医影在线

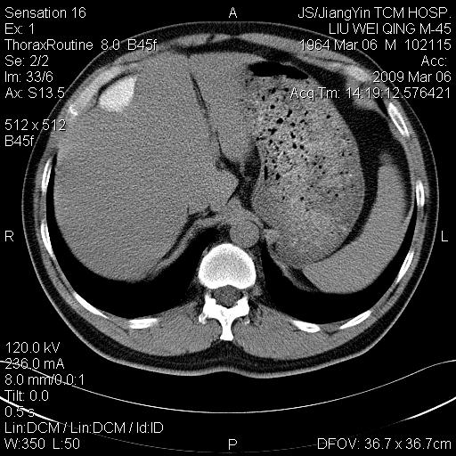
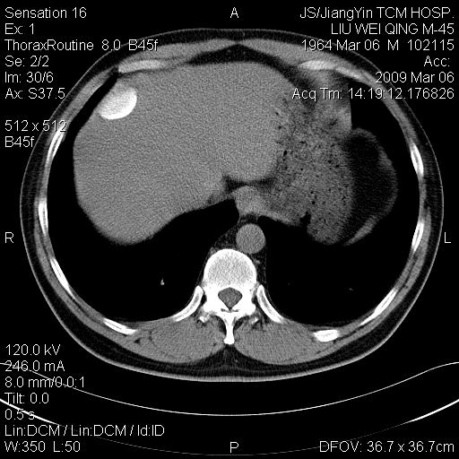
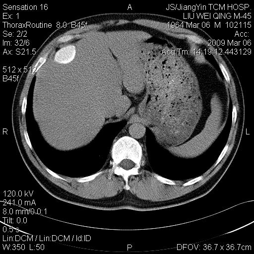
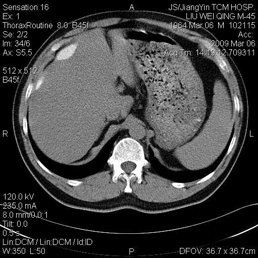
标题: CT18518:胸部扫描时发现肝边缘钙体影。请问是韧带钙化吗? [打印本页]

作者: 江尾海头    时间: 2009-3-6 23:48
标题: CT18518:胸部扫描时发现肝边缘钙体影。请问是韧带钙化吗?










[本贴已被 jiajie 于 2009-3-6 17:55:05 修改过]

作者: huenhao    时间: 2009-3-7 00:48
没见过。考虑肝内钙化,不象韧带钙化。
作者: dengkai    时间: 2009-3-7 01:06
考虑肝内右外侧缘两处钙化,原因呢?(血管病变或其它)
作者: 随光逐影    时间: 2009-3-7 03:15
考虑肝包膜下陈旧性包裹性积液。
作者: 杀毒软件    时间: 2009-3-7 03:24
考虑---局限性腹腔积液〔钙乳性〕。    一般多为炎症刺激造成局部钙乳沉着所致。
作者: xulianj    时间: 2009-3-7 04:44
支持考虑肝包膜下陈旧性包裹性积液。
作者: 黑白光影    时间: 2009-3-7 04:51
标题: 回复:ct18518:胸部扫描时发现肝边缘钙体影。请问是韧带钙
以下是引用杀毒软件在2009-3-6 19:24:00的发言:[br]考虑---局限性腹腔积液〔钙乳性〕。    一般多为炎症刺激造成局部钙乳沉着所致。

作者: zsl6918    时间: 2009-3-7 18:41
考虑肝包膜下钙化
作者: 光影相伴    时间: 2009-3-8 02:58
考虑肝包膜下钙化.
作者: dyqct    时间: 2009-3-8 04:46
标题: 回复:ct18518:胸部扫描时发现肝边缘钙体影。请问是韧带钙
以下是引用xulianj在2009-3-6 20:44:00的发言:[br]支持考虑肝包膜下陈旧性包裹性积液。

支持!




欢迎光临 医影在线 (http://bbs.radida.com/bbs/) Powered by Discuz! X3.2