












































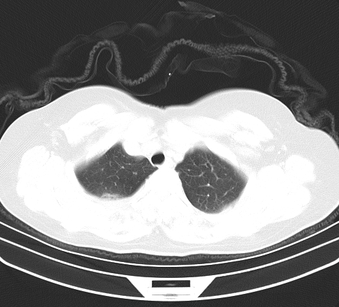
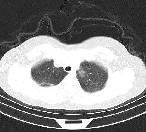
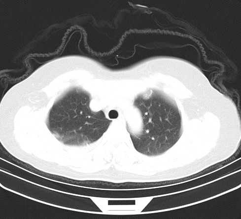
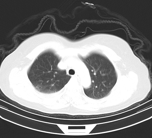
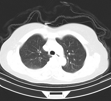
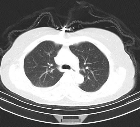
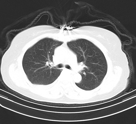
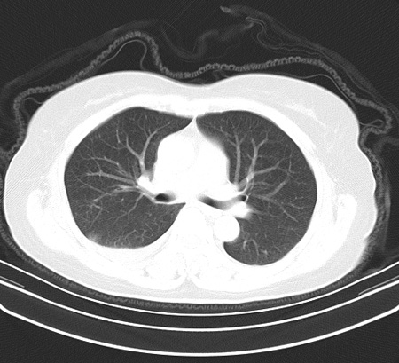
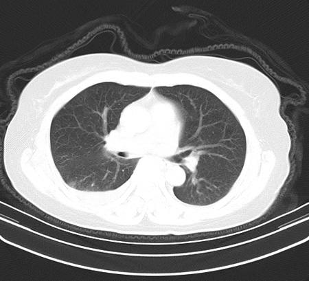
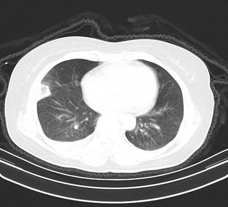
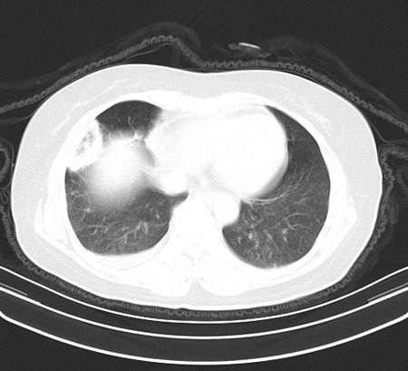
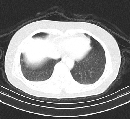
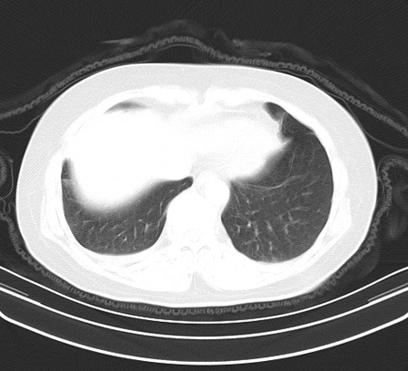
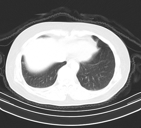
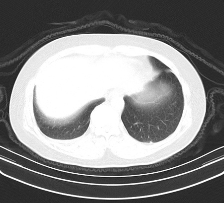
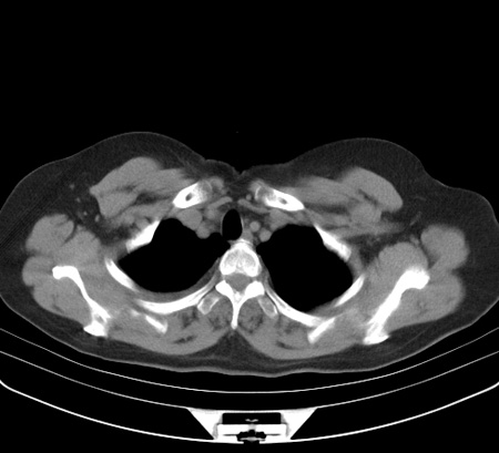
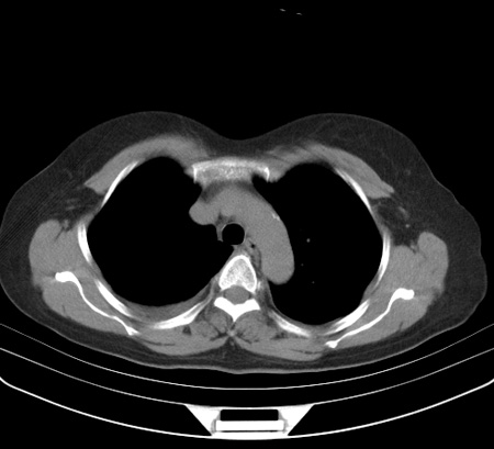
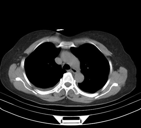
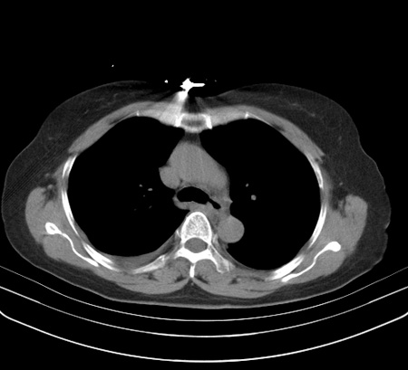
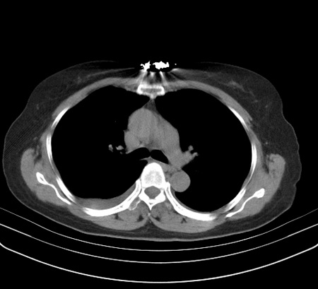
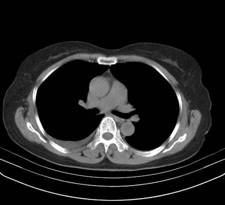
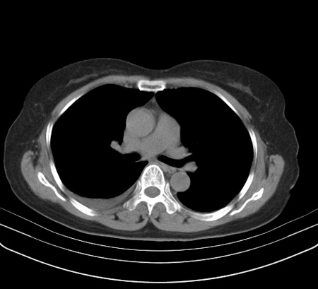
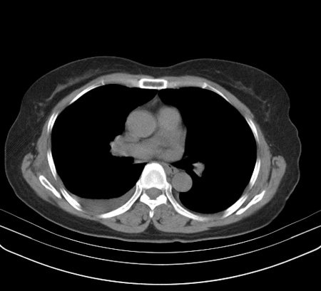
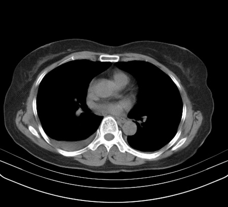
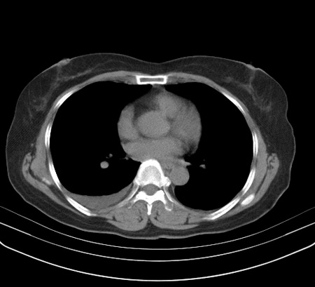
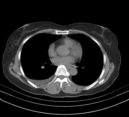
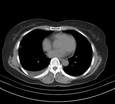
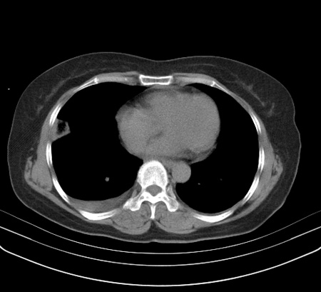
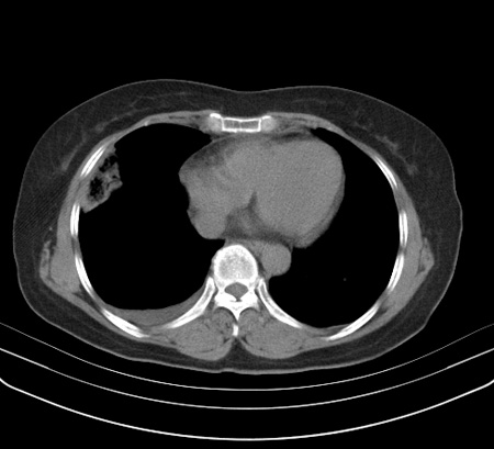
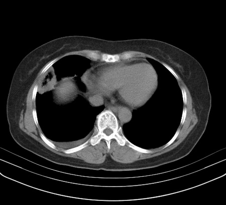
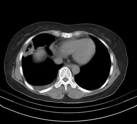
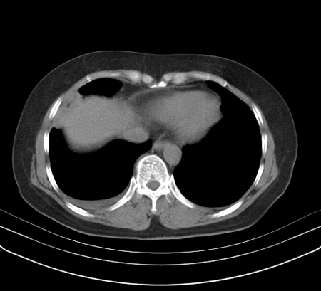
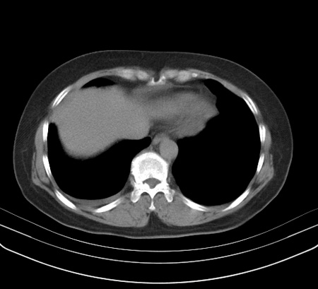
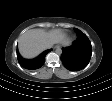
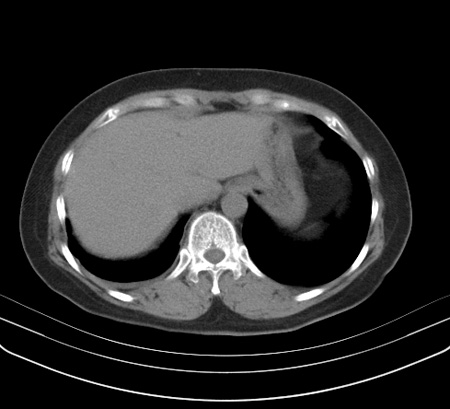
以下是引用余辉在2009-2-19 20:10:00的发言:[br]多考虑急性感染性病变,右中叶尚可见多枚小斑片状影,多为化脓性肺炎,双侧胸腔积液
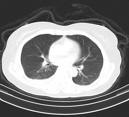
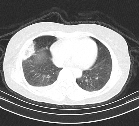
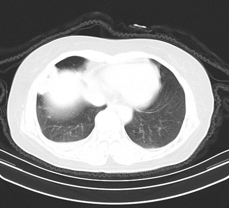
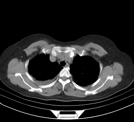
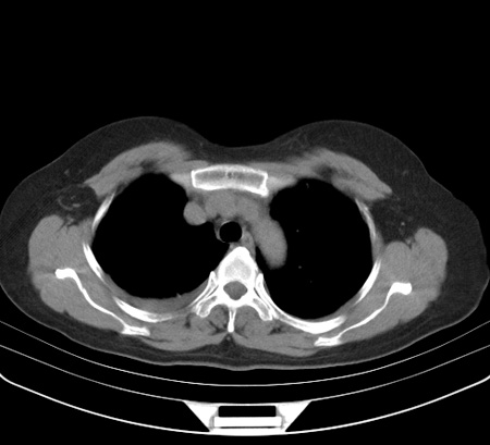
以下是引用随光逐影在2009-2-19 20:33:00的发言:[br]1)考虑右肺炎症;建议抗炎治疗后复查。2)双侧胸腔积液(以右侧为甚)。
以下是引用zjzjr在2009-2-19 20:37:00的发言:[br]1)考虑右肺炎症;建议抗炎治疗后复查。2)双侧胸腔积液(以右侧为甚)。
以下是引用余辉在2009-2-19 20:10:00的发言:[br]多考虑急性感染性病变,右中叶尚可见多枚小斑片状影,多为化脓性肺炎,双侧胸腔积液
以下是引用花凤凰在2009-2-19 20:46:00的发言:[br]病人有发热,胸痛急性起病,主要病变位于右肺中叶外侧段,呈楔行改变,位于外带胸膜下,考虑为肺梗塞可能!!!!!!!!!!!!!!!!!!!!!!!!!!!!!!!!!!!
| 欢迎光临 医影在线 (http://bbs.radida.com/bbs/) | Powered by Discuz! X3.2 |