医影在线

标题: CT18303:M79Y,右下肺病变 [打印本页]

作者: zhangyang66    时间: 2009-2-23 23:55
标题: CT18303:M79Y,右下肺病变
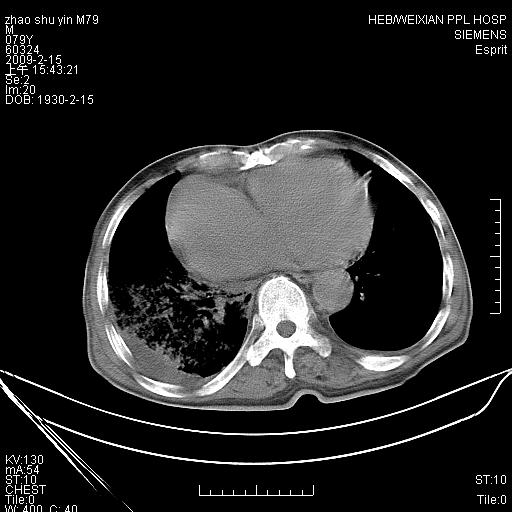
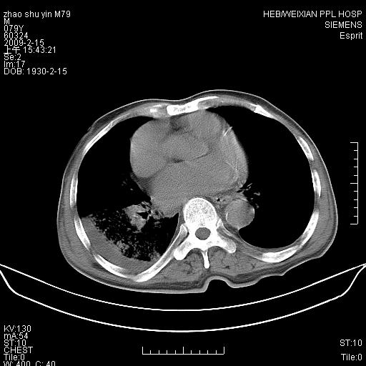
主因高热、寒战4天,伴有咳嗽,腹痛。

1。右下肺磨玻璃及蜂窝影考虑炎症 建议抗炎治疗后复查
2。右侧胸膜增厚 、右侧包裹性积液
3。心影增大 ,左心房增大为甚
4。右下肺门饱满(肿大淋巴结)











[本贴已被 jiajie 于 2009-2-24 18:08:24 修改过]

作者: 雨飘飘    时间: 2009-2-24 00:00
最好再做个支气管镜
作者: zbp537    时间: 2009-2-24 00:01
右下肺蜂窝影加右下肺门淋巴结肿大,要考虑肺泡癌。
我考虑:1、右下肺肺泡癌并感染,肺门淋巴结转移可能性大。2、右侧胸腔积液。
作者: 随光逐影    时间: 2009-2-24 00:05
支持楼主意见。
作者: qwerty111    时间: 2009-2-24 00:08
支持楼主意见
作者: 朱亮    时间: 2009-2-24 00:15
建议抗炎治疗复查
作者: 卜一    时间: 2009-2-24 00:29
支持楼主意见。
作者: 李世军    时间: 2009-2-24 01:12
支持楼主意见。
作者: 杀毒软件    时间: 2009-2-24 01:14
支持楼主意见
作者: gmk_006    时间: 2009-2-24 01:28
支持楼主意见。
作者: 天山影士    时间: 2009-2-24 02:04
我也同意楼主意见,好像左房也大,左侧胸腔少量积液。
作者: 草之原    时间: 2009-2-24 03:17
最好做个气管镜排除肺ca,右侧包裹性胸腔积液。
作者: zjzjr    时间: 2009-2-24 03:50
支持楼主意见
作者: ydx_74    时间: 2009-2-24 05:02
亚急性肺炎
作者: 黑白光影    时间: 2009-2-24 06:03
支持楼主意见。建议抗炎治疗复查
作者: xiong079197    时间: 2009-2-24 06:38
考虑右下肺炎并右侧胸腔积液可能性大。
作者: CTqiu    时间: 2009-2-24 06:46
肺炎,以间质性肺炎为主.
作者: dengkai    时间: 2009-2-24 07:17
支持楼主
作者: mlfx123321    时间: 2009-2-24 07:22
考虑右下肺炎并右侧胸腔积液可能性大。
作者: zsl6918    时间: 2009-2-24 16:58
肺炎胸膜炎,抗炎治疗复查
作者: LIAOQIANG    时间: 2009-2-24 18:31
支持楼主意见,抗炎治疗复查。
作者: dsl555    时间: 2009-2-25 03:04
标题: 回复:ct18303:m79y,右下肺病变
以下是引用ctqiu在2009-2-23 22:46:00的发言:[br]肺炎,以间质性肺炎为主.





欢迎光临 医影在线 (http://bbs.radida.com/bbs/) Powered by Discuz! X3.2