医影在线
标题: PED1779:左侧锁骨下方异常密度影 请指教 [打印本页]
作者: sl789 时间: 2009-3-6 02:18
标题: PED1779:左侧锁骨下方异常密度影 请指教
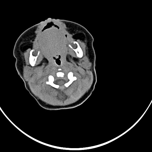
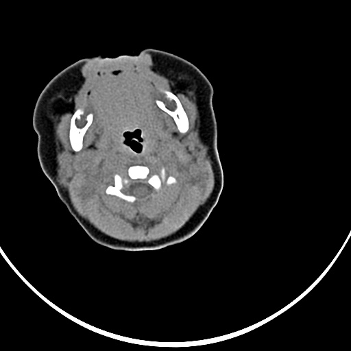
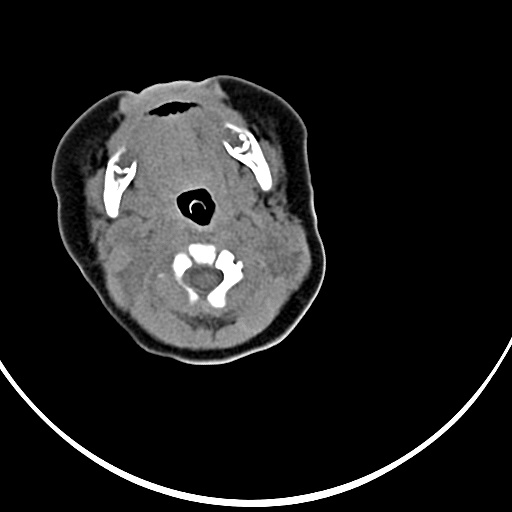
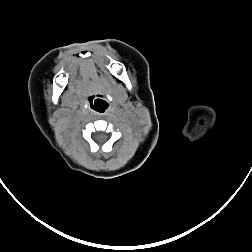
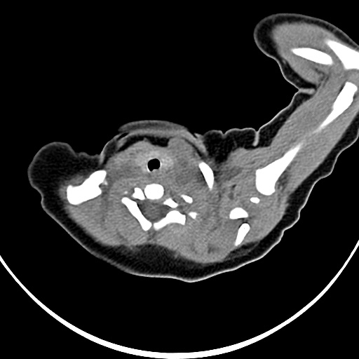
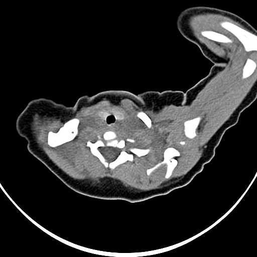
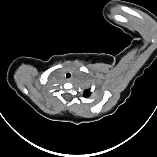
患者,男,1月,出生后一月,无明显诱因出现颈部左前方肿块。体检:左侧颈部轻度凸起包块,触之较硬。



















[本贴已被 翁志蓬 于 2009-3-5 22:16:26 修改过]
[本贴已被 sl789 于 2009-3-6 12:19:11 修改过]
[本贴已被 sl789 于 2009-3-6 12:19:56 修改过]
[本贴已被 翁志蓬 于 2009-3-6 23:43:56 修改过]
作者: 随光逐影 时间: 2009-3-6 02:21
考虑淋巴水瘤。
作者: 杀毒软件 时间: 2009-3-6 02:34
考虑-----左腮腺混合瘤
作者: 光影相伴 时间: 2009-3-6 02:37
考虑淋巴水瘤。
作者: xulianj 时间: 2009-3-6 03:55
建议增强!淋巴水瘤或转移瘤可能。
作者: 黑白光影 时间: 2009-3-6 04:55
考虑淋巴水瘤。
作者: hg7503847 时间: 2009-3-6 05:00
我个人认为倾向于淋巴瘤可能性大,不过下颌骨体部好象是线形骨折还是骨骺,能否告诉我病人的年龄,我觉得好象是小孩
作者: dengkai 时间: 2009-3-6 05:14
考虑:淋巴瘤
作者: zsl6918 时间: 2009-3-6 07:07
淋巴管囊肿可能性大
作者: sl789 时间: 2009-3-6 18:35
患者,男,1月,左经部轻度凸起包块,质硬。
作者: haha215315 时间: 2009-3-6 19:59
淋巴瘤。
作者: wzr 时间: 2009-3-7 03:38
淋巴管囊肿可能性大
作者: 拾荒者 时间: 2009-3-7 04:04
病灶与左侧胸锁乳突肌分界不清,软组织密度,不似囊性改变,从病人的年龄及病变性状首先要除外先天性斜颈(肌性斜颈)可能。
作者: 祥云 时间: 2009-3-7 04:30
左侧胸锁乳突肌肿大,考虑产伤所致
作者: dyqct 时间: 2009-3-8 00:57
考虑淋巴水瘤。建议mri
作者: 王仕学 时间: 2009-3-8 04:07
考虑淋巴水瘤。
作者: hguox 时间: 2009-3-8 04:10
考虑淋巴水瘤
作者: scdlc2008 时间: 2009-3-9 19:38
考虑淋巴管瘤
作者: xizhong 时间: 2009-3-10 00:16
胸锁乳突肌挛缩(斜颈)?
| 欢迎光临 医影在线 (http://bbs.radida.com/bbs/) |
Powered by Discuz! X3.2 |