医影在线

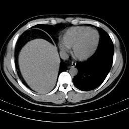
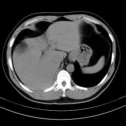
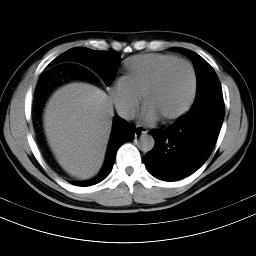
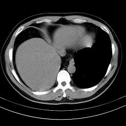
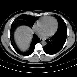
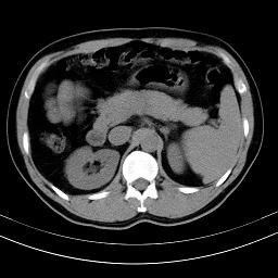
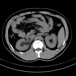
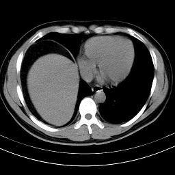
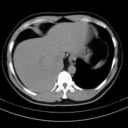
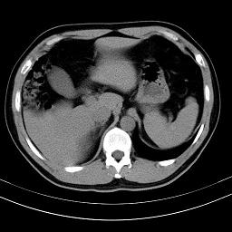
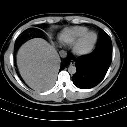
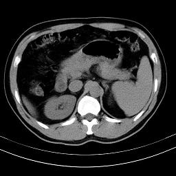
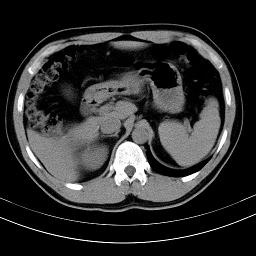
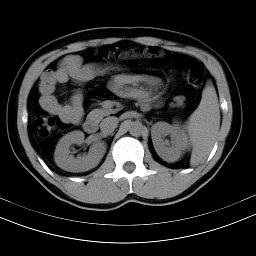
标题: CT18388:肝脏膈肌间隙内大量脂肪密度影 [打印本页]

作者: lanrenlaile    时间: 2009-2-27 19:42
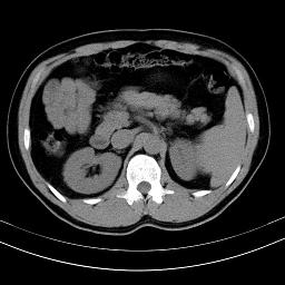
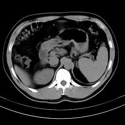
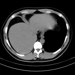
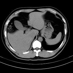
标题: CT18388:肝脏膈肌间隙内大量脂肪密度影




















[本贴已被 jiajie 于 2009-2-27 12:42:47 修改过]

作者: 杀毒软件    时间: 2009-2-27 20:27
考虑----气腹可能性大---进一步检查
作者: 西风    时间: 2009-2-27 20:41
是脂肪不是气体,有时候会碰到这样的病人,脂肪过多吧。
作者: 余辉    时间: 2009-2-27 20:46
腹腔脂肪沉积过多
作者: WZR    时间: 2009-2-27 20:46
腹腔脂肪沉积过多
作者: xizhong    时间: 2009-2-27 22:10
局部脂肪沉积。
作者: 随光逐影    时间: 2009-2-27 22:14
膈下脂肪沉积。
作者: 深泽交通    时间: 2009-2-27 23:03
改窗宽,窗位
作者: LIAOQIANG    时间: 2009-2-27 23:41
考虑膈下脂肪沉积。
作者: ydx_74    时间: 2009-2-27 23:48
腹腔脂肪沉积症
作者: ydx_74    时间: 2009-2-28 00:09
腹腔脂肪沉积症
作者: dsl555    时间: 2009-2-28 02:27
考虑膈下脂肪沉积。
作者: xulianj    时间: 2009-2-28 04:51
脂肪沉积症
作者: 黑白光影    时间: 2009-2-28 05:15
考虑膈下脂肪沉积。
作者: crazycell    时间: 2009-2-28 05:16
隔下脂肪堆积
作者: zsl6918    时间: 2009-2-28 06:04
意义不大
作者: wulingfeng329    时间: 2009-2-28 06:17
标题: 回复:ct18388:肝脏膈肌间隙内大量脂肪密度影
以下是引用黑白光影在2009-2-27 21:15:00的发言:[br]考虑膈下脂肪沉积。

作者: jiangdy    时间: 2009-2-28 23:58
腹腔脂肪沉积
作者: sunhongyan0520    时间: 2009-3-1 06:07
激素治疗的病人容易脂肪沉积




欢迎光临 医影在线 (http://bbs.radida.com/bbs/) Powered by Discuz! X3.2