医影在线
标题: CT1693:[原创]头部,血肿前二次, [打印本页]
作者: aosangwa 时间: 2005-8-22 04:39
标题: CT1693:[原创]头部,血肿前二次,
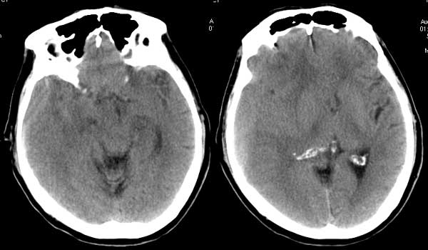
第一次片子:


第二天复查片子:


[本贴已被 jiajie 于 2005-8-21 20:58:53 修改过]
[本贴已被 翁志蓬 于 2005-8-21 21:08:34 修改过]
三个月后的片子:



[本贴已被 jiajie 于 2005-8-21 21:19:39 修改过]
作者: songying 时间: 2005-8-22 04:46
外伤的话考虑硬膜下积液
作者: aosangwa 时间: 2005-8-22 04:49
与下面的原创血肿是一个病人,
作者: xytzp 时间: 2005-8-22 04:59
考虑硬膜下积液
作者: aosangwa 时间: 2005-8-22 05:08
那么再看昨天的血肿原贴,是慢性硬膜下还是慢性硬膜外血肿,还是混合型的呢
作者: aosangwa 时间: 2005-8-22 05:09
下面的ct1693就是三个月后做的
作者: yxfjnchina 时间: 2005-8-22 05:27
前两次的片子显示双侧额部均有病灶,三个月后复查,左侧吸收,右侧较前明显发展,呈浅s形,且以凹面为主,所以考虑慢性硬膜下血肿为主的血肿.并不能完全排除硬膜外血肿的可能,这个在影像上确实不好鉴别,必要是mr可以考虑查一下,或话有帮助.
作者: jiajie 时间: 2005-8-22 05:30
好片子,硬膜下血肿。日常工作中类似外伤病例的确应该强调定期复查。
作者: 王维浦 时间: 2005-8-22 05:30
左侧积液内混有血,所以密度较对侧单纯积液稍高,吸收一般也较慢。
作者: 火眼 时间: 2005-8-22 05:36
[emb6]8楼
作者: jiangldong1976 时间: 2005-8-22 06:06
此人前2次片比较典型的双侧额部硬膜下积液.并左侧少许出血灶,第三次片应该是硬膜下血肿,亚急性3天至3周才是等高密度影,所以说1.此人是否有新的外伤史,2.慢性硬膜下血肿再次出血.8楼兄弟说:\"前两次的片子显示双侧额部均有病灶,三个月后复查,左侧吸收,右侧较前明显发展\",我认为可能是右侧进展期,占位效应明显,推挤作用.
作者: 翁志蓬 时间: 2005-8-22 06:09
患者伤后第一次ct检查提示左额部蛛网膜下腔出血伴积液,右额部蛛网膜下腔积液。
第二天ct检查提示蛛网膜下腔出血吸收(或稀释)。
三个月后检查则见右额颞顶部混合形血肿(硬膜外血肿+硬膜下血肿),而双侧蛛网膜下腔积液基本消失。
从第一、二次ct片上看,患者受伤应该在右枕部,而硬膜下血肿对冲伤多见,因此,患者是否有第二次外伤史?
作者: guzhongliangddd 时间: 2005-8-22 07:41
从第一次看。双恻有硬膜下积液以右恻明显,左恻有脑挫伤{我分析着立部位应该在右恻],左恻病灶部位脑沟明显较对恻浅。第2与第3此的改变我[emb6]翁老师的分析。
作者: lihuuuu 时间: 2005-8-22 14:40
硬膜下水瘤 并发出血发展成为慢性硬膜下血肿
作者: lushijun 时间: 2005-8-22 15:04
[emb6]8楼意见
作者: wskgmmyvtkd 时间: 2005-8-22 17:37
硬膜下血肿,从ct片上看脑实质受压明显,请结合临术现行外伤史。
作者: liuwensi 时间: 2005-8-22 19:11
两侧硬膜下积液,三月后可见右侧硬膜下血肿。
作者: maomaotu 时间: 2005-8-22 19:26
[emb6]12楼的意见
作者: 影象王 时间: 2005-8-22 22:02
硬膜下积液
作者: aosangwa 时间: 2005-8-23 03:58
谢谢诸位的讨论,因为病人转院,我将随时发布最新结果
作者: 悬壶济世 时间: 2005-8-24 02:11
硬膜下积液发展为硬膜下血肿.
作者: aosangwa 时间: 2005-8-26 16:53
最后手术结果硬膜下血肿
作者: DDD-WAWJ-1151 时间: 2005-8-26 17:34
慢性硬膜下血肿,
作者: jindaoquan 时间: 2005-8-26 18:07
属于慢性硬膜外血肿的表现.
作者: 尚峰 时间: 2005-8-27 07:24
经常看见慢性硬膜下积液几个月后演变为血肿的,但不知机理是什么,哪位高手能给解释一下?
作者: 影象王 时间: 2005-8-27 07:49
硬膜下积液和慢性硬膜下血肿
作者: 东北 时间: 2005-8-29 18:21
[emb6]大家[emb6]
作者: maomaotu 时间: 2005-8-29 21:26
双侧硬膜下积液和慢性硬膜下血肿,顶一个[emb6]
作者: shibing 时间: 2015-5-24 16:48
左侧积液内混有血,所以密度较对侧单纯积液稍高,吸收一般也较慢。
| 欢迎光临 医影在线 (http://bbs.radida.com/bbs/) |
Powered by Discuz! X3.2 |