医影在线

标题: CT18469:男性,64y,体检B超示肝脏低回声肿块,有胃溃疡手术 [打印本页]

作者: 应将    时间: 2009-3-3 19:45
标题: CT18469:男性,64y,体检B超示肝脏低回声肿块,有胃溃疡手术
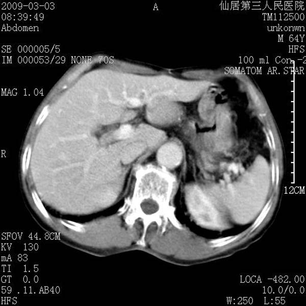
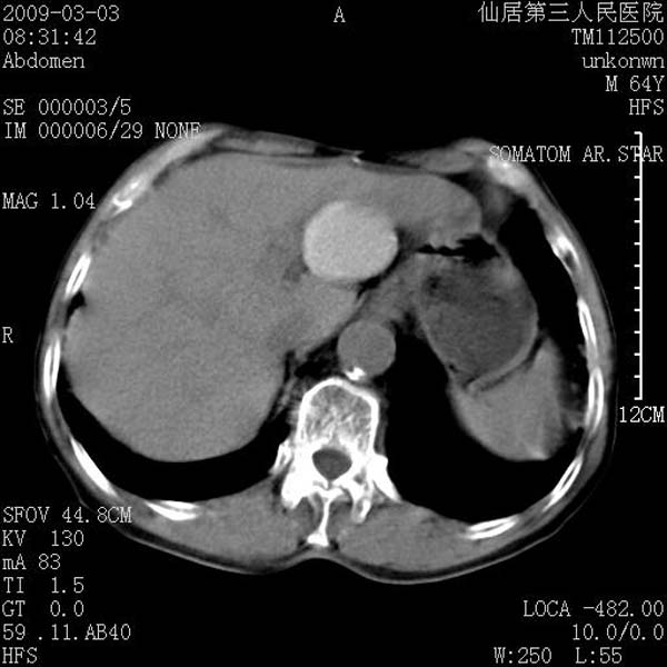
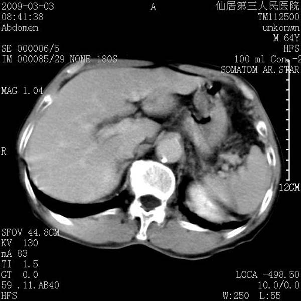
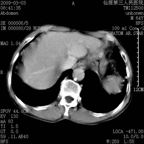
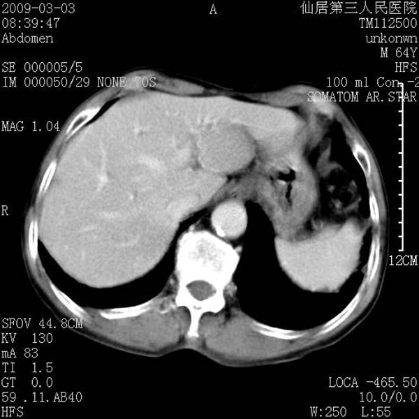
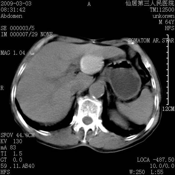
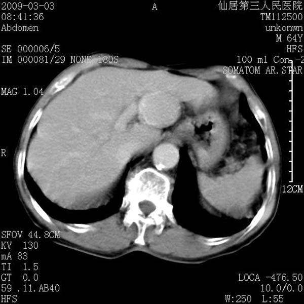
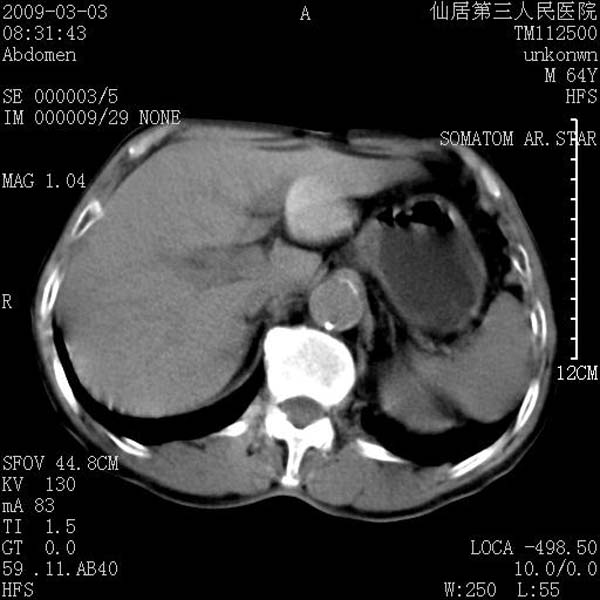
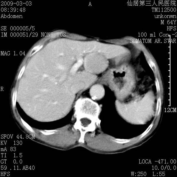
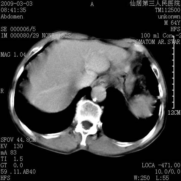
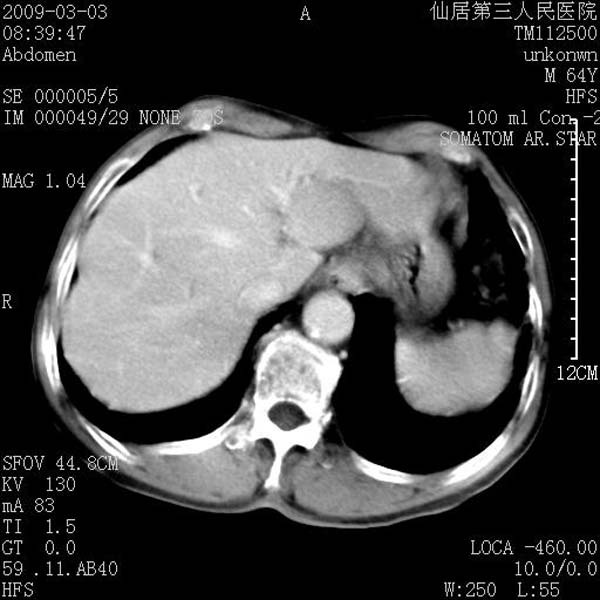
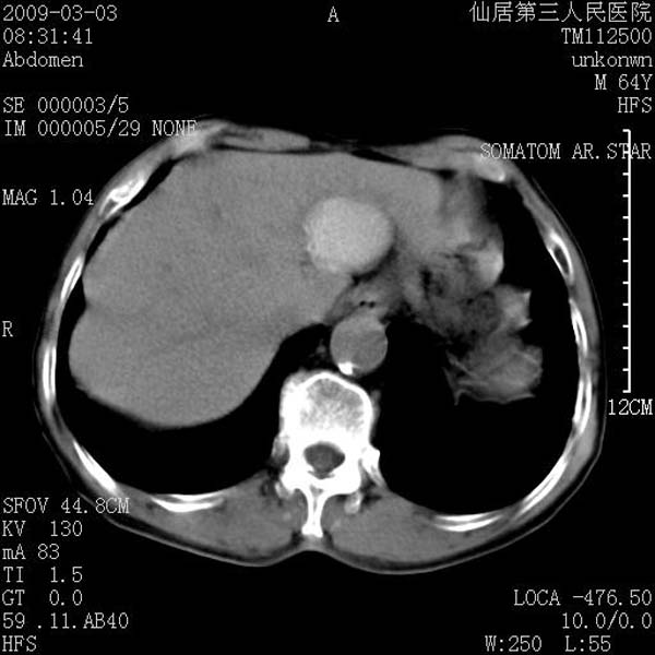
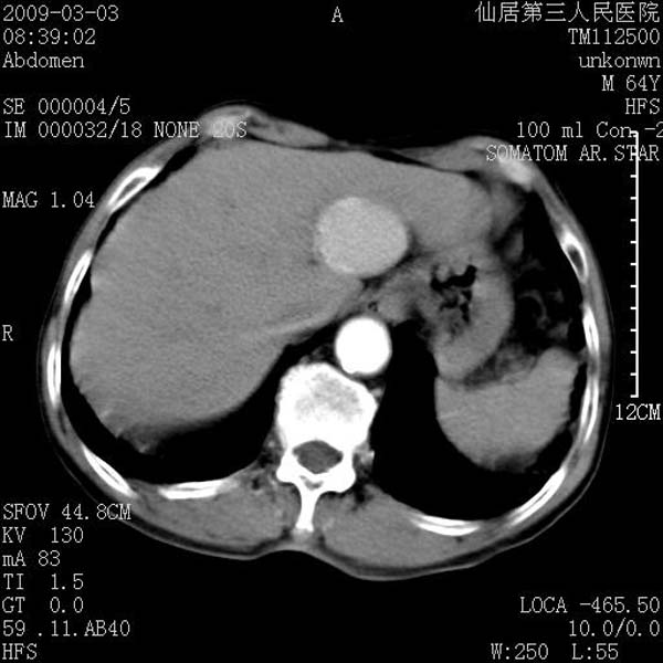
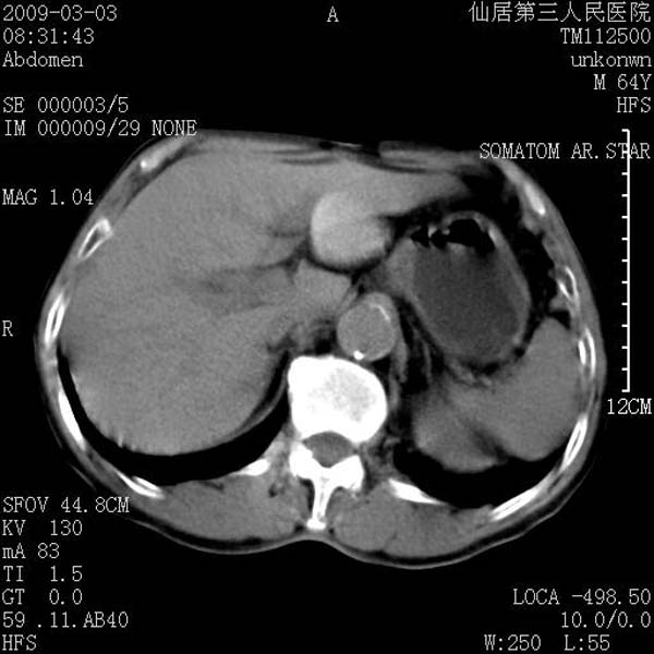
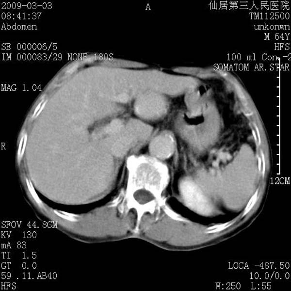
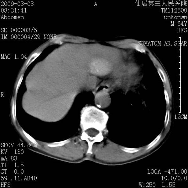
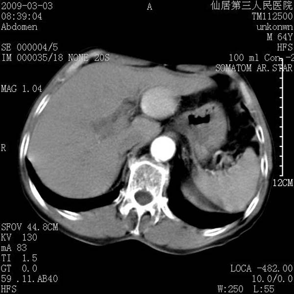
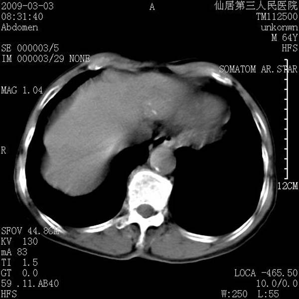
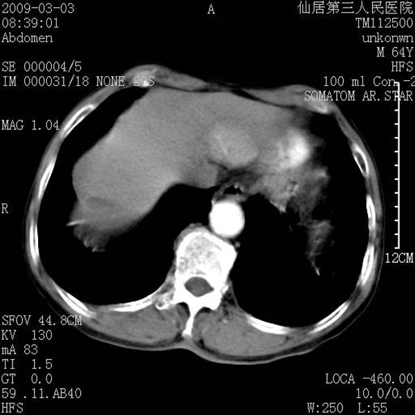
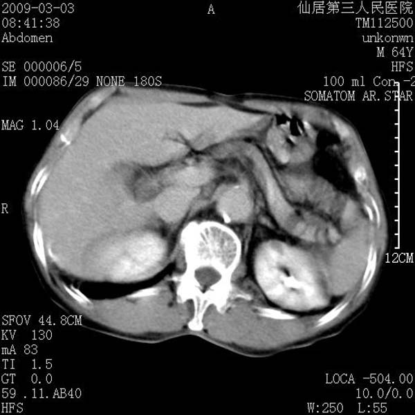
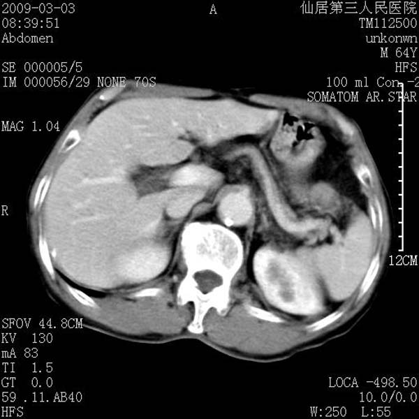
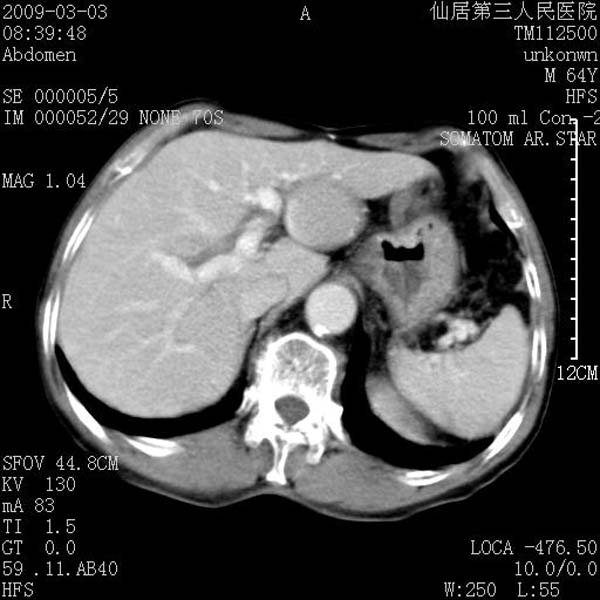
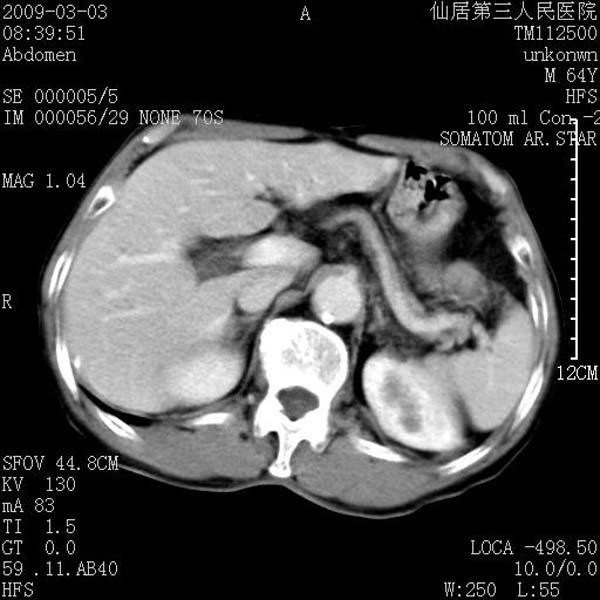
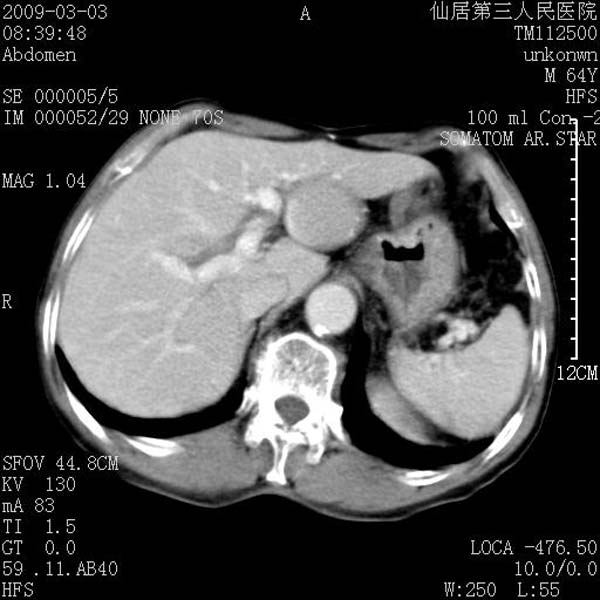
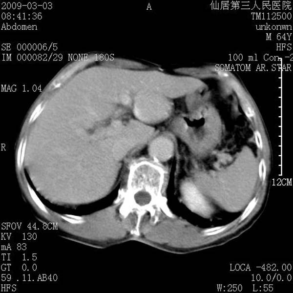
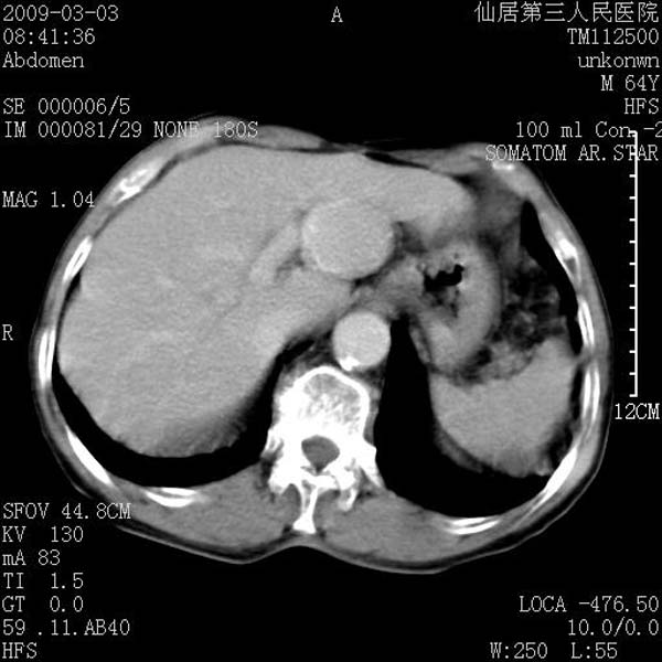
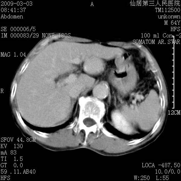
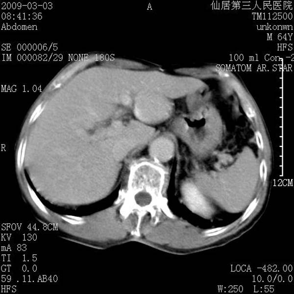
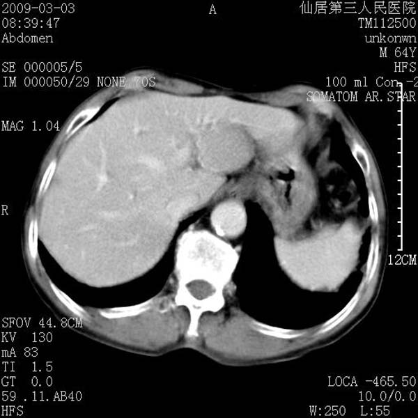
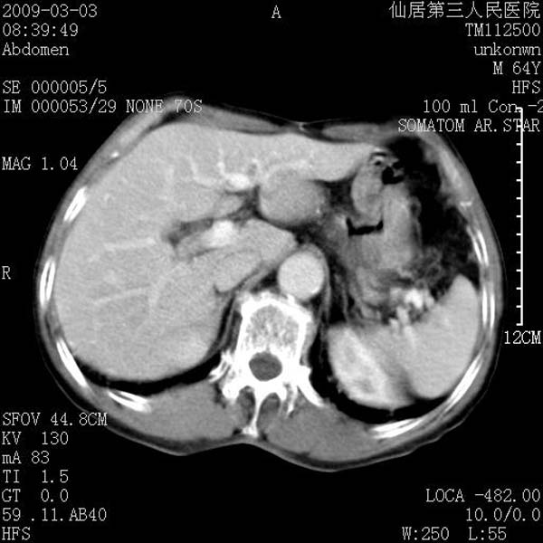
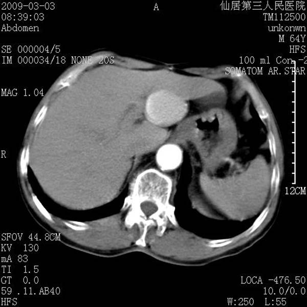
患者,男性,64y,体检b超示肝脏低回声肿块,有胃溃疡手术史。















































[本贴已被 jiajie 于 2009-3-3 15:21:14 修改过]

作者: 杀毒软件    时间: 2009-3-3 20:27
考虑----胃肠道间质瘤可能性大
作者: 道哥    时间: 2009-3-3 20:41
支持
作者: zbp537    时间: 2009-3-3 21:42
从平扫及增强的特点来看,支持肝脏腺瘤并出血。
作者: LIAOQIANG    时间: 2009-3-3 22:19
考虑胃间质瘤可能性大。
作者: 卜一    时间: 2009-3-3 22:26
胃肠道间质瘤!
作者: xizhong    时间: 2009-3-3 23:28
支持肝脏腺瘤并出血。期待结果。
作者: 野鹅    时间: 2009-3-3 23:44
考虑十二子肠术后改变,建议钡餐检查。
作者: 中原一点红    时间: 2009-3-4 00:13
ct值呢?感觉没强化,象囊性。
作者: 随光逐影    时间: 2009-3-4 00:26
考虑肝静脉韧带裂区良性占位性病变(囊肿?)。
作者: yhb    时间: 2009-3-4 02:39
肝内良性病灶.
作者: xulianj    时间: 2009-3-4 04:40
考虑囊肿性病变
作者: huangxun4321    时间: 2009-3-4 04:40
考虑肝囊肿并出血可能性大.
作者: dengkai    时间: 2009-3-4 05:02
考虑肝静脉韧带裂区良性占位性病变(囊肿?)。
作者: 黑白光影    时间: 2009-3-4 05:38
标题: 回复:ct18469:男性,64y,体检b超示肝脏低回声肿块,有胃
以下是引用随光逐影在2009-3-3 16:26:00的发言:[br]考虑肝静脉韧带裂区良性占位性病变(囊肿?)。

作者: dr.yang    时间: 2009-3-4 06:55
支持肝脏腺瘤并出血。期待结果
作者: pujunzhi    时间: 2009-3-4 08:24
标题: 回复:ct18469:男性,64y,体检b超示肝脏低回声肿块,有胃
以下是引用huangxun4321在2009-3-3 20:40:00的发言:[br]考虑肝囊肿并出血可能性大.

作者: zsl6918    时间: 2009-3-4 14:30
考虑高密度囊肿可能性大
作者: huqi8888    时间: 2009-3-4 18:03
以下是引用随光逐影在2009-3-3 16:26:00的发言:
考虑肝静脉韧带裂区良性占位性病变(囊肿?)。
作者: 伍星    时间: 2009-3-5 05:27
考虑高密度囊肿可能性大支持




欢迎光临 医影在线 (http://bbs.radida.com/bbs/) Powered by Discuz! X3.2