




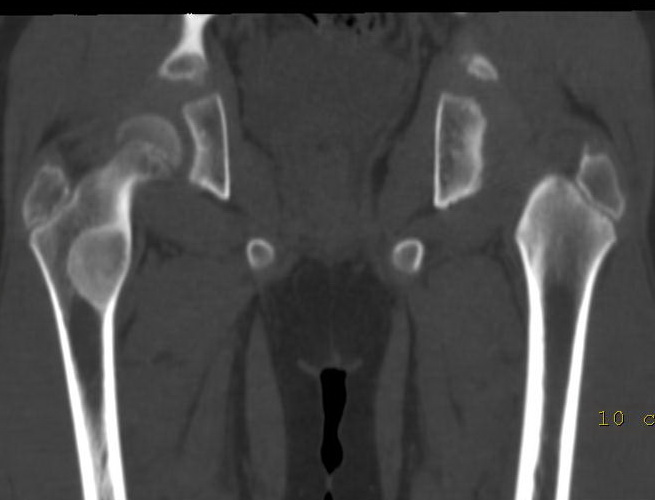
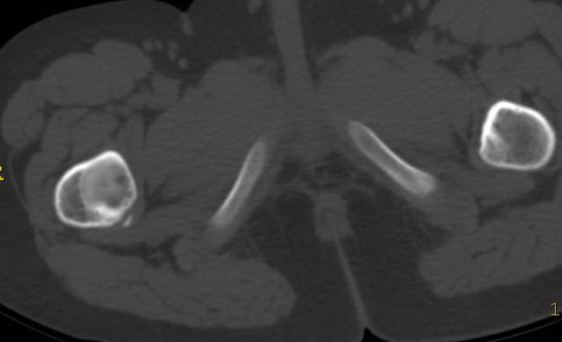
以下是引用lkc8963在2009-2-23 9:48:00的发言:[br]骨纤维性病变--非骨化性纤维瘤或局灶性骨纤首先考虑.理由:磨玻璃改变,边界清,向髓腔侧及皮质侧膨胀.最需鉴别内生软骨瘤,请楼主在轴扫上看有无点环状钙化,本例第二张图片上似见钙化,如有钙化首先考虑软骨源肿瘤.
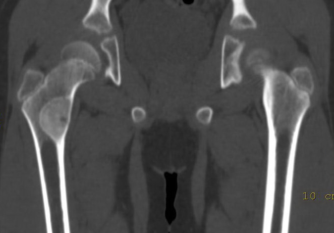
以下是引用zbp537在2009-2-23 9:49:00的发言:[br]典型的磨玻璃样改变,考虑骨纤或骨化性纤维瘤。
以下是引用lkc8963在2009-2-23 9:48:00的发言:[br]骨纤维性病变--非骨化性纤维瘤或局灶性骨纤首先考虑.理由:磨玻璃改变,边界清,向髓腔侧及皮质侧膨胀.最需鉴别内生软骨瘤,请楼主在轴扫上看有无点环状钙化,本例第二张图片上似见钙化,如有钙化首先考虑软骨源肿瘤.
| 欢迎光临 医影在线 (http://bbs.radida.com/bbs/) | Powered by Discuz! X3.2 |