医影在线

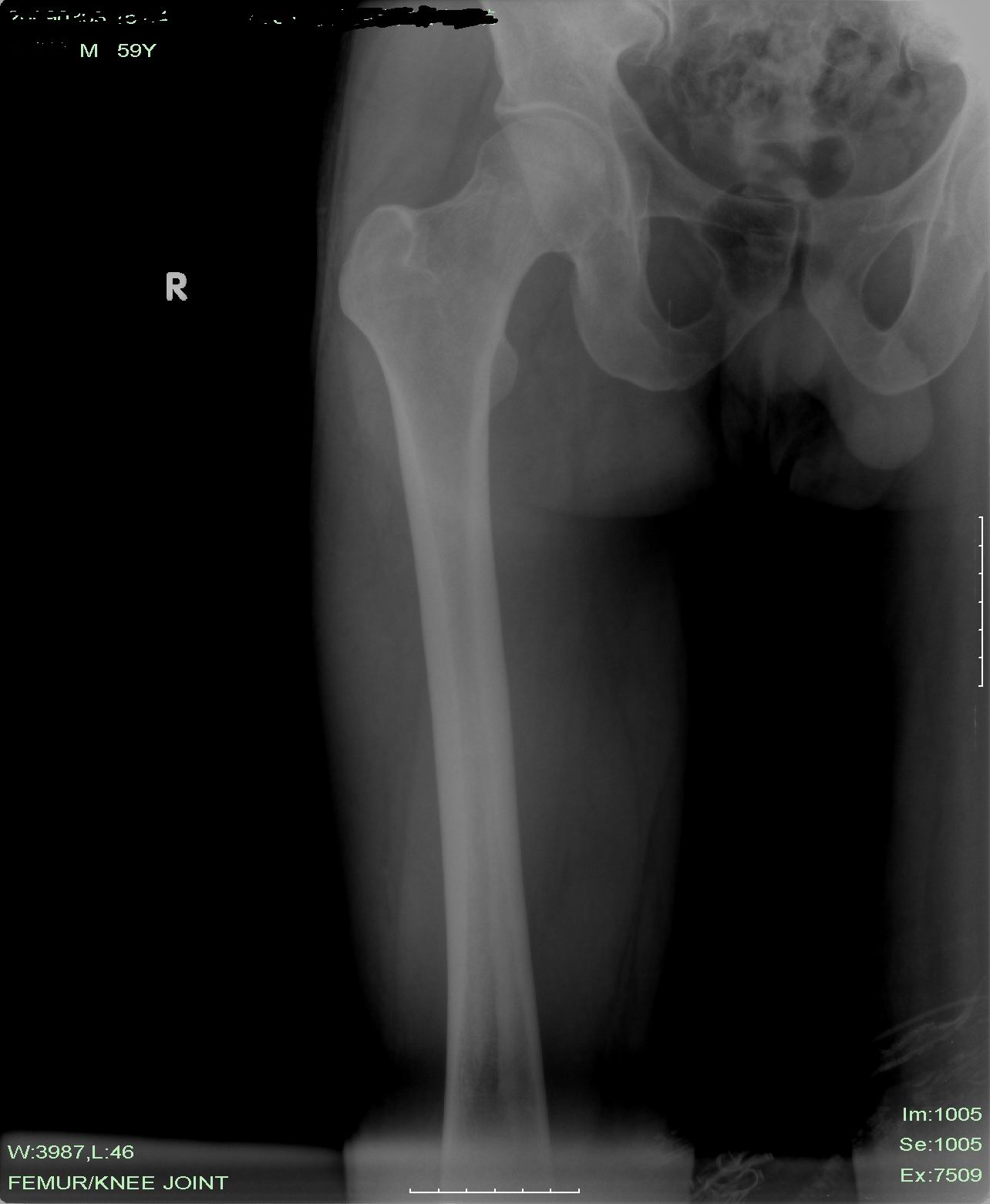
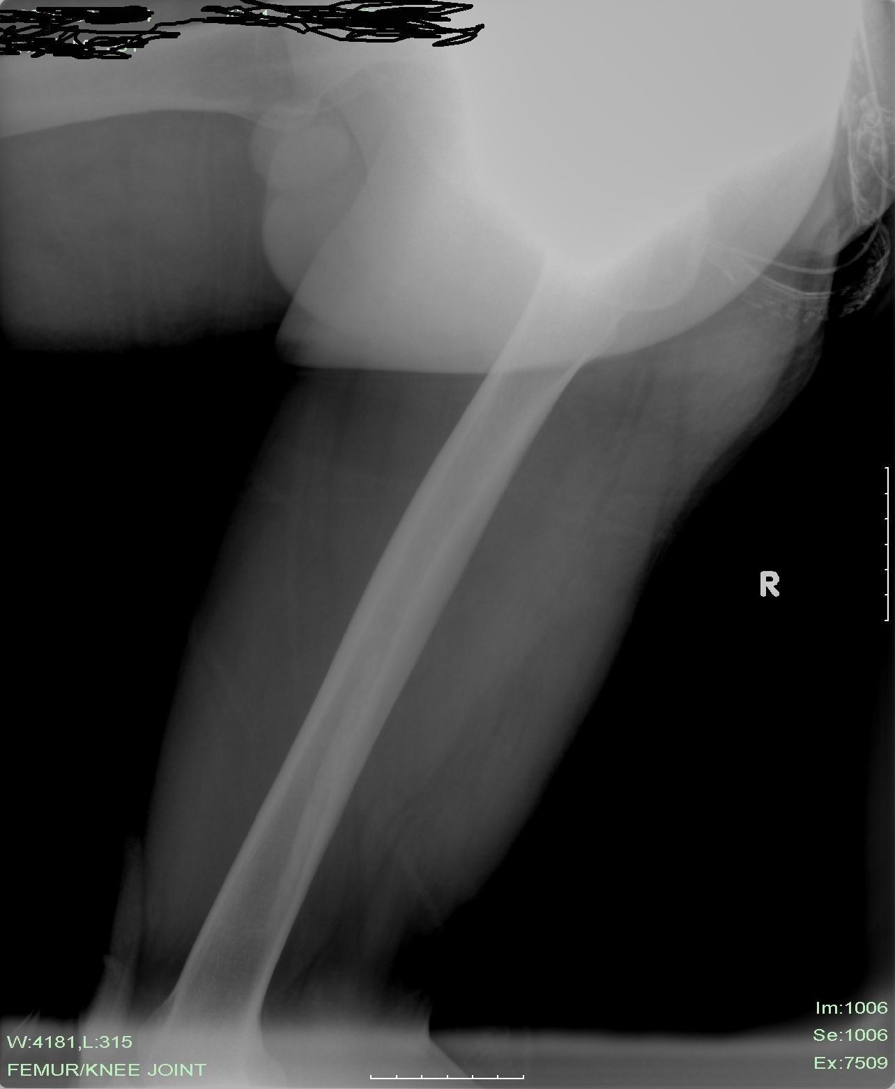
标题: X5404:右大腿突发疼痛3天,查无特殊。我看没什么问题,临 [打印本页]

作者: zoufeixiang    时间: 2009-3-4 07:47
标题: X5404:右大腿突发疼痛3天,查无特殊。我看没什么问题,临




[本贴已被 jiajie 于 2009-3-4 8:50:26 修改过]

作者: 清晨的小雨    时间: 2009-3-4 07:56
未见明显异常
作者: kaisar    时间: 2009-3-4 09:10
未见明显异常
作者: zsl6918    时间: 2009-3-4 15:43
骨质未见异常,建议查椎间盘
作者: 随光逐影    时间: 2009-3-4 16:33
未见明确异常。
作者: 黑白光影    时间: 2009-3-4 16:57
临床的说有问题是对的,因为患者右大腿疼痛。我们平片所及的没见有问题,此问题该临床开动脑筋继续找。
作者: 余辉    时间: 2009-3-4 17:07
未见明确异常
作者: 592438394    时间: 2009-3-4 17:16
未见明确异常  
   

余辉说
作者: xizhong    时间: 2009-3-4 17:17
未见明确异常
作者: 肖永霞    时间: 2009-3-4 17:41
未见异常。
作者: ljj88    时间: 2009-3-4 18:00
未见明确异常
作者: GUDU医生    时间: 2009-3-4 18:03
未见异常
作者: zhangkening    时间: 2009-3-4 18:06
我认为没有什么问题。
作者: 杀毒软件    时间: 2009-3-4 18:08
未见明确异常
作者: huang1111    时间: 2009-3-4 18:48
未见明显异常
作者: xupengjie    时间: 2009-3-4 18:55
未见明显异常
作者: songyi    时间: 2009-3-4 19:08
未见明确异常
作者: shiqingfa    时间: 2009-3-4 20:44
未见明确异常
作者: 刘立龙    时间: 2009-3-4 21:18
正常
作者: dianzi    时间: 2009-3-4 21:25
未见明显异常
作者: huqi8888    时间: 2009-3-4 23:41
未见明显异常
作者: ganeng.2008    时间: 2009-3-4 23:52
未见明确异常
作者: dengkai    时间: 2009-3-5 00:33
未见明确异常。
作者: 天亮时晚安    时间: 2009-3-5 01:44
未见明显异常。
作者: 宇宙CT    时间: 2009-3-5 04:29
骨质未见异常,建议查椎间盘
作者: zhanggenliang    时间: 2009-3-5 04:49
未见明显异常改变
作者: 光影相伴    时间: 2009-3-5 05:12
未见明确异常。
作者: 伍星    时间: 2009-3-5 05:51
未见明确异常
作者: 拾荒者    时间: 2009-3-5 06:16
应该是平片未见异常;临床说有问题是因为病人有疼痛,可进一步检查。
作者: 寻芳者    时间: 2009-3-5 06:21
患者多大了????????-----------看看腰椎!!!!
作者: ○┢┦aΡ    时间: 2009-3-5 07:32
x片未见明显异常,做进一步检查和考虑软组织病变~
作者: 医盲    时间: 2009-3-5 17:29
目前未见明显异常,建议定期复查。
作者: clinux98    时间: 2009-3-5 17:44
未见明显异常征象。
作者: wangyong1977    时间: 2009-3-5 18:51
未见明确异常
作者: shr03623    时间: 2009-3-5 20:17
建议检查腰椎平片
作者: gaoyang8    时间: 2009-3-5 20:52
未见明显异常
作者: qxhxf    时间: 2009-3-5 22:03
未见描写异常
作者: kaisar    时间: 2009-3-6 04:11
未见明显异常
作者: 宋定川    时间: 2009-3-6 04:16
(-)
作者: hexue    时间: 2009-3-6 07:46
未见明显异常
作者: AV195    时间: 2009-3-13 05:38
未见异常临床所说的有问题是针对x光片吗?
作者: 513ytb    时间: 2009-6-26 15:09
未见明确异常 。
作者: shibing    时间: 2014-7-14 14:48
未见明显异常




欢迎光临 医影在线 (http://bbs.radida.com/bbs/) Powered by Discuz! X3.2