医影在线

标题: CT18248:男,71岁,糖尿病住院,无发热、咳嗽、咳痰。 [打印本页]

作者: jslu503    时间: 2009-2-21 20:00
标题: CT18248:男,71岁,糖尿病住院,无发热、咳嗽、咳痰。
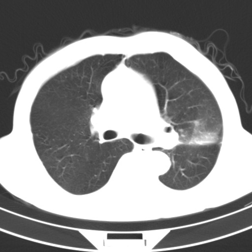
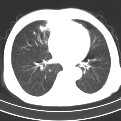
男,71岁,糖尿病住院,无发热、咳嗽、咳痰。




5




10




15




20




25




30

















[本贴已被 翁志蓬 于 2009-2-21 21:42:15 修改过]

作者: 文莱    时间: 2009-2-21 20:06
肺tb,建议痰菌检查
作者: xiaogang123    时间: 2009-2-21 20:35
支持肺结核
作者: ct诊断高手    时间: 2009-2-21 20:49
肺气肿,右肺下叶感染。左肺空洞。并与血管连接不排除周围型肺癌。
作者: songyi    时间: 2009-2-21 21:01
1.左肺结核伴空洞形成
2.双肺下叶炎症
作者: zsl6918    时间: 2009-2-21 21:46
符合双肺继发性结核感染
作者: 深泽交通    时间: 2009-2-21 22:28
标题: 回复:男,71岁,糖尿病住院,无发热、咳嗽、咳痰。
以下是引用文莱在2009-2-21 12:06:00的发言:[br]肺tb,建议痰菌检查

作者: huangxinghai    时间: 2009-2-21 22:31
支持结核,建议痰菌检查;左侧上叶间隔旁型肺气肿
作者: 杀毒软件    时间: 2009-2-21 23:20
符合双肺继发性结核
作者: 随光逐影    时间: 2009-2-22 00:11
1)两肺感染性病变(结核可能性大)。2)左肺上叶近纵隔胸膜下肺大泡。
作者: 卜一    时间: 2009-2-22 00:31
符合双肺继发性结核感染!支持!
作者: LIAOQIANG    时间: 2009-2-22 01:01
两肺感染性病变(结核可能性大,有空洞形成)。
作者: 光影★小胖    时间: 2009-2-22 04:04
肺tb,建议痰菌检查
作者: zhw974247    时间: 2009-2-22 04:06
1)两肺继发性结核。2)左肺上叶近纵隔胸膜下肺大泡。
作者: 黑白光影    时间: 2009-2-22 04:33
1)两肺感染性病变(结核可能性大)。2)左肺上叶近纵隔胸膜下肺大泡。
作者: xulianj    时间: 2009-2-22 04:54
两肺感染性病变(结核可能性大);左肺上叶近纵隔胸膜下肺大泡。
作者: dsl555    时间: 2009-2-22 06:25
符合双肺继发性结核
作者: zjzjr    时间: 2009-2-22 06:47
标题: 回复:ct18248:男,71岁,糖尿病住院,无发热、咳嗽、咳痰
以下是引用随光逐影在2009-2-21 16:11:00的发言:[br]1)两肺感染性病变(结核可能性大)。2)左肺上叶近纵隔胸膜下肺大泡。

作者: dengkai    时间: 2009-2-22 08:09
左肺结核伴空洞形成
作者: dr.yang    时间: 2012-6-10 12:14
1)两肺继发性结核。2)左肺上叶近纵隔胸膜下肺大泡。
作者: zgb5618    时间: 2012-6-10 15:59
1)两肺感染性病变(结核可能性大)。2)左肺上叶近纵隔胸膜下肺大泡。




欢迎光临 医影在线 (http://bbs.radida.com/bbs/) Powered by Discuz! X3.2