医影在线
标题: CT18338B:肝胆病变 增强已上传,再看看! [打印本页]
作者: 岚儿 时间: 2009-2-27 02:44
标题: CT18338B:肝胆病变 增强已上传,再看看!
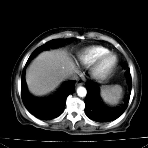
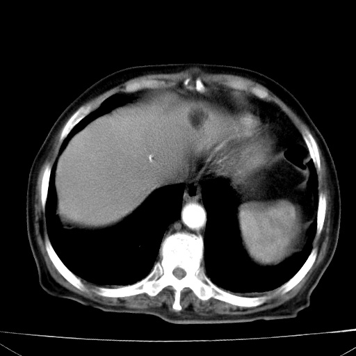
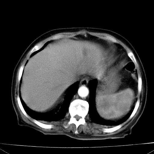
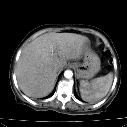
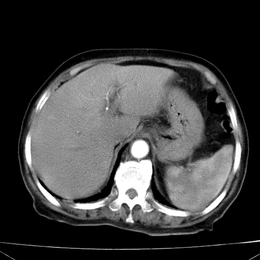
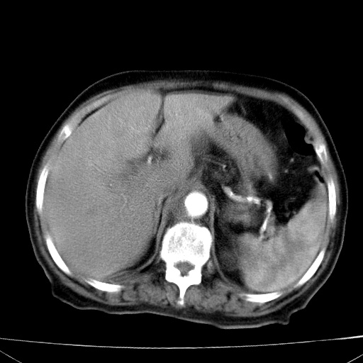
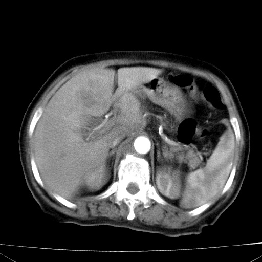
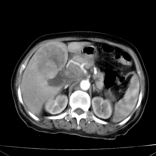
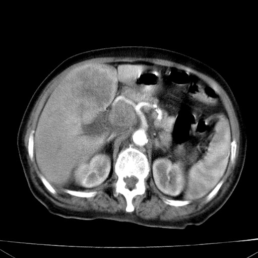
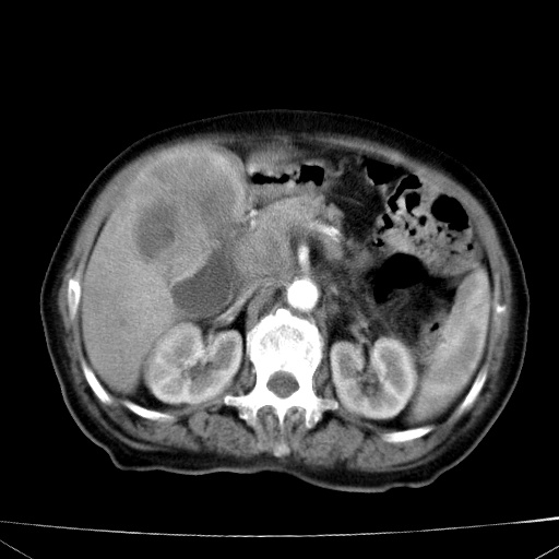
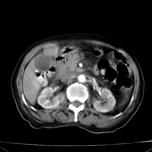
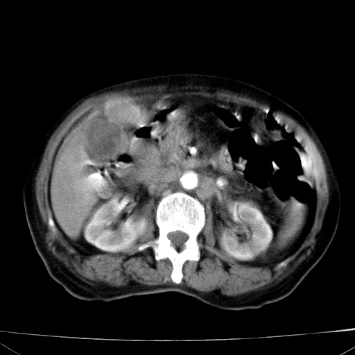
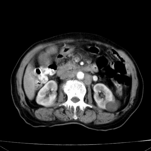
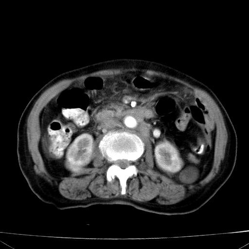
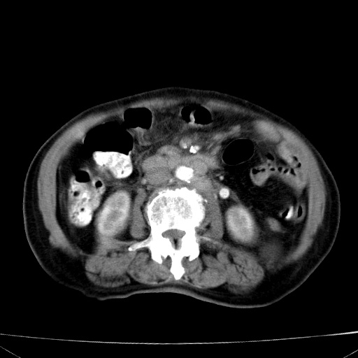
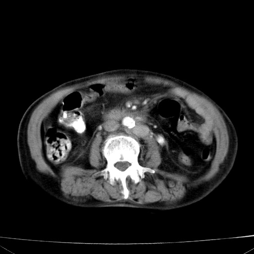
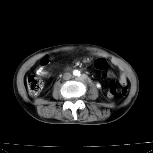
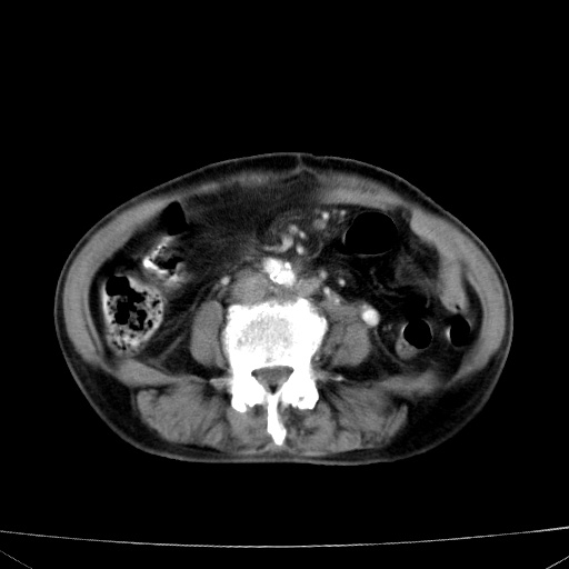
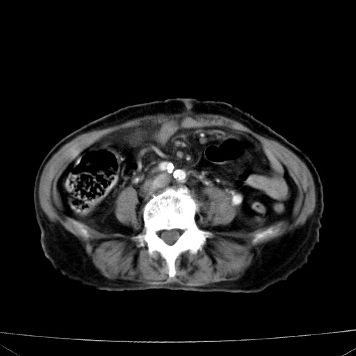
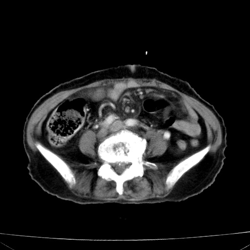
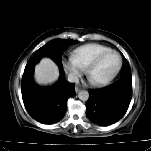
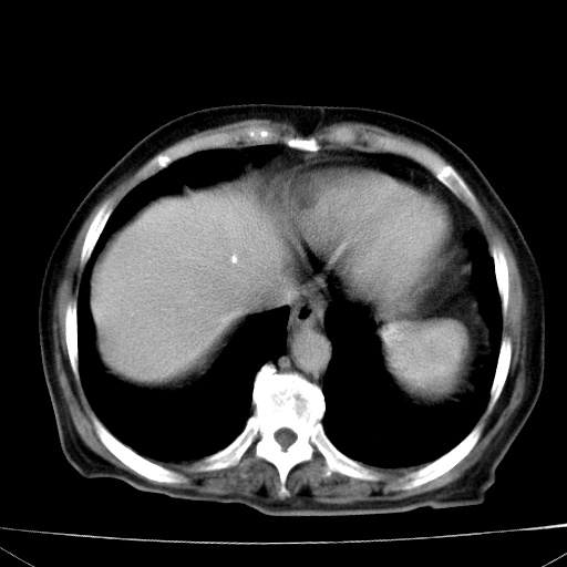
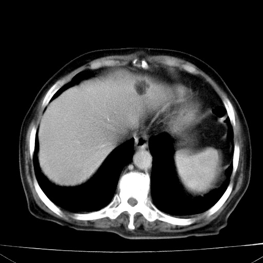
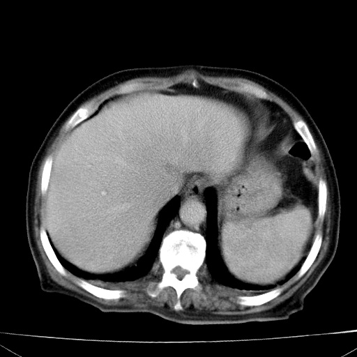
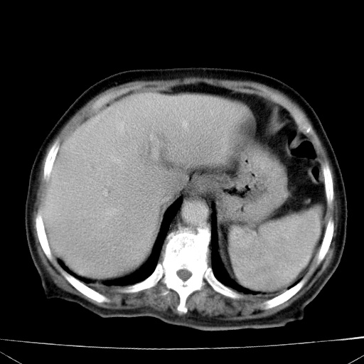
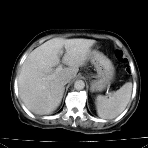
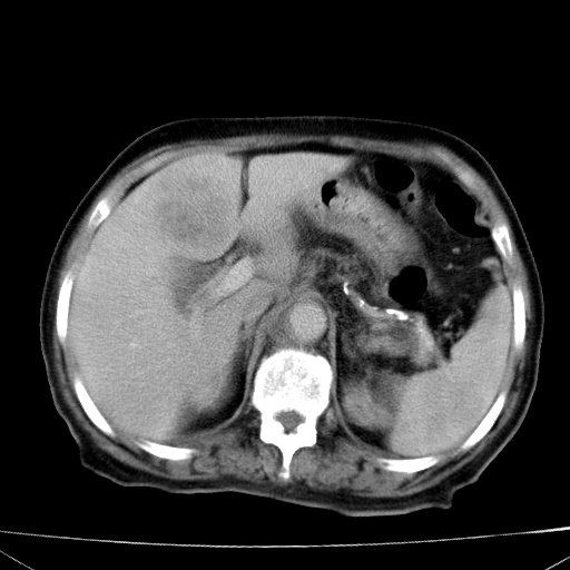
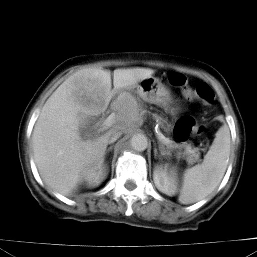
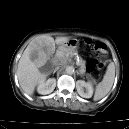
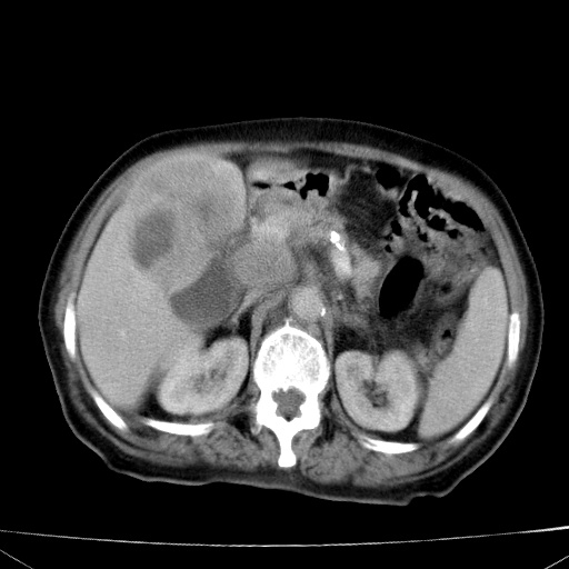
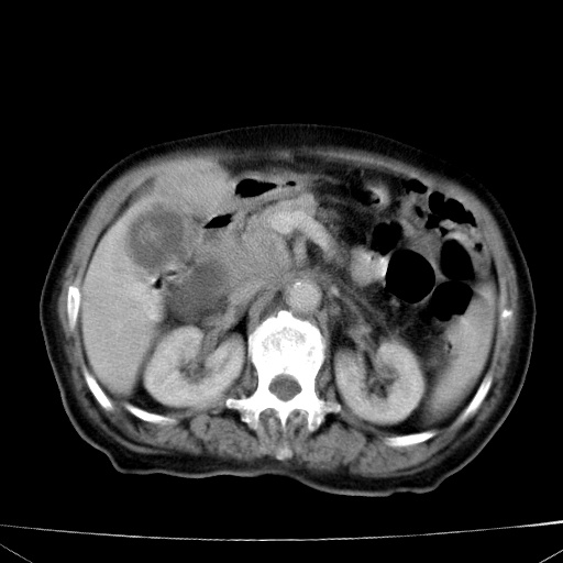
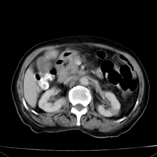
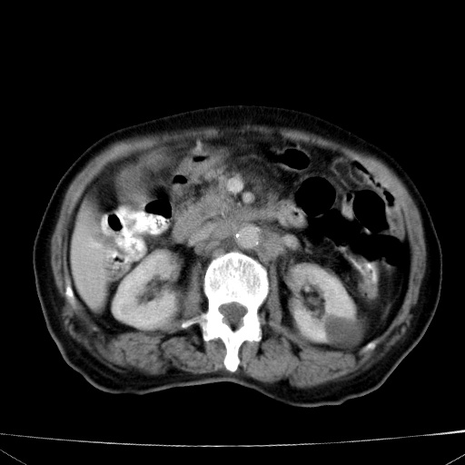
网站人气太旺!昨天的帖子就沉到海底,只好再发贴!ct18338:女 78岁,肝胆病变,已增强,再会诊!原帖链接:http://www.radida.com/bbs/forum.php?mod=viewthread&tid=50032




































[本贴已被 岚儿 于 2009-2-26 18:53:52 修改过]
[本贴已被 翁志蓬 于 2009-2-26 20:28:08 修改过]
作者: wangcxyisheng 时间: 2009-2-27 03:00
胆囊癌侵犯肝脏,腹腔淋巴结转移吧?
作者: 沉默是金 时间: 2009-2-27 03:04
胆囊癌侵犯肝脏,腹 膜后转移
作者: 随光逐影 时间: 2009-2-27 03:36
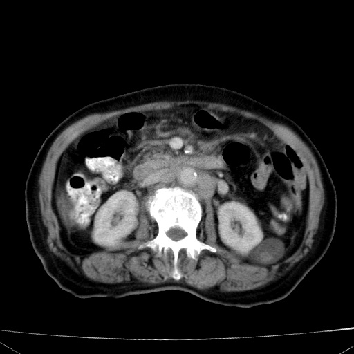
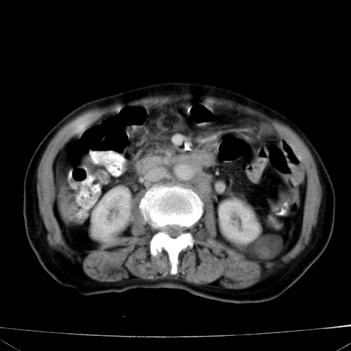
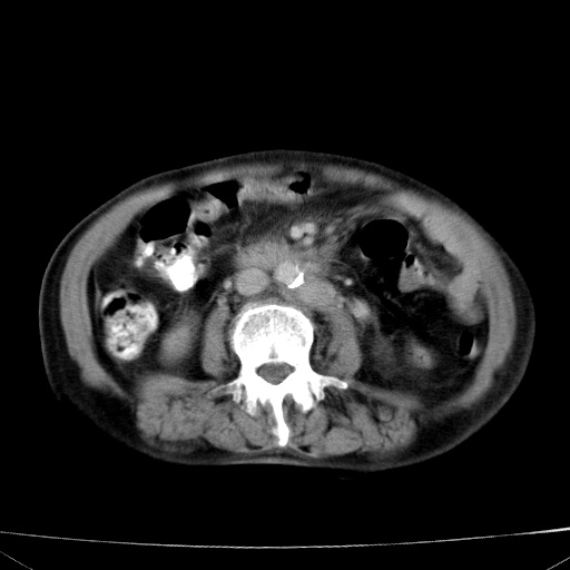
1)考虑胆囊癌侵犯肝脏并肝门区、腹膜后及右侧膈角后淋巴结转移。2)肝左叶近肝顶部囊肿。3)肝左叶肝内胆管结石。4)左肾近下极囊肿。
作者: 泪洒红尘 时间: 2009-2-27 03:40
标题: 回复:肝胆病变 增强已上传,再看看!
以下是引用随光逐影在2009-2-26 19:36:00的发言:[br]1)考虑胆囊癌侵犯肝脏并肝门区、腹膜后及右侧膈角后淋巴结转移。2)肝左叶近肝顶部囊肿;3)左肾近下极囊肿。
[本贴已被 泪洒红尘 于 2009-2-26 19:42:49 修改过]
作者: zbp537 时间: 2009-2-27 03:53
1、胆囊癌侵犯肝脏并腹腔及腹膜后淋巴结转移。
2、肝左叶外侧段囊肿。
作者: zsl6918 时间: 2009-2-27 04:21
1、胆囊癌侵犯肝脏并腹腔及腹膜后淋巴结转移。
2、肝左叶外侧段囊肿。
3,肾囊肿
作者: 杀毒软件 时间: 2009-2-27 05:00
标题: 回复:ct18338b:肝胆病变 增强已上传,再看看!
以下是引用随光逐影在2009-2-26 19:36:00的发言:[br]1)考虑胆囊癌侵犯肝脏并肝门区、腹膜后及右侧膈角后淋巴结转移。2)肝左叶近肝顶部囊肿。3)肝左叶肝内胆管结石。4)左肾近下极囊肿。
支持
作者: xulianj 时间: 2009-2-27 05:01
1、胆囊癌侵犯肝脏并腹腔及腹膜后淋巴结转移。
2、肝左叶外侧段、左肾下极囊肿。
作者: 卜一 时间: 2009-2-27 05:47
1、胆囊癌侵犯肝脏并腹腔及腹膜后淋巴结转移。
2、肝左叶外侧段、左肾下极囊肿。支持!
作者: 黑白光影 时间: 2009-2-27 05:57
1)考虑胆囊癌侵犯肝脏并肝门区、腹膜后及右侧膈角后淋巴结转移。2)肝左叶近肝顶部囊肿。3)肝左叶肝内胆管结石。4)左肾近下极囊肿。支持
作者: 祥云 时间: 2009-2-27 06:07
支持4楼
作者: 蓝星 时间: 2009-2-27 06:19
胆囊癌侵犯肝脏,腹 膜后转移
作者: 影象小泰斗 时间: 2009-2-27 06:26
考虑肝癌伴腹腔淋巴结转移,胆囊增大考虑腹腔淋巴结压迫胆总管所致!
作者: huangxinghai 时间: 2009-2-27 06:40
胆囊癌侵犯肝脏伴腹腔淋巴结转移
作者: pujunzhi 时间: 2009-2-27 07:42
支持胆囊癌侵犯肝脏伴腹腔淋巴结转移。
作者: dr.yang 时间: 2009-2-27 07:57
标题: 回复:ct18338b:肝胆病变 增强已上传,再看看!
以下是引用随光逐影在2009-2-26 19:36:00的发言:[br]1)考虑胆囊癌侵犯肝脏并肝门区、腹膜后及右侧膈角后淋巴结转移。2)肝左叶近肝顶部囊肿。3)肝左叶肝内胆管结石。4)左肾近下极囊肿。
作者: luanhai 时间: 2009-2-27 07:57
hehe
同意大家观点。但是胆囊癌的诊断还有待于b超辅助。
作者: 余辉 时间: 2009-2-27 20:57
1、胆囊癌侵犯肝脏并腹腔及腹膜后淋巴结转移。
2、肝左叶外侧段、左肾下极囊肿。支持!
作者: dsl555 时间: 2009-2-28 02:44
胆囊癌侵犯肝脏,腹 膜后转移
作者: jiangdy 时间: 2009-3-1 04:50
支持
欢迎光临 医影在线 (http://bbs.radida.com/bbs/) |
Powered by Discuz! X3.2 |