医影在线

标题: CT18310:女,29岁,头部外伤后头疼、头晕十天。请会诊!! [打印本页]

作者: wymnet    时间: 2009-2-24 04:50
标题: CT18310:女,29岁,头部外伤后头疼、头晕十天。请会诊!!










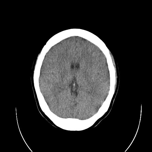
左顶叶裂隙样低密度灶,考虑什么呢??


[本贴已被 jiajie 于 2009-2-24 18:10:52 修改过]

作者: zbp537    时间: 2009-2-24 04:57
外伤性脑肿胀。

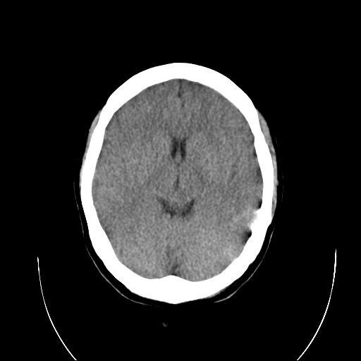
脑沟裂池明显变窄,脑室变小。
作者: 晓杰    时间: 2009-2-24 05:24
外伤性脑肿胀。
脑沟裂池明显变窄,脑室变小。
支持
作者: huangxinghai    时间: 2009-2-24 05:28
1、外伤性脑肿胀;2、左侧顶叶灰质异位
作者: wymnet    时间: 2009-2-24 05:30
请问 左顶叶低密度影  考虑什么呢???
作者: dengkai    时间: 2009-2-24 06:43
外伤性脑肿胀
作者: lkc8963    时间: 2009-2-24 07:05
个人认为诊断外伤性脑肿胀依据不足,首先是临床症状不太支持,第二是影像表现也不支持:年轻人脑室池可这样表现,弥漫性脑肿胀应有水肿导致的实质密度减低从而灰白质分界不清,而本例没有.至于左侧额叶后部裂隙样低密度影,考虑为脑沟,因与外侧脑沟相连.
作者: dr.yang    时间: 2009-2-24 07:36
标题: 回复:ct182310:女,29岁,头部外伤后头疼、头晕十天。请会
以下是引用晓杰在2009-2-23 21:24:00的发言:[br]外伤性脑肿胀。[br]脑沟裂池明显变窄,脑室变小。[br]支持

作者: penglispc    时间: 2009-2-24 07:43
为正常沟回
作者: 新手88    时间: 2009-2-24 08:15
好头一棵
作者: 卜一    时间: 2009-2-24 14:00
个人认为诊断外伤性脑肿胀依据不足,首先是临床症状不太支持,第二是影像表现也不支持:年轻人脑室池可这样表现,弥漫性脑肿胀应有水肿导致的实质密度减低从而灰白质分界不清,而本例没有.至于左侧额叶后部裂隙样低密度影,考虑为脑沟,因与外侧脑沟相连.支持!建议短期复查!
作者: 随光逐影    时间: 2009-2-24 16:09
未见明确异常。
作者: zsl6918    时间: 2009-2-24 16:12
先天发育改变,未见外伤性改变
作者: xizhong    时间: 2009-2-24 17:08
未见明确异常
作者: wymnet    时间: 2009-2-24 17:20
左顶叶裂隙样低迷度灶,有人考虑:脑裂畸形。是否正确呢???
作者: 姜晓辉    时间: 2009-2-24 17:58
调一下窗看看,右额顶部及左顶后部硬膜下象有出血!
作者: songyi    时间: 2009-2-24 18:00
头部ct平扫未见异常
作者: 杀毒软件    时间: 2009-2-24 18:04
正常沟回
作者: 朱亮    时间: 2009-2-24 18:40
未见明显异常
作者: 余辉    时间: 2009-2-24 18:49
左顶叶裂隙状低密度影为脑沟影,影像表现不考虑脑肿胀
作者: 流浪星    时间: 2009-2-24 19:03
外伤性脑肿胀。
作者: 深泽交通    时间: 2009-2-24 19:44
标题: 回复:ct182310:女,29岁,头部外伤后头疼、头晕十天。请会
以下是引用zbp537在2009-2-23 20:57:00的发言:[br]外伤性脑肿胀。[br][br]脑沟裂池明显变窄,脑室变小。

作者: muzi888    时间: 2009-2-24 19:58
脑沟变异。
作者: 午火药王    时间: 2009-2-24 23:01
应该是正常的
作者: 影象小辈    时间: 2009-2-24 23:07
正常啊    工作中细心一点   就会注意到
作者: zzyy    时间: 2009-2-25 00:56
个人认为诊断外伤性脑肿胀依据不足,首先是临床症状不太支持,第二是影像表现也不支持:年轻人脑室池可这样表现,弥漫性脑肿胀应有水肿导致的实质密度减低从而灰白质分界不清,而本例没有.至于左侧额叶后部裂隙样低密度影,考虑为脑沟,因与外侧脑沟相连.
作者: 草之原    时间: 2009-2-25 01:23
正常脑袋一个
作者: dsl555    时间: 2009-2-25 02:47
未见明显异常
作者: xulianj    时间: 2009-2-25 03:33
未见明确异常。




欢迎光临 医影在线 (http://bbs.radida.com/bbs/) Powered by Discuz! X3.2