 08:25
考虑炎性假瘤。建议抗炎治疗复查或窜刺活检。
作者: guzhongliangddd    时间: 2005-8-18 08:38
谢谢战友的发言,我将随哦访,有结果一定告诉大家!请各位战友继续讨论!
作者: yuyifu    时间: 2005-8-18 09:39
考虑:慢性节段性(左上叶下舌段)非特异炎症(炎性假瘤形成). 理由是:
1).实变周围有渗出性病变(见肺窗片);
2.)纵膈窗片见:垂直胸膜边缘平直甚至微凹;
3).邻近胸膜有侵犯,但仅轻度增厚及粘连,肋膈角正常(见重建片);
4).实变灶内密度失均,有少量短管状气影,可能为合并之支扩.
作者: wskgmmyvtkd    时间: 2005-8-18 13:53
左肺上叶舌段炎性假瘤[emb25]
作者: lushijun    时间: 2005-8-18 14:25
舌叶炎症,建议复查
作者: woaixct    时间: 2005-8-18 14:43
左肺内不规则影近似长条状,边缘较模糊,考虑左胸叶间积液伴周围渗出;
作者: wl1122050    时间: 2005-8-18 15:05
1.左舌叶慢性炎性病变;2.肺栓塞:3.左舌叶不张,原因待查
作者: 东北    时间: 2005-8-18 15:12
舌段节段性肺炎 抗炎后复查
作者: 不解    时间: 2005-8-18 16:26
炎症,必要时穿刺活检。
作者: jiajie    时间: 2005-8-18 18:51
支持慢性肺炎。
作者: duguo    时间: 2005-8-18 20:50
机化性肺炎。
作者: kbzyycm    时间: 2005-8-18 21:29
左肺炎性病变,治疗后复查.
作者: jindaoquan    时间: 2005-8-18 21:55
舌叶不张,原因待查 。
作者: docterkong    时间: 2005-8-19 01:31
左侧舌叶炎症改变,考虑肺不张和炎性假瘤可能,
作者: limmm    时间: 2005-8-19 02:37
考虑肿瘤,不排除炎性假瘤.
作者: yuzhanhai    时间: 2005-8-19 04:35
除大家上述征像外,左侧胸廓轻度内陷,纵隔影轻度左移,说明可能有肺不张,因而应首先考虑肿瘤的诊断。
作者: lvlifeng    时间: 2005-8-19 04:37
考虑炎症,建议抗炎治疗后复查
作者: jiangldong1976    时间: 2005-8-19 04:45
左肺舌叶大片影,支气管通入,但有纠集,边界不清,与侧壁胸膜广基相续,首先考虑感染性病变.血象与血沉及痰检.除外有结核可能
作者: 王大夫    时间: 2005-8-19 05:12
考虑炎性病变,建议抗炎治疗后复查
作者: hejie    时间: 2005-8-19 05:34
左上叶下舌段肺不张,无明显强化,上叶下舌段支气管开口区见不规则狭窄,并见小结结灶,首先考虑支气管内膜结核并舌段肺不张,炎性假瘤不排除.
作者: wxy7406    时间: 2005-8-19 05:37
炎性假瘤
作者: 阿袁    时间: 2005-8-19 06:04
左肺舌叶占位(肺癌?)可能。[emb14][emb12][emb5]
作者: zsq888    时间: 2005-8-20 00:04
肿瘤[emb26]
作者: caihe    时间: 2005-8-21 01:01
支持左肺舌段阻塞性炎症并膨胀不全。
作者: lyb999    时间: 2005-8-21 03:07
左舌叶慢性感染性病变并不全不张.
作者: chry3    时间: 2005-8-21 05:15
舌叶炎性病变,舌叶实变并有不张[em14]
作者: weixuan    时间: 2005-8-21 05:26
考虑炎性假瘤
作者: liu.hui.yang    时间: 2005-8-21 08:00
考虑感染性病变,建议抗炎治疗后复查.
作者: 实话实说    时间: 2005-8-22 00:44
慢性肺炎。
作者: guzhongliangddd    时间: 2005-9-2 20:02
谢谢各位战友的讨论,今日上午患者以照x片,以原来相比较有明显的吸收{住院正规抗炎治疗后}。晚上发布x平片!
作者: 我爱影像    时间: 2005-9-3 04:38
机化性肺炎或炎性假瘤
作者: zxd95    时间: 2005-9-3 04:53
与左胸壁分界清楚,强化明显吗?
考虑良性病变,炎症可能,建议消炎后复查。
作者: xsl5450    时间: 2005-9-3 05:08
同意10楼高见!
作者: shibing    时间: 2015-5-24 16:50
考虑:慢性节段性(左上叶下舌段)非特异炎症(炎性假瘤形成). 理由是:
1).实变周围有渗出性病变(见肺窗片);
2.)纵膈窗片见:垂直胸膜边缘平直甚至微凹;
3).邻近胸膜有侵犯,但仅轻度增厚及粘连,肋膈角正常(见重建片);
4).实变灶内密度失均,有少量短管状气影,可能为合并之支扩.




欢迎光临 医影在线 (http://bbs.radida.com/bbs/) Powered by Discuz! X3.2