医影在线

标题: CT18259:两肺间质纤维化? [打印本页]

作者: 韦伟    时间: 2009-2-22 04:28
标题: CT18259:两肺间质纤维化?
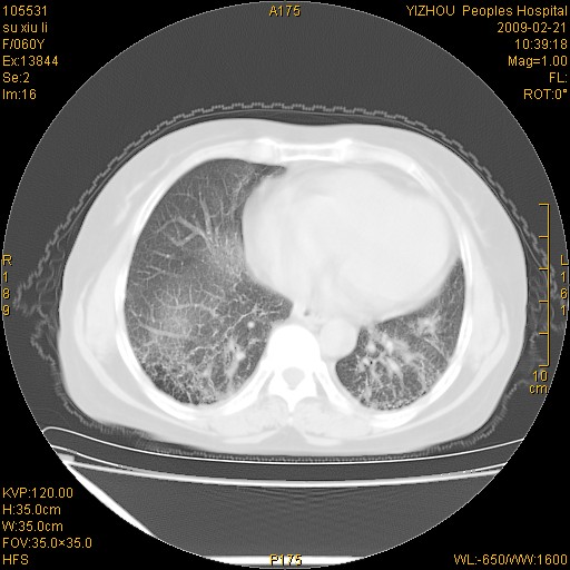
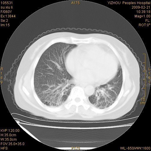
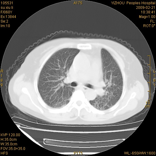
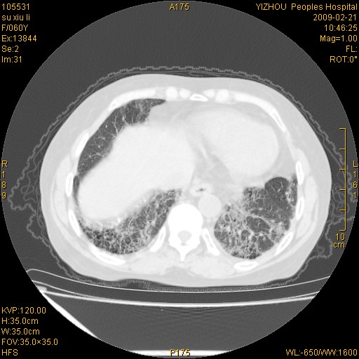
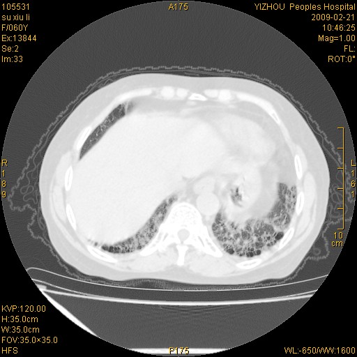
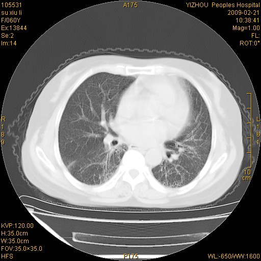
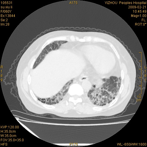
女,60岁,反复咳嗽1月。




























[本贴已被 翁志蓬 于 2009-2-21 22:01:00 修改过]

作者: 野鹅    时间: 2009-2-22 04:40
两肺支扩,以肺为著合并双肺较广范纤维化病变。建议除外结核等病变。
作者: 杀毒软件    时间: 2009-2-22 04:53
支持
作者: mg42mp44    时间: 2009-2-22 04:59
间质性肺炎
作者: huangxinghai    时间: 2009-2-22 05:33
两下肺支扩
作者: zsl6918    时间: 2009-2-22 05:36
符合间质感染,部分纤维化表现
作者: 医中人    时间: 2009-2-22 05:39
特发性间质纤维化
作者: 随光逐影    时间: 2009-2-22 05:40
标题: 回复:两肺间质纤维化?
以下是引用zsl6918在2009-2-21 21:36:00的发言:[br]符合间质感染,部分纤维化表现

作者: ydx_74    时间: 2009-2-22 05:53
间质性肺炎
作者: dsl555    时间: 2009-2-22 06:12
符合间质感染,部分纤维化表现
作者: 黑白光影    时间: 2009-2-22 06:29
支持肺间质感染,部分纤维化表现 。
作者: dengkai    时间: 2009-2-22 07:30
支持2楼
作者: 影像孺子牛    时间: 2009-2-22 07:31
支持肺间质感染,部分纤维化表现 。
作者: scdlc2008    时间: 2009-2-22 07:50
间质性肺炎
作者: 卜一    时间: 2009-2-22 14:05
特发性间质纤维化伴支扩!
作者: dyqCT    时间: 2009-2-22 16:25
支持楼主诊断.
作者: 王仕学    时间: 2009-2-22 16:34
支持间质性肺炎
作者: bcygz    时间: 2009-2-22 17:15
间质纤维化
作者: 余辉    时间: 2009-2-22 17:19
符合间质感染,部分纤维化表现
作者: 道哥    时间: 2009-2-22 17:20
符合间质感染,部分纤维化表现!支持!








1
作者: jiangjing    时间: 2009-2-22 20:06
间质性肺炎或特发性间质性肺炎
作者: 李世军    时间: 2009-2-23 00:14
符合间质性肺炎的表现
作者: zjzjr    时间: 2009-2-23 02:24
符合间质感染,部分纤维化表现
作者: zhaozejun1    时间: 2009-2-23 04:16
支扩
作者: dr.yang    时间: 2012-6-10 14:22
符合间质感染,部分纤维化表现




欢迎光临 医影在线 (http://bbs.radida.com/bbs/) Powered by Discuz! X3.2