



















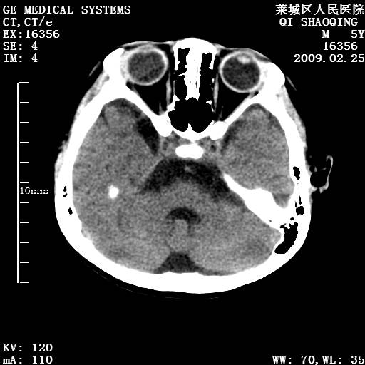
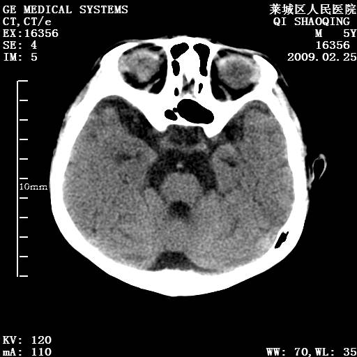
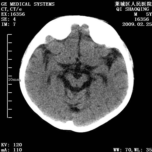
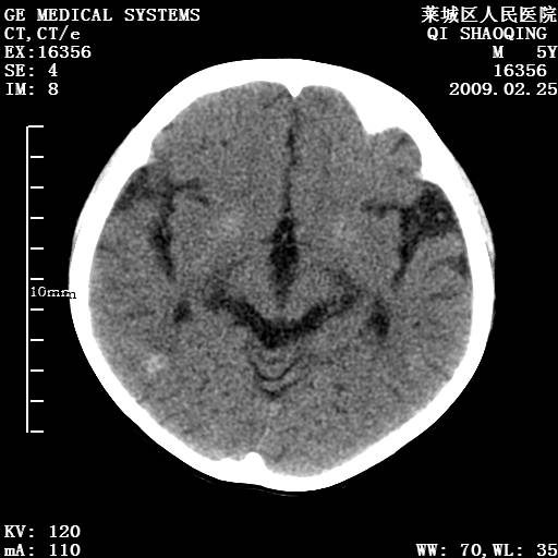
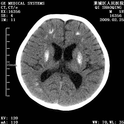
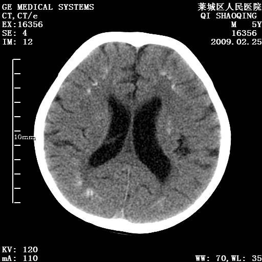
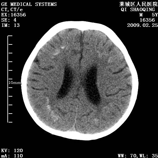
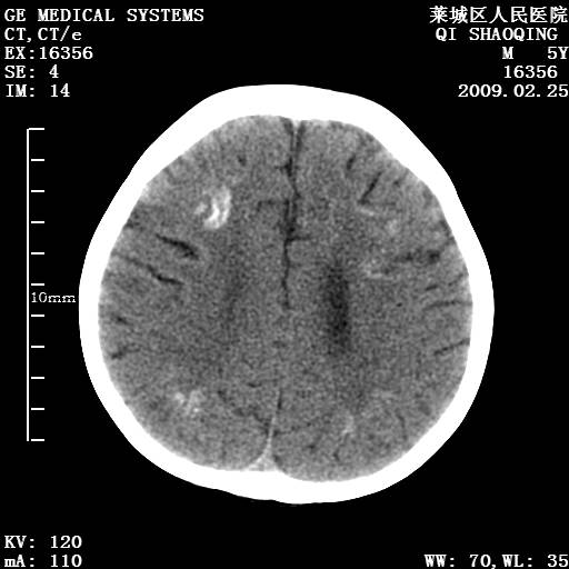
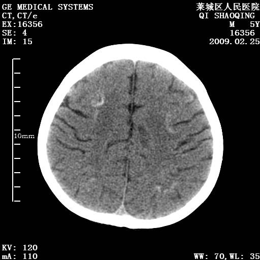
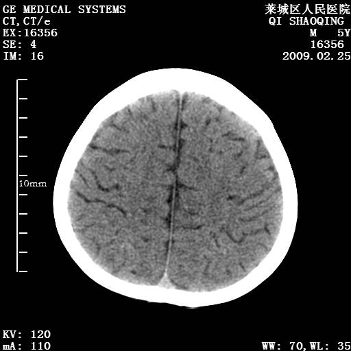
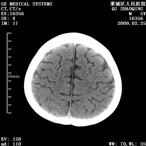
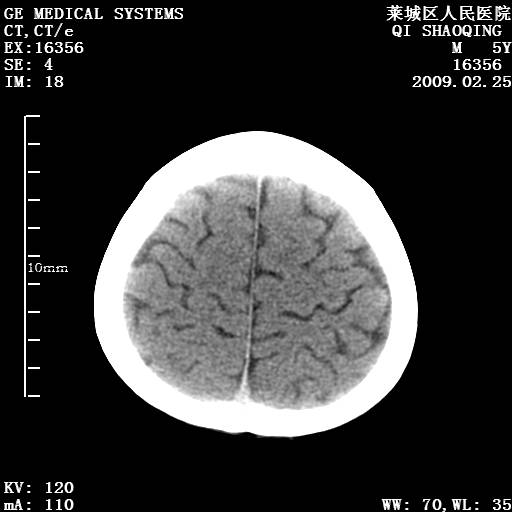
以下是引用wangzhengyuan在2009-2-28 10:22:00的发言:[br]甲状旁腺功能减退引起的脑改变.
以下是引用zsl6918在2009-2-28 10:17:00的发言:[br]首先考虑甲状旁腺功能低下所致,可结合实验室检查明确.另外需除外先天性宫内感染所致.
以下是引用余辉在2009-3-1 9:35:00的发言:[br]患者明显的肢体及智力改变,不支持fahr病,多考虑甲旁低,有可能伴有甲低(呆小症).进一步检查。
| 欢迎光临 医影在线 (http://bbs.radida.com/bbs/) | Powered by Discuz! X3.2 |