医影在线

标题: CT18444:男颅咽瘤术后一月复查脑积水增多 [打印本页]

作者: mohaiyidi    时间: 2009-3-2 21:21
标题: CT18444:男颅咽瘤术后一月复查脑积水增多











[本贴已被 jiajie 于 2009-3-2 18:23:02 修改过]

作者: 岚儿    时间: 2009-3-2 21:48
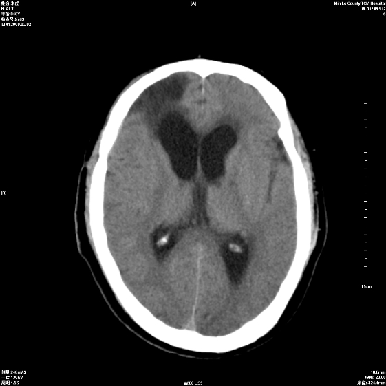
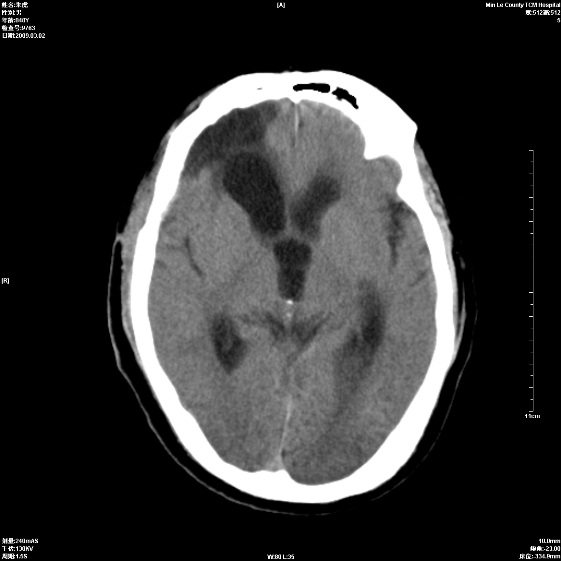
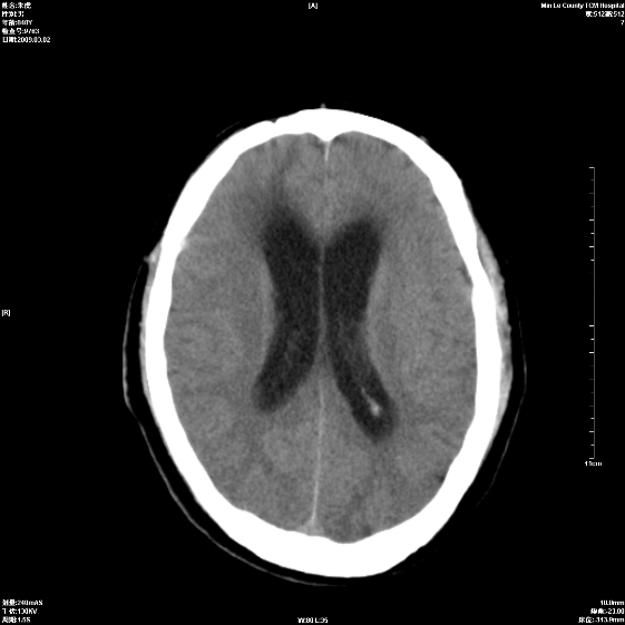
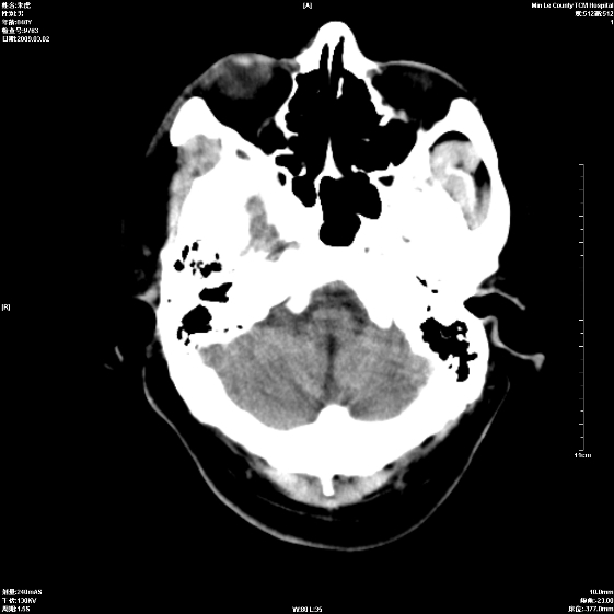
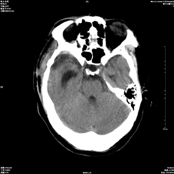
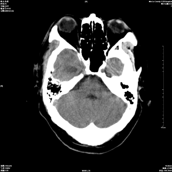
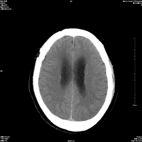
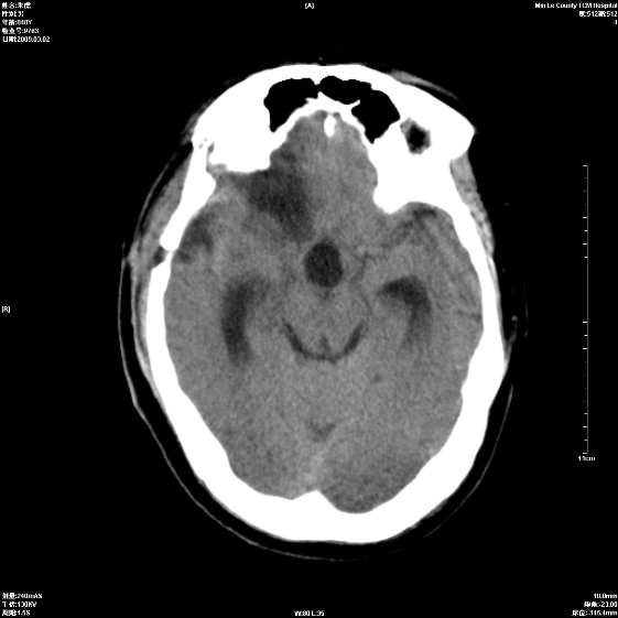
右侧额叶局软化灶,梗阻性脑积水。
作者: 影象小辈    时间: 2009-3-2 22:00
右侧额叶局软化灶,梗阻性脑积水。
作者: 深泽交通    时间: 2009-3-2 22:18
标题: 回复:患者男颅咽瘤术后一月复查脑积水增多
以下是引用岚儿在2009-3-2 13:48:00的发言:[br]右侧额叶局软化灶,梗阻性脑积水。

作者: dengkai    时间: 2009-3-2 22:20
梗阻性脑积水。
作者: xizhong    时间: 2009-3-2 22:44
标题: 回复:患者男颅咽瘤术后一月复查脑积水增多
以下是引用岚儿在2009-3-2 13:48:00的发言:[br]右侧额叶局软化灶,梗阻性脑积水。

作者: zjzjr    时间: 2009-3-2 23:05
右侧额叶局软化灶,梗阻性脑积水。
作者: liaizhi    时间: 2009-3-3 00:19
右额叶软化灶。梗阻性脑积水。
作者: 代课学生    时间: 2009-3-3 00:30
手术后改变
1、右额叶脑软化
2、脑积水
作者: 宇宙CT    时间: 2009-3-3 00:35
右额叶软化灶。梗阻性脑积水。
作者: 道哥    时间: 2009-3-3 01:03
四脑室上方积水,右额叶软化灶。
作者: 杀毒软件    时间: 2009-3-3 02:05
支持大家
作者: 303556394    时间: 2009-3-3 02:31
向各位老大学习了~~学习了
作者: 随光逐影    时间: 2009-3-3 02:37
1)右侧额颞部颅骨术后改变。2)右侧额颞叶脑软化灶。3)脑积水(梗阻性)。
作者: xulianj    时间: 2009-3-3 03:36
支持
作者: 黑白光影    时间: 2009-3-3 05:25
手术后改变1、右额叶脑软化2、梗阻性脑积水。
作者: zsl6918    时间: 2009-3-3 16:03
没办法的事
作者: LIAOQIANG    时间: 2009-3-3 17:11
右额叶软化灶。梗阻性脑积水。
作者: 晓杰    时间: 2009-3-13 19:09
右额叶软化灶。梗阻性脑积水




欢迎光临 医影在线 (http://bbs.radida.com/bbs/) Powered by Discuz! X3.2