医影在线

标题: CT18394:M,46岁。反复头晕、头痛3年。 [打印本页]

作者: ydx_74    时间: 2009-2-27 23:16
标题: CT18394:M,46岁。反复头晕、头痛3年。
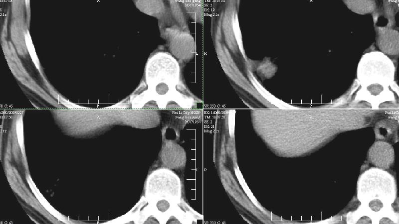
bp:180/120.神清,心肺未见阳性征象。临床高度怀疑肺癌(脑转移)。胸片:右下肺外基底段3.0x3.0cm球形病灶,考虑周围性肺癌。ct:右肺下叶外侧基底段病灶,考虑炎性结节可能性大,其它?建议治疗后复查。




[本贴已被 jiajie 于 2009-2-27 15:17:39 修改过]

作者: 杀毒软件    时间: 2009-2-27 23:42
支持考虑------炎性结节可能性大,建议治疗后复查。
作者: 随光逐影    时间: 2009-2-28 01:10
右肺下叶外基底段病灶;建议抗炎治疗后复查。
作者: gmk_006    时间: 2009-2-28 01:22
右下叶外基底段炎性假瘤可能性大,建议抗炎治疗后复查。
作者: 光影相伴    时间: 2009-2-28 01:36
右肺下叶外基底段病灶;建议抗炎治疗后复查,排除周围型肺癌。
作者: dsl555    时间: 2009-2-28 02:21
标题: 回复:ct18394:m,46岁。反复头晕、头痛3年。
以下是引用光影相伴在2009-2-27 17:36:00的发言:[br]右肺下叶外基底段病灶;建议抗炎治疗后复查,排除周围型肺癌。

作者: xulianj    时间: 2009-2-28 04:45
炎性结节可能性大
作者: 黑白光影    时间: 2009-2-28 05:28
右肺下叶外基底段病灶;建议抗炎治疗后复查,排除周围型肺癌。
作者: zsl6918    时间: 2009-2-28 05:33
建议上传颅脑检查综合分析,胸部资料高度提示肺癌可能。
作者: luanhai    时间: 2009-2-28 05:53
hehe

     这么小的病灶就怀疑脑转移了?有点yun
     今天我也见了一位患者,有类似小结节病灶,但是不好意思,本人“水平”不够,不敢妄下诊断。
    结节型的炎性假瘤、结核球、周围肺ca,就暂时的影像技术来说鉴别还是难点,很难突破
    如果抗炎治疗未果,宁切勿留,多做解释工作吧
作者: jiangdy    时间: 2009-3-1 00:09
考虑炎性假瘤




欢迎光临 医影在线 (http://bbs.radida.com/bbs/) Powered by Discuz! X3.2