


















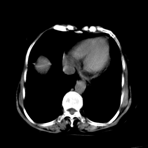
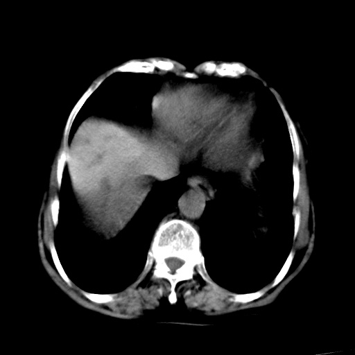
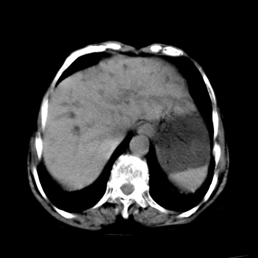
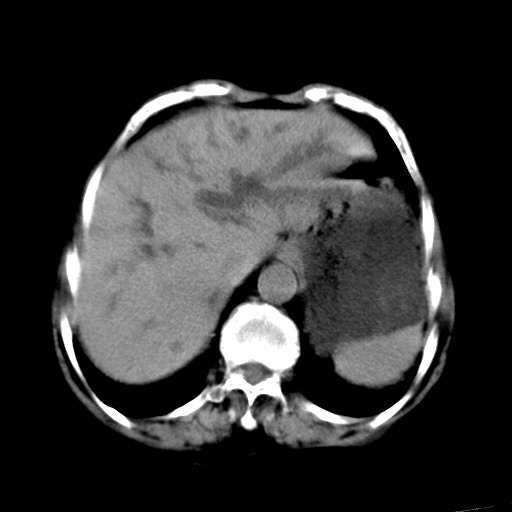
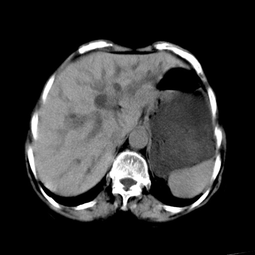
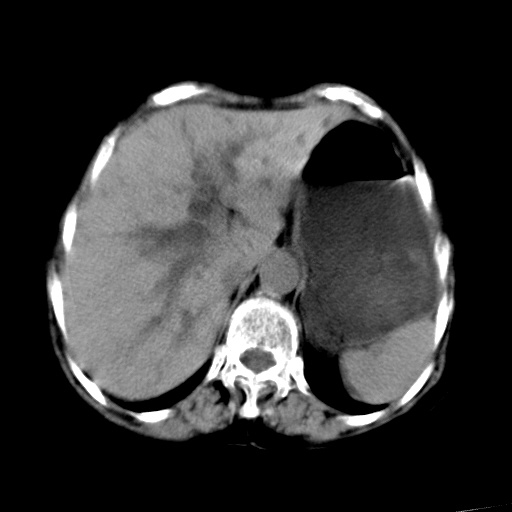
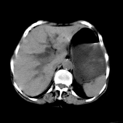
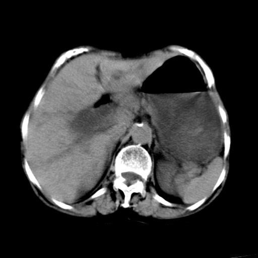
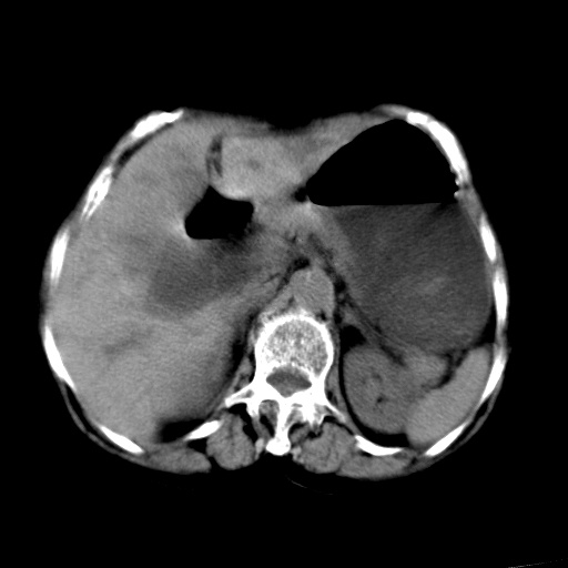
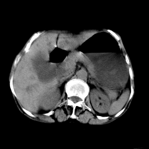
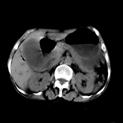
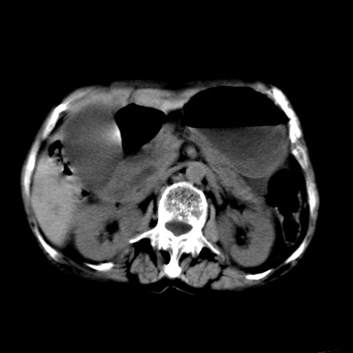
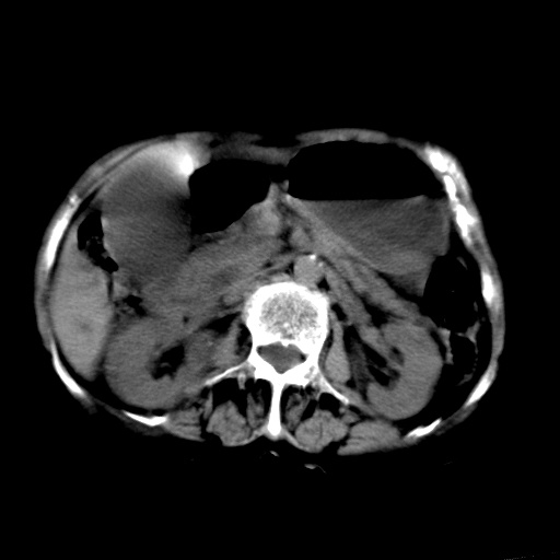
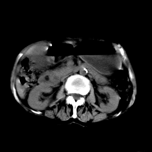
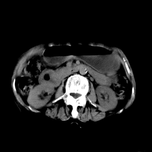
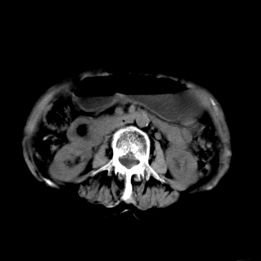
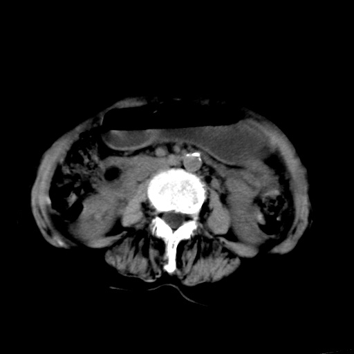
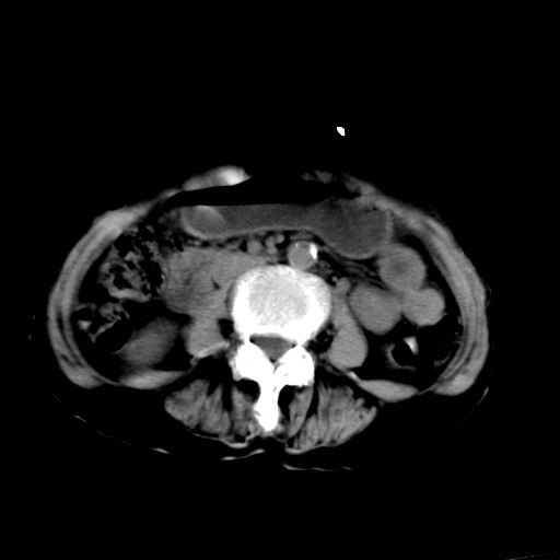
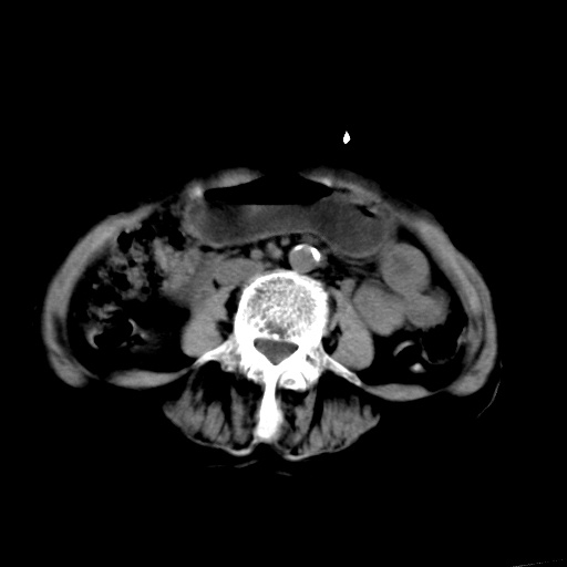
以下是引用杀毒软件在2009-3-4 17:38:00的发言:[br]为何没有喝照影剂呀? 胆总管及肝内胆管扩张,增强吧。[br][br]考虑-----十二指肠占位----建议----十二指肠镜检查[br][br]
以下是引用jiangjing在2009-3-4 17:45:00的发言:[br]低位胆道梗阻。十二指肠降段局部管壁增厚。扫描效果不理想,建议ct增强及ercp。
以下是引用杀毒软件在2009-3-4 17:38:00的发言:[br]为何没有喝照影剂呀? 胆总管及肝内胆管扩张,。增强吧。[br][br]考虑-----十二指肠占位----建议----十二指肠镜检查[br][br][br][br][本贴已被 杀毒软件 于 2009-3-4 17:56:38 修改过]
| 欢迎光临 医影在线 (http://bbs.radida.com/bbs/) | Powered by Discuz! X3.2 |