医影在线
标题: CT1689:腹痛一月 [打印本页]
作者: sxdongfang 时间: 2005-8-19 03:34
标题: CT1689:腹痛一月
女,70岁,腹痛一月。
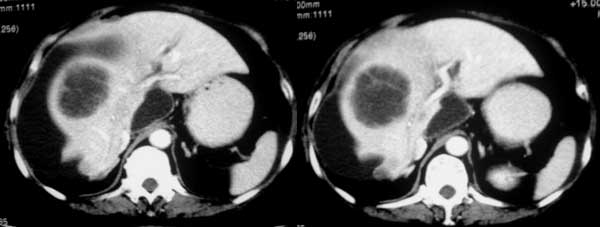
05年5月19日平扫片


增强片 动脉期



门脉期


延迟期



[本贴已被 翁志蓬 于 2005-8-19 0:32:14 修改过]
作者: sxdongfang 时间: 2005-8-19 03:42
标题: 回复:腹痛一月,05年8月17日ct片
腹痛一月
平扫片





动脉期






门脉期






[本贴已被 翁志蓬 于 2005-8-19 0:37:28 修改过]
作者: wskgmmyvtkd 时间: 2005-8-19 04:17
1月ct对照:
考虑急性坏死性胆道炎症伴胆囊穿孔,肝脓疡形成。
胆总管下段胰头钩突部肿块,不除外壶腹部肿瘤的可能性。
作者: yzh9939 时间: 2005-8-19 04:22
肝脓肿
作者: lvlifeng 时间: 2005-8-19 04:31
[emb6][emb6]
作者: hejie 时间: 2005-8-19 05:16
好病例!05年8月17日ct片见肝右缘巨大新月状囊性水样密度灶,肝裸区及右侧肝肾隐窝见囊性水样密度灶,相应肝实质受压变形,增强后病灶内及无包膜强化,胆囊窝内未见胆囊,在胆囊窝右侧肝实质内见囊性水样密度灶(考虑肝内胆囊),胆囊肿大,增强后,其内见不均匀轻度强化影,厚壁强化胆囊周围肝实质低密度强化影.05年5月19日比较有明显好转,但胆囊还肿大,壁还厚,胆总管轻度扩张.
诊断:1急性肝内坏死性胆囊炎并肝脓肿.
2肝右缘巨大新月状囊性水样密度灶:定位是膈下还是肝包膜下.定性是脓肿还是胆汁漏形成假囊肿.
定位是膈下??:肝裸区没有腹膜覆盖,因此腹腔积液不能聚集于肝后面.不能排除腹壁.
定性是胆汁漏形成假囊肿,是脓肿边缘应环行强化,此病例无强化.
第二次片是引流术后吧!请能告诉一下术中所见过程吗?谢谢!!考虑不周!请指导!
作者: wxy7406 时间: 2005-8-19 05:26
胆囊炎伴穿孔,肝脓肿
作者: 曼一拍 时间: 2005-8-19 05:38
胆囊增大,肝周绕以水样密度影,胆囊壁增厚,边界不清,环形强化,胆总管扩张。支持坏死性胆囊炎,并胆囊穿也,胆汁外漏。
作者: 阿袁 时间: 2005-8-19 05:59
考虑急性胆囊炎伴肝脓肿。[emb14][emb6][emb6]
作者: xiaoxiaohxy 时间: 2005-8-19 06:12
好片,请告诉结果!!!1
作者: 影子天使 时间: 2005-8-19 07:09
我茫然 会有结果吗
作者: jiangjing 时间: 2005-8-19 07:11
胆囊增大,肝周绕以水样密度影,胆囊壁增厚,边界不清,环形强化,胆总管扩张。支持坏死性胆囊炎,并胆囊穿也,胆汁外漏。肝脓肿。
作者: jiangjing 时间: 2005-8-19 07:13
补充肝包膜下积液。
作者: zhangyouhong 时间: 2005-8-19 07:24
现在有结果吗?是什么病呀?我太想知道结果了!
作者: jiajie 时间: 2005-8-19 21:59
首先表现为胆囊窝模糊,囊壁后缘增厚;
复查显示,囊壁及胆囊窝大量气体密度影,胆囊内出现线状分隔样强化。
考虑气肿性胆囊炎。
作者: wdbct 时间: 2005-8-20 01:53
两次片比较(间隔三个月)胆囊窝肝内低密度灶增大,内部有分隔,周围有环形强化,肝内出现囊样低密度影,边界清,肝门部有囊样低密度影,肝左叶胆管扩张,胆总管稍扩张,胆囊体积大,壁不均匀增厚。
考虑:1。慢性胆囊炎并穿孔,肝脓肿形成。2 肝囊肿。3胆总管扩张原因?[emb18]
作者: tsxhfsk 时间: 2005-8-20 03:00
考虑肝内胆囊.胆囊增大,肝周绕以水样密度影,胆囊壁增厚,边界不清,环形强化,胆总管扩张。支持坏死性胆囊炎,并胆囊穿也,胆汁外漏。
作者: jiangldong1976 时间: 2005-8-20 06:34
我比较支持化脓性胆管炎胆囊炎累及肝脏,形成肝脓肿,第二次片考虑胆囊破溃穿孔.
作者: caihe 时间: 2005-8-21 01:12
支持气肿性胆囊炎、肝脓肿、胆囊穿孔并胆汁外溢的诊断。
作者: ymz008 时间: 2005-8-21 01:30
好片少见,支持8楼意见,还合并化脓[总]胆管炎.
作者: 康康 时间: 2005-8-21 02:20
第一次考虑为胆道的炎症.
第二次考虑为胆道炎症、胆道穿孔伴肝脓肿,肝周的液性暗区考虑为流出的胆汁.
(个人意见,仅供参考!)[emb14]
作者: chry3 时间: 2005-8-21 05:09
好!好!好![emb6][emb2][emb19][em14]
作者: liu.hui.yang 时间: 2005-8-21 08:05
胆囊炎伴穿孔,肝脓肿
作者: ly304 时间: 2005-8-21 08:34
胆管囊腺癌
作者: 不解 时间: 2005-8-21 20:42
1:胆囊化脓性炎症伴合并肝脓肿。2:肝脏内胆汁假性囊肿。3:腹膜后胆汁外渗。4:右侧肝肾间隙内脓肿形成。
作者: 影象王 时间: 2005-8-21 22:41
考虑肝脏脓肿!
作者: 实话实说 时间: 2005-8-22 00:31
胆囊炎穿孔并肝脓肿
作者: shibing 时间: 2015-5-24 16:50
考虑急性胆囊炎伴肝脓肿
| 欢迎光临 医影在线 (http://bbs.radida.com/bbs/) |
Powered by Discuz! X3.2 |