医影在线

标题: CT18448:颅内少见病例!! [打印本页]

作者: 深蓝一号    时间: 2009-3-3 00:28
标题: CT18448:颅内少见病例!!
(结果公布:http://www.radida.com/bbs/forum.php?mod=viewthread&tid=50509
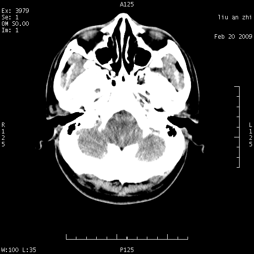
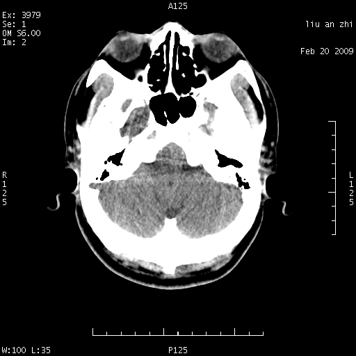
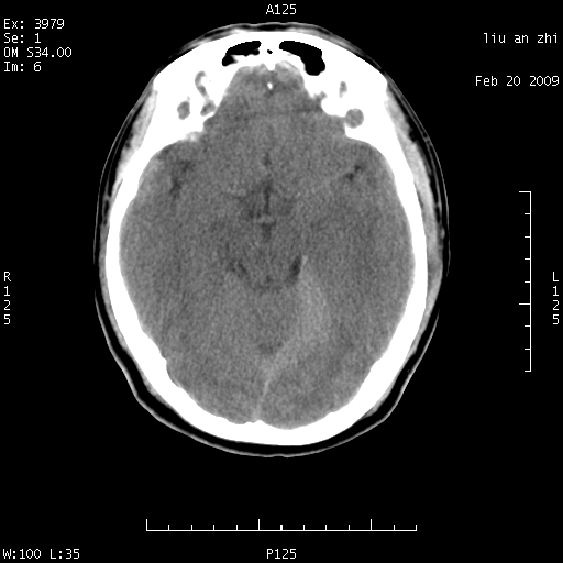
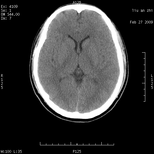
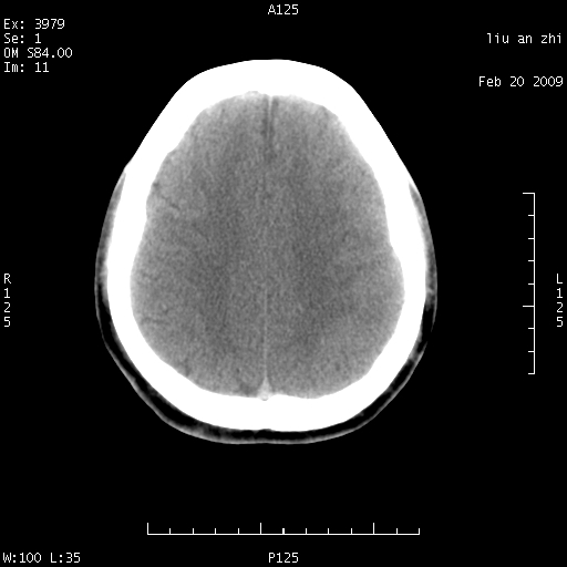
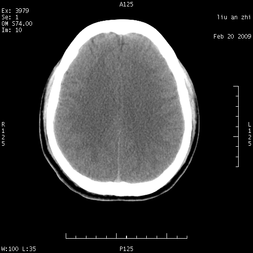
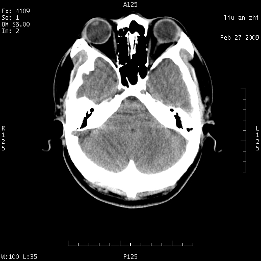
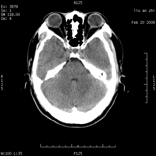
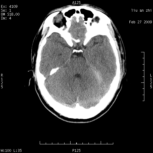
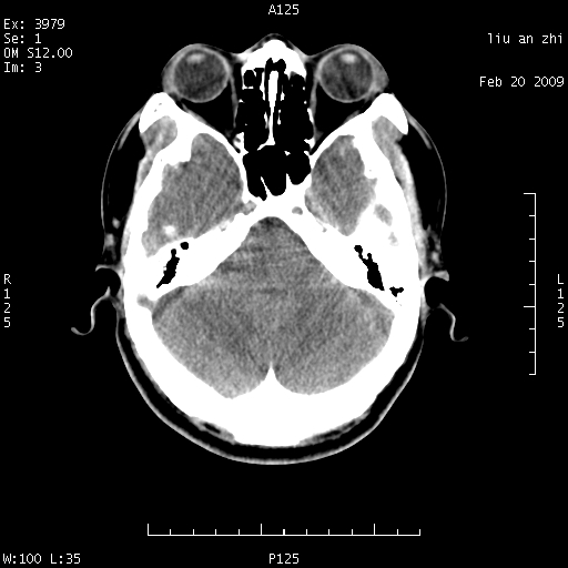
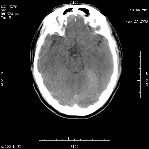
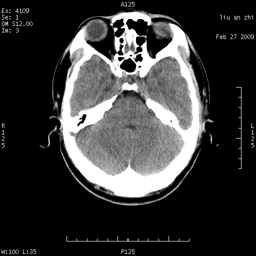
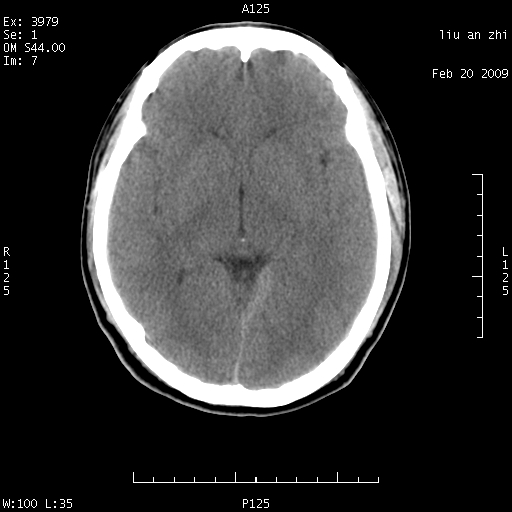
患者:男,32岁 被打伤后3天,自感头昏头痛作头颅ct检查。请大家看一下想什么??











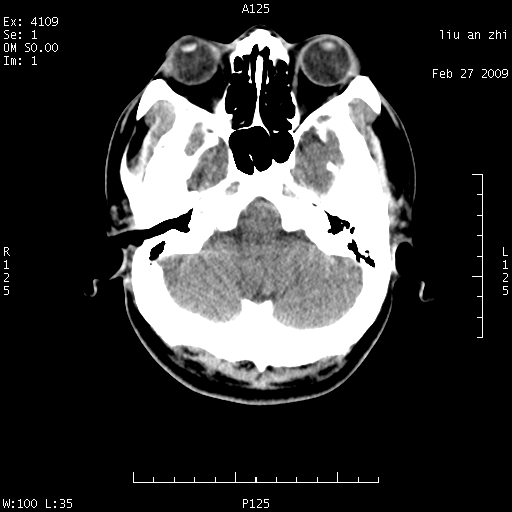
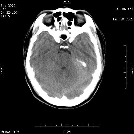
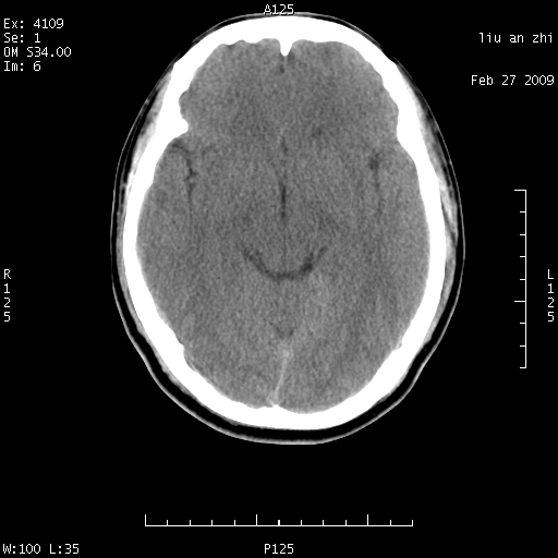
7天后复查头颅ct片:









[本贴已被 jiajie 于 2009-3-10 10:13:08 修改过]

作者: klnh111    时间: 2009-3-3 00:33
哪里有事?
作者: 深蓝一号    时间: 2009-3-3 00:38
请注意小脑幕!!!
作者: guanaishengming    时间: 2009-3-3 01:12
蛛网膜下腔少许出血
作者: 道哥    时间: 2009-3-3 01:29
小脑幕前后7天变化不明显,考虑正常,不考虑sah,7天应该基本吸收了。
作者: 杀毒软件    时间: 2009-3-3 01:58
考虑---蛛网膜下腔出血
作者: 37度    时间: 2009-3-3 02:13
少见病例??
作者: 303556394    时间: 2009-3-3 02:29
没看出咋回事~~
作者: 随光逐影    时间: 2009-3-3 02:33
考虑左侧天幕硬膜下血肿。
作者: 流浪星    时间: 2009-3-3 02:51
密度不够,不能诊断sah.正常小脑幕密度可稍高。
作者: 中原一点红    时间: 2009-3-3 02:55
左侧天幕硬膜下血肿
作者: xulianj    时间: 2009-3-3 03:41
支持蛛血!
作者: 影象小辈    时间: 2009-3-3 03:53
左侧天幕硬膜下血肿可以考虑  建议mr
作者: xinhai18    时间: 2009-3-3 04:39
没看出有啥事呢
作者: dengkai    时间: 2009-3-3 05:16
左侧天幕硬膜下血肿可以考虑  建议mr
作者: 黑白光影    时间: 2009-3-3 05:31
考虑左侧天幕硬膜下血肿。
作者: dsl555    时间: 2009-3-3 06:50
建议mr
作者: happyverycd    时间: 2009-3-3 13:50
标题: 回复:ct18448:颅内少见病例!!
以下是引用黑白光影在2009-3-2 21:31:00的发言:[br]考虑左侧天幕硬膜下血肿。

作者: zsl6918    时间: 2009-3-3 14:41
考虑小脑幕积血。
作者: 深蓝一号    时间: 2009-3-10 00:22
标题: 回复:ct18448:颅内少见病例!!
ct18448的结果:mri检查左侧天幕下血肿
作者: 卜一    时间: 2009-3-10 00:59
高度可疑:左侧天幕硬膜下血肿。
作者: 随光逐影    时间: 2009-3-10 01:39
标题: 回复:ct18448:颅内少见病例!!
以下是引用深蓝一号在2009-3-9 16:22:00的发言:[br]ct18448的结果:mri检查左侧天幕下血肿。

感谢楼主反馈结果。
作者: 影像孺子牛    时间: 2009-3-10 06:41
感谢楼主反馈结果,学习了。
作者: xiaomeng    时间: 2009-3-10 08:39
出血
作者: pujunzhi    时间: 2009-3-10 15:05
支持左侧天幕硬膜下血肿。
作者: 拾荒者    时间: 2009-3-12 05:31
谢谢楼主反馈结果!确实少见。
作者: xf74    时间: 2009-3-12 06:33
谢谢楼主反馈结果,学习了!
作者: zbp537    时间: 2009-3-12 15:48
左侧小脑幕旁硬膜下出血。
作者: zss关东大先    时间: 2009-3-12 19:12
学习了
作者: zyyzzy    时间: 2009-3-12 19:17
考虑左侧天幕硬膜下血肿。建议薄层扫描
作者: 晓杰    时间: 2009-3-13 18:49
考虑:蛛网膜下腔出血,左侧天幕硬膜下血肿;建议做mri检查




欢迎光临 医影在线 (http://bbs.radida.com/bbs/) Powered by Discuz! X3.2