医影在线

标题: CT18511:慢性咳嗽3月余。 [打印本页]

作者: 影像孺子牛    时间: 2009-3-6 06:57
标题: CT18511:慢性咳嗽3月余。
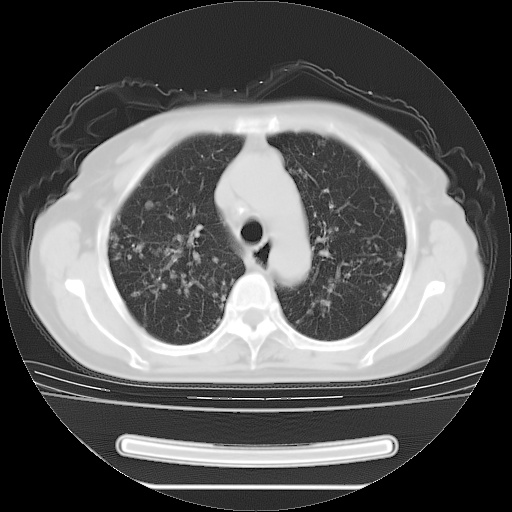
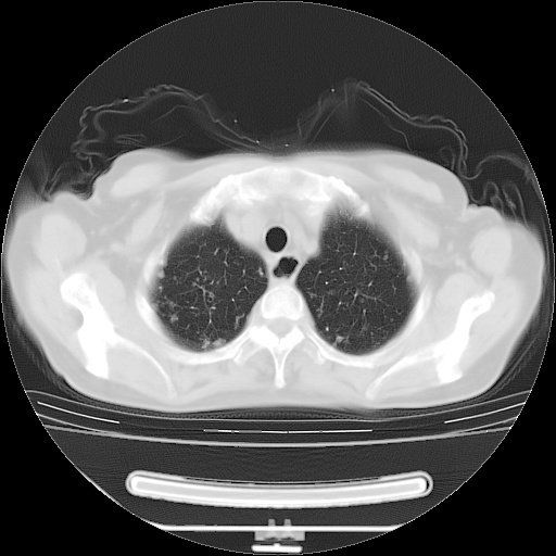
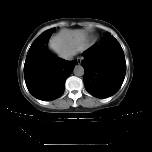
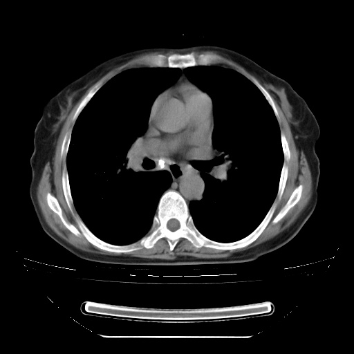
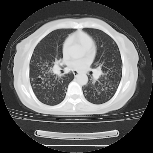
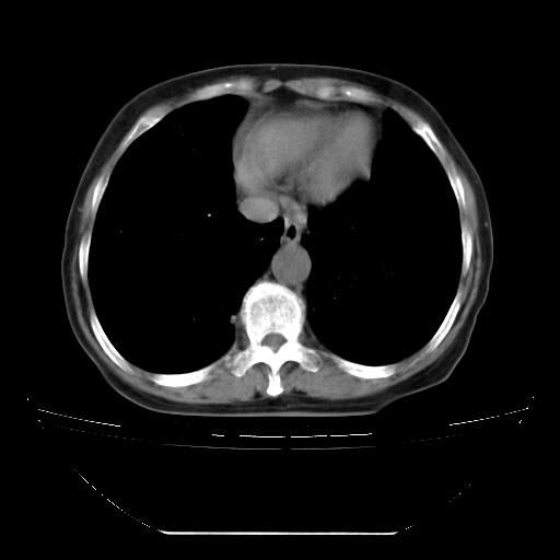
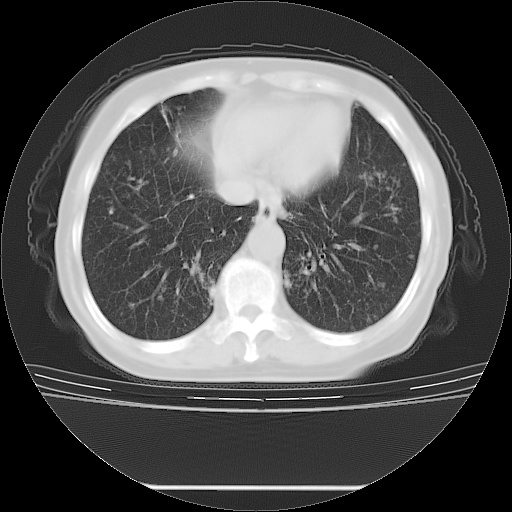
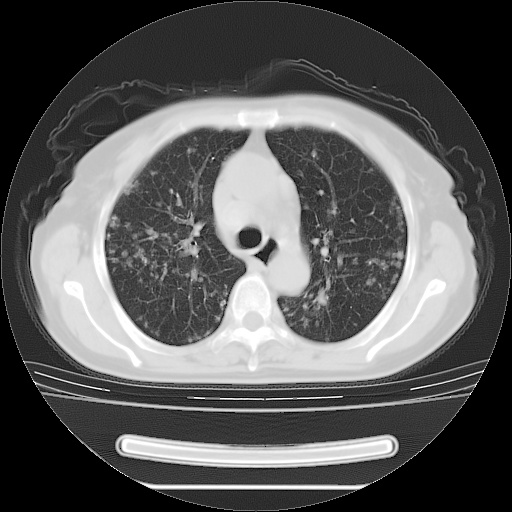
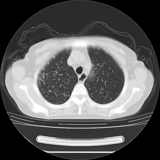
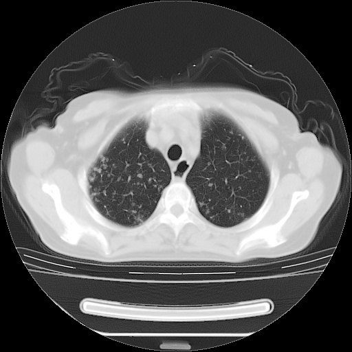
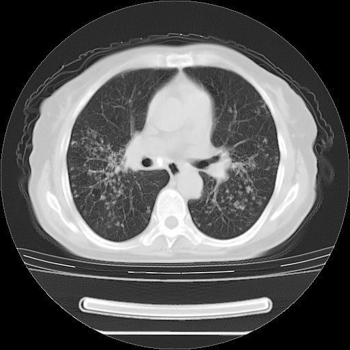
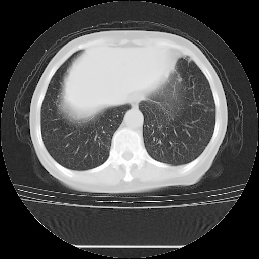
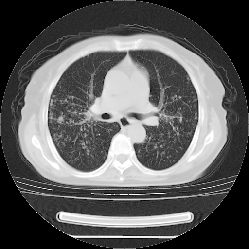
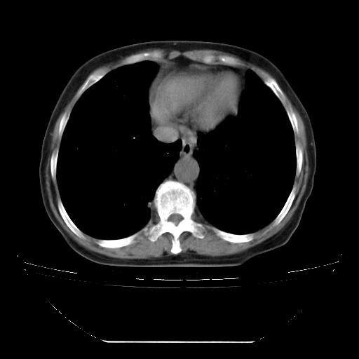
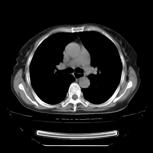
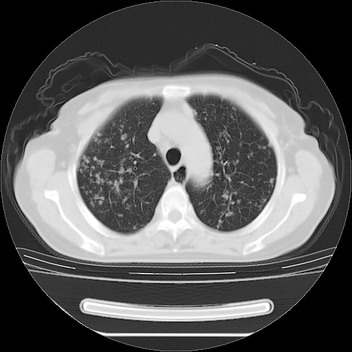
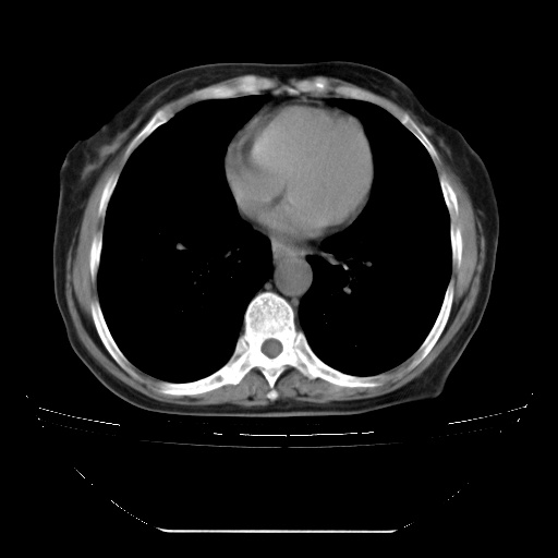
患者女性,72岁,慢性咳嗽3月余,曾抗炎治疗无效果,最近抗结核治疗约半月余,症状缓解。
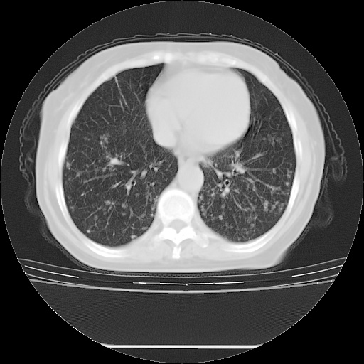
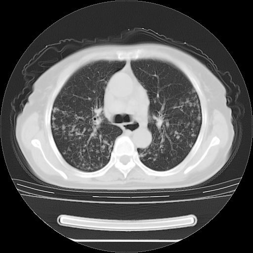
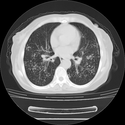
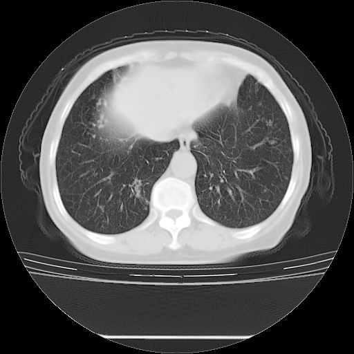
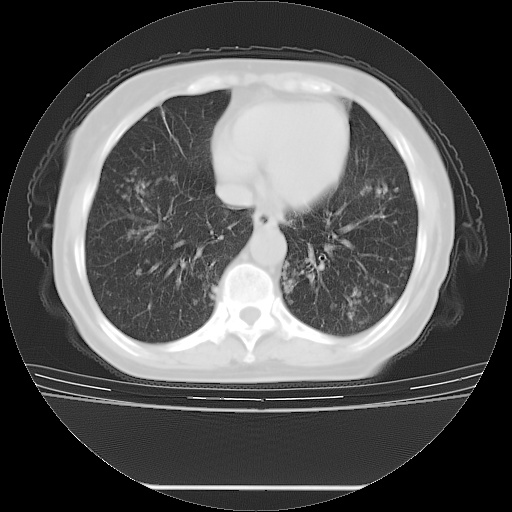
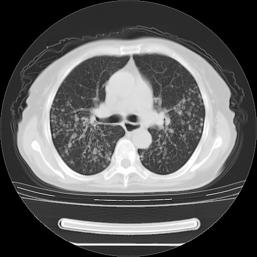
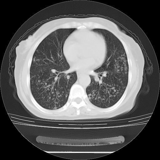
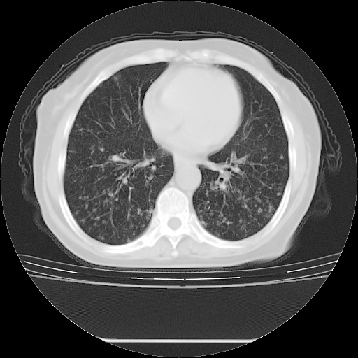
ct示两肺粟粒状病灶,以两肺上叶尖后段及下叶背段分布为主;首先考虑结核。请战友们分析。











































[本贴已被 jiajie 于 2009-3-5 23:10:40 修改过]

作者: zsl6918    时间: 2009-3-6 07:00
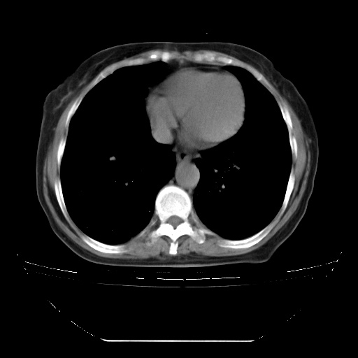
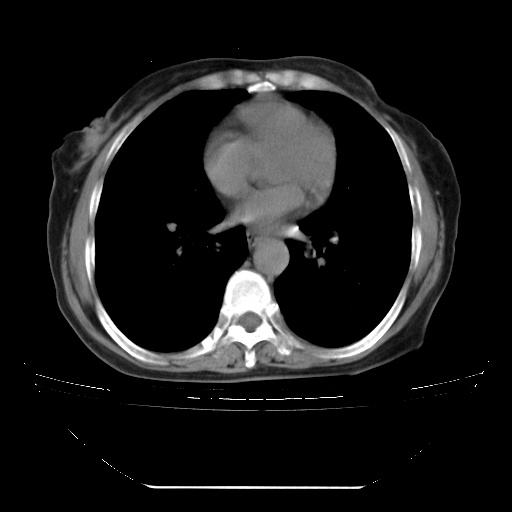
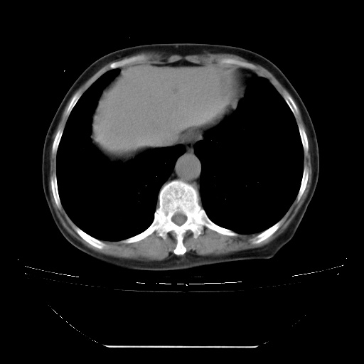
查原发灶吧,肺内转移瘤!肝内也有病灶,需强化明确。
作者: wxn112233    时间: 2009-3-6 07:08
考虑 1 弥漫性泛细支气管炎, 2 结核不除外/.  有小叶中心结节 和 树芽征!!
作者: wxn112233    时间: 2009-3-6 07:10
貌似还有融合趋势..肺泡ca,也可能!
作者: dr.yang    时间: 2009-3-6 08:02
标题: 回复:ct18511:慢性咳嗽3月余。
以下是引用zsl6918在2009-3-5 23:00:00的发言:[br]查原发灶吧,肺内转移瘤!肝内也有病灶,需强化明确。

作者: qian    时间: 2009-3-6 08:05
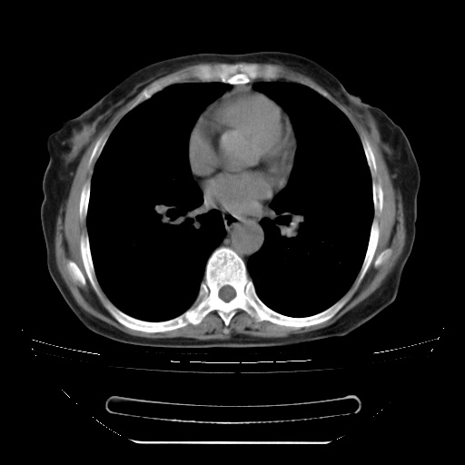
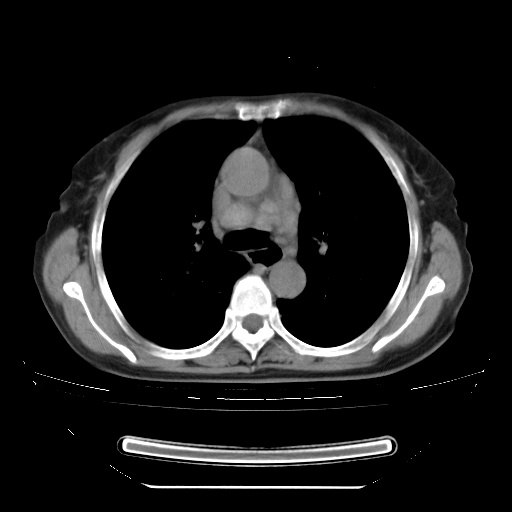
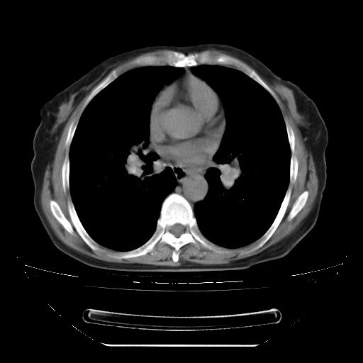
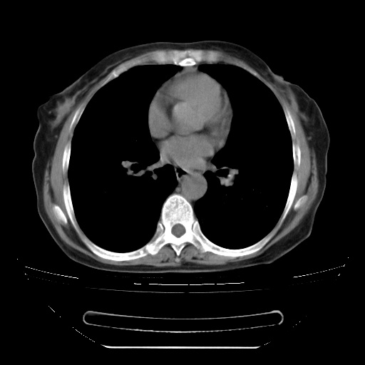
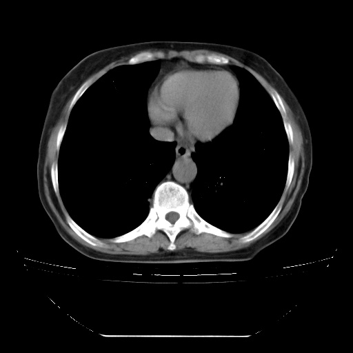
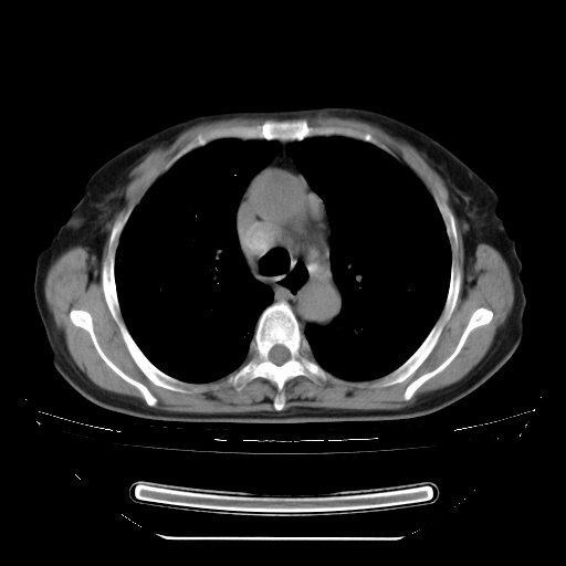
两肺内病灶呈小结节状和树芽状,纵膈的肿大的淋巴结密度不均匀,并见有钙化,考虑为两肺结核可能更大些。
作者: 卜一    时间: 2009-3-6 14:17
支持结核播散!
作者: zhw974247    时间: 2009-3-6 14:25
两肺内病灶呈小结节状和树芽状,纵膈的肿大的淋巴结密度不均匀,并见有钙化,多形态病灶,考虑为两肺结核,肝内考虑小囊肿。
作者: SOS.LA    时间: 2009-3-6 14:48
增殖性多发性病灶,大小不一,分布不均匀,发生于肺泡中,纵隔淋巴结肿大其内有钙化,诊断:细支气管肺泡癌,
作者: 随光逐影    时间: 2009-3-6 15:43
考虑两肺播散性肺结核,纵隔淋巴结结核。
作者: LIAOQIANG    时间: 2009-3-6 15:59
支持考虑肺结核。
作者: muzi888    时间: 2009-3-6 16:33
两肺内病灶呈小结节状和树芽状,纵膈的肿大的淋巴结密度不均匀,并见有钙化,考虑为两肺结核可能更大些。
作者: wangyong1977    时间: 2009-3-6 17:02
考虑两肺播散性肺结核,纵隔淋巴结结核。
作者: 深泽交通    时间: 2009-3-6 17:29
可能的诊断。亚及血播tb;转移瘤;肺泡癌
作者: jiangjing    时间: 2009-3-6 17:57
病灶以结节为主,大部分边界清楚,分布不均,病灶形态较单一,偶见空泡征,纵膈淋巴结肿大钙化,无结核中毒症状考虑 感染性病变【真菌类可能性大】,细支气管肺泡癌。其他待排
作者: gyh6308    时间: 2009-3-6 20:35
片子很好,质量很高,两侧肺门淋巴结肿大并有钙化,两肺弥漫病灶,首先考虑tb并播散,但年龄大了呀(72岁)小细胞肺癌不能除外,如果是肺癌也没什么大的治疗了,建议正规抗结核治疗后复查
作者: 小初学者    时间: 2009-3-6 20:39
考虑转移瘤
作者: dengkai    时间: 2009-3-6 20:49
两肺内病灶呈小结节状和树芽状,纵膈的肿大的淋巴结密度不均匀,并见有钙化,结合(曾抗炎治疗无效果,最近抗结核治疗约半月余,症状缓解。)
考虑为两肺结核可能更大些。
作者: guan    时间: 2009-3-6 21:05
支持亚急型粟粒性结核
作者: woshiren    时间: 2009-3-6 23:49
纵隔见肿大淋巴结并钙化,首先考虑结核,但感觉小结节像“挂果”征,分布位于支气管边缘,所以不排外肺泡癌,建议抗唠后复查吧?不然是癌的话,也不好治吧?化疗?
作者: hszhoupeng    时间: 2009-3-7 01:07
转移瘤吧!查原发灶
作者: 黑白光影    时间: 2009-3-7 04:33
考虑两肺播散性肺结核(亚型),纵隔淋巴结结核。
作者: dyqct    时间: 2009-3-8 04:56
标题: 回复:ct18511:慢性咳嗽3月余。
以下是引用zhw974247在2009-3-6 6:25:00的发言:[br]两肺内病灶呈小结节状和树芽状,纵膈的肿大的淋巴结密度不均匀,并见有钙化,多形态病灶,考虑为两肺结核,肝内考虑小囊肿。

作者: xiongzhi741621    时间: 2009-3-8 08:47
1两肺结核
2 肺泡癌
3 转移瘤
建议增强
作者: 薛    时间: 2009-3-11 07:09
细支气管肺泡癌,
作者: 晓杰    时间: 2009-3-13 18:57
考虑两肺播散性肺结核




欢迎光临 医影在线 (http://bbs.radida.com/bbs/) Powered by Discuz! X3.2