医影在线

标题: CT18507:大腿下部软组织肿块 [打印本页]

作者: QIAN    时间: 2009-3-6 03:00
标题: CT18507:大腿下部软组织肿块
(结果公布:http://www.radida.com/bbs/forum.php?mod=viewthread&tid=50951
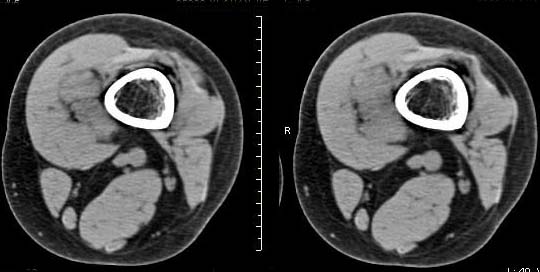
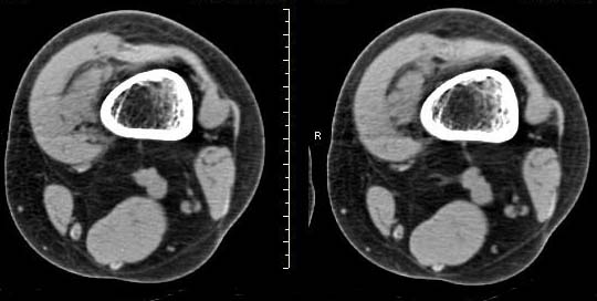
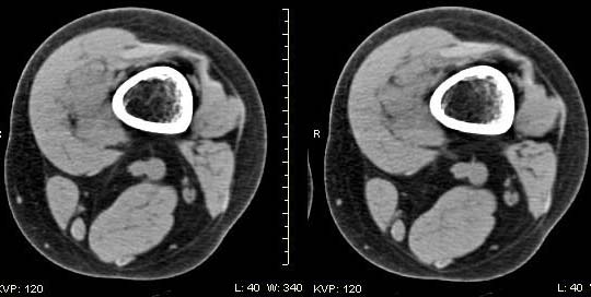
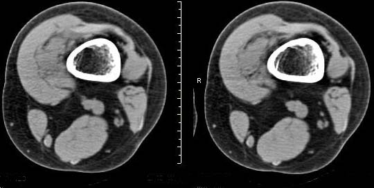
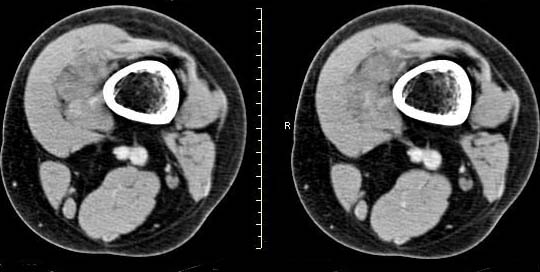
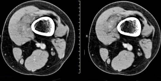
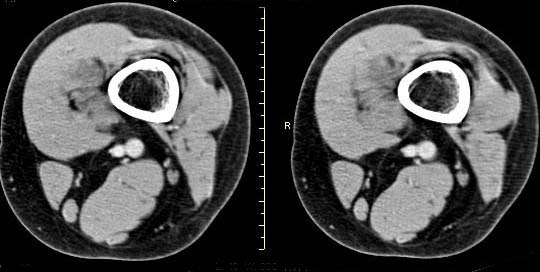
女,24岁,左大腿下部近膝关节处偏内侧有一软组织包块,触之有压痛,平扫示病灶密度不均,形态及轮廓欠规则,无包膜,与周围组织界限不清,增强后显示有明显强化且不均匀强化,本人考虑为该软组织肿块为恶性病变。请大家发表高见!











[本贴已被 jiajie 于 2009-3-19 9:00:14 修改过]

作者: 道哥    时间: 2009-3-6 03:44
首先考虑肌源性肿瘤,恶性可能性大,横纹肌肉瘤!有待病理证实!
作者: 随光逐影    时间: 2009-3-6 03:55
考虑左大腿下部内侧肌源性恶性肿瘤(恶性纤维组织细胞瘤?)。
作者: hg7503847    时间: 2009-3-6 04:47
骨质好象并没有什么变化,只是软组织肿块,
作者: pujunzhi    时间: 2009-3-6 04:51
标题: 回复:大腿下部软组织肿块
以下是引用随光逐影在2009-3-5 19:55:00的发言:[br]考虑左大腿下部内侧肌源性恶性肿瘤(恶性纤维组织细胞瘤?)。

作者: xulianj    时间: 2009-3-6 04:57
支持
作者: 无间道    时间: 2009-3-6 05:03
标题: 回复:大腿下部软组织肿块
以下是引用道哥在2009-3-5 19:44:00的发言:[br]首先考虑肌源性肿瘤,恶性可能性大,横纹肌肉瘤!有待病理证实!

作者: 黑白光影    时间: 2009-3-6 05:15
考虑左大腿下部内侧肌源性恶性肿瘤。
作者: dengkai    时间: 2009-3-6 05:16
考虑左大腿下部内侧肌源性恶性肿瘤(恶性纤维组织细胞瘤?)。
作者: jiangdy    时间: 2009-3-6 05:46
支持楼上。
作者: zsl6918    时间: 2009-3-6 05:52
病灶是有不均匀强化,但病灶与周围组织分界较清,所以性质难定。
作者: zsl6918    时间: 2009-3-6 05:54
病灶是有不均匀强化,但病灶与周围组织分界较清,所以性质难定。
作者: 杀毒软件    时间: 2009-3-6 06:47
标题: 回复:ct18507:大腿下部软组织肿块
以下是引用黑白光影在2009-3-5 21:15:00的发言:[br]考虑左大腿下部内侧肌源性恶性肿瘤。

病理吧
作者: 伍星    时间: 2009-3-6 07:14
病灶是有不均匀强化,但病灶与周围组织分界较清,恶性可能。
作者: ayi    时间: 2009-3-6 08:30
考虑左大腿软组织恶性肿瘤(恶性纤维组织细胞瘤?),建议mri。
作者: 卜一    时间: 2009-3-6 14:05
病灶是有不均匀强化,但病灶与周围组织分界较清,所以性质难定。支持!建议穿刺活检!
作者: zhw974247    时间: 2009-3-6 14:22
考虑左大腿下部内侧肌源性恶性肿瘤。
作者: muzi888    时间: 2009-3-6 17:15
支持楼上。
作者: 深泽交通    时间: 2009-3-6 17:45
标题: 回复:ct18507:大腿下部软组织肿块
以下是引用道哥在2009-3-5 19:44:00的发言:[br]首先考虑肌源性肿瘤,恶性可能性大,横纹肌肉瘤!有待病理证实!

作者: xizhong    时间: 2009-3-6 18:07
建议穿刺活检!
作者: jiangjing    时间: 2009-3-6 18:23
病灶是有不均匀强化,但病灶与周围组织分界较清,所以性质难定。
作者: qian    时间: 2009-3-19 15:23
病理结果:血管瘤。
看病理:http://www.radida.com/radinet/read.php?tid=50951
作者: 杀毒软件    时间: 2009-3-19 19:43
学习了
作者: songyi    时间: 2009-3-19 21:14
谢谢楼主反馈,学习了。
作者: 清晨的小雨    时间: 2009-3-19 23:10
学习了
作者: 随光逐影    时间: 2009-3-20 01:08
病理结果:血管瘤。
感谢楼主反馈术后病理结果,学习了。
作者: 道哥    时间: 2009-3-20 04:03
感谢楼主反馈术后病理结果,学习了。
作者: 黑白光影    时间: 2009-3-20 04:29
病理结果:血管瘤。
感谢楼主反馈术后病理结果,学习了。
作者: 拾荒者    时间: 2009-3-20 05:03
病理结果:血管瘤。
感谢楼主反馈术后病理结果,学习了!
作者: 影像孺子牛    时间: 2009-3-21 06:18
结果收到,学习了,谢谢  。
作者: 寻芳者    时间: 2009-3-21 07:02
感谢术后病理结果,学习了------------------
作者: 王2008    时间: 2009-3-22 01:44
谢谢楼主反馈,学习了。
作者: 余辉    时间: 2009-3-22 01:47
学习了
作者: yixianman001011    时间: 2009-3-22 05:23
考虑来源于间叶源性肿瘤,倾向良性
作者: 513ytb    时间: 2009-6-29 08:04
血管瘤,增强延迟扫描。
作者: dlwcz    时间: 2010-1-31 01:27
非常遗憾,我们的ct板块就是ct的内容,没有把mri图像有机地结合起来,其实很多骨与关节病变,特别是肢体软组织的病变mri还是相当有意义的。
作者: dr.yang    时间: 2013-4-7 19:19
没人总结一下呀,为什么大家都错了!!




欢迎光临 医影在线 (http://bbs.radida.com/bbs/) Powered by Discuz! X3.2