医影在线

标题: X5394:腰椎退变? [打印本页]

作者: 黑白光影    时间: 2009-3-3 05:46
标题: X5394:腰椎退变?
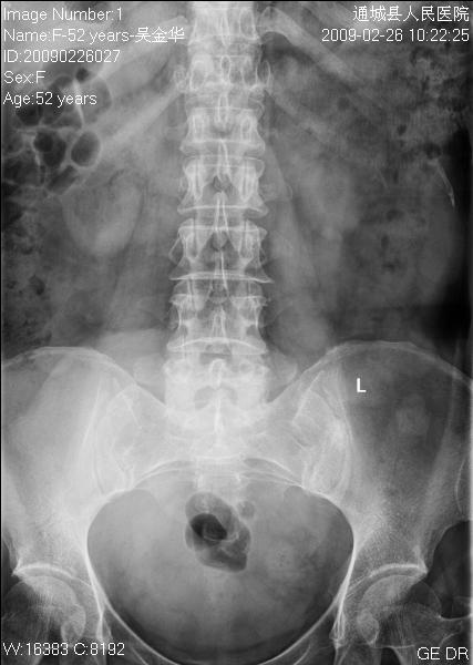
女性,52岁,腰痛二年余。
临床诊断:腰椎退行变。




[本贴已被 jiajie 于 2009-3-2 21:47:05 修改过]

作者: dengkai    时间: 2009-3-3 07:19
符合腰椎退行变。
作者: jill5072    时间: 2009-3-3 07:47
腰椎退行性变
作者: dyqCT    时间: 2009-3-3 15:53
腰椎退行性变。建议ct进一步检查下腹部.
作者: zsl6918    时间: 2009-3-3 16:08
平片仅能提示退变
作者: LIAOQIANG    时间: 2009-3-3 16:32
腰椎退行性变。建议进一步检查盆腔。
作者: 随光逐影    时间: 2009-3-3 16:33
1)腰椎退行改变。2)考虑盆腔巨大占位性病变;建议行进一步检查。
作者: 杀毒软件    时间: 2009-3-3 19:58
是尿滁留还是占位----b超
作者: GUDU医生    时间: 2009-3-3 20:01
支持上楼
作者: gaoyang8    时间: 2009-3-3 20:56
1.腰椎退行性变
2.建议行进一步检查,排除一下是否有腹部的占位性病变。
作者: songyi    时间: 2009-3-3 22:02
腰椎退行性变。建议进一步检查盆腔
作者: 奥特之父    时间: 2009-3-3 23:00
1)腰椎退行改变。2)考虑腹盆腔巨大占位性病变(其大部边缘清楚)考虑:来源于卵巢占位性病变可能,建议mri检查.
作者: wenyong    时间: 2009-3-4 01:11
1)腰椎退行改变。
2)腹盆腔巨大占位性病变,来源于附件占位性病变可能,
3)左肾影不清,与腹腔盆腔占位病变有否联系?异位肾?
意见:请予mru检查,如果无mri机器,请予ivp,或ct扫描重建。
作者: 光影相伴    时间: 2009-3-4 01:33
1)腰椎退行性变。2)盆腔占位性病变;建议行ct扫描检查。
作者: wangyong1977    时间: 2009-3-4 04:07
腰椎退行改变
作者: shulongd    时间: 2009-3-4 05:00
1、腰椎退变;  2、盆腔占位不能排除,建议ct。
作者: 拾荒者    时间: 2009-3-4 05:53
符合腰椎退行变。
作者: hexue    时间: 2009-3-4 06:43
1.腰椎退行性变
2.建议行进一步检查,排除一下是否有腹部的占位性病变。
作者: 黑白光影    时间: 2009-3-4 17:29
标题: 回复:x5394:腰椎退变?
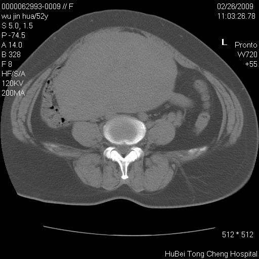
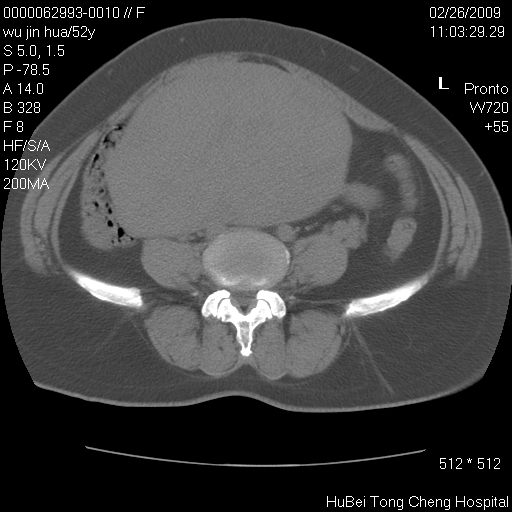
依据平片“腰椎退行性改变”报告,作椎间盘ct扫描时发现:









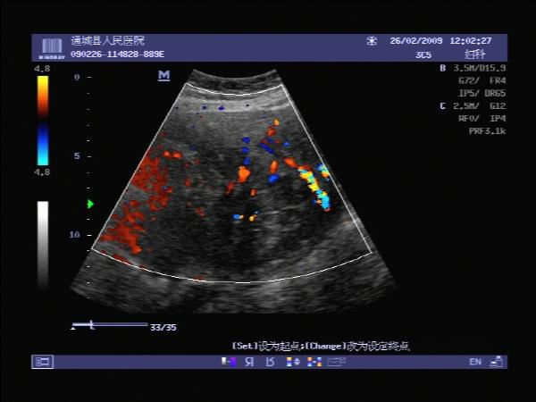
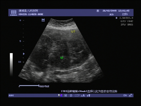
盆腔彩超报告:子宫肌瘤。(或许也漏诊了!)


作者: zhangkening    时间: 2009-3-4 18:51
退变,下腹部椭圆形密度增高影是什么呀?建议行ct检查一下。
作者: 拾荒者    时间: 2009-3-5 04:08
谢谢!楼主的片子对比度好,要是我们不可能发现盆腔内软组织占位影,还是要谢谢了。
作者: 影像孺子牛    时间: 2009-3-5 06:53
感谢楼主,学习了。
作者: qxhxf    时间: 2009-3-5 22:21
腰椎退行性改变,右下腹软组织密度影,性质待定
作者: scdlc2008    时间: 2009-3-6 00:03
囊腺瘤
作者: 天山影士    时间: 2009-3-6 06:54
影像表现:盆腹腔巨大占位,内密度均匀,边界清,未做强化。
来源:考虑来源于腹膜后肿瘤。
性质:以肉瘤可能性大。
作者: 寻芳者    时间: 2009-3-7 06:29
1)腰椎退行改变。2)考虑盆腔巨大占位性病变;建议行进一步检查。
作者: AV195    时间: 2009-3-13 05:22
标题: 回复:x5394:腰椎退变?
腰椎退变
作者: 医盲    时间: 2009-3-19 03:07
腰椎退行性变;下腹部见团状致密影,考虑尿潴留?盆腔占位?建议b超或ct检查.
作者: wangqingdh    时间: 2009-3-19 22:59
1)腰椎退行改变。2)考虑盆腔巨大占位性病变;建议行进一步检查。
作者: 513ytb    时间: 2009-6-25 07:30
1.腰椎退行性变
2.建议行进一步检查,排除一下是否有腹部的占位性病变。
作者: shibing    时间: 2014-6-30 08:08
腰椎退行变。




欢迎光临 医影在线 (http://bbs.radida.com/bbs/) Powered by Discuz! X3.2