







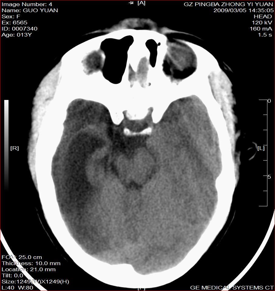
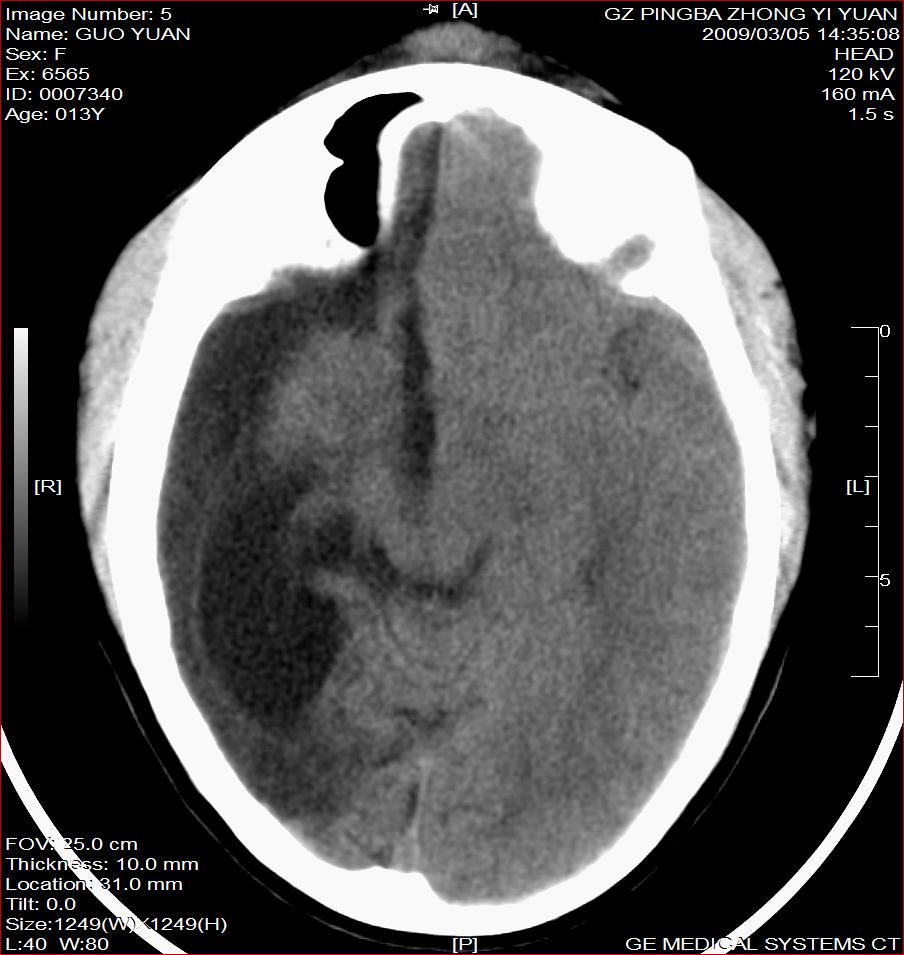
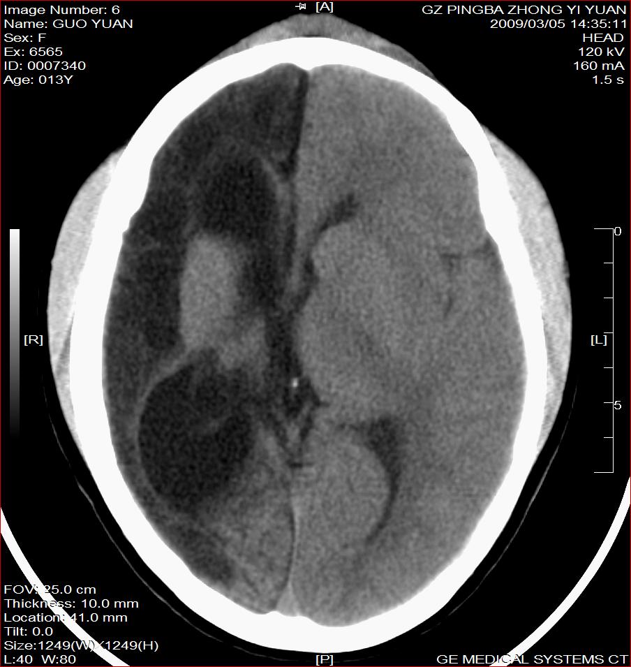
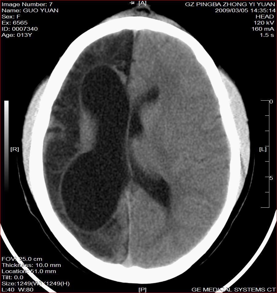
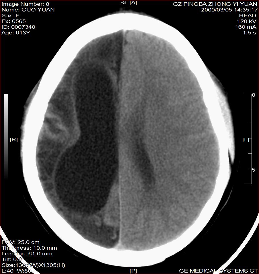
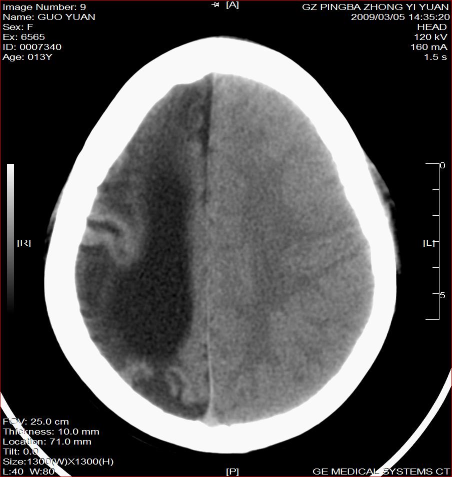
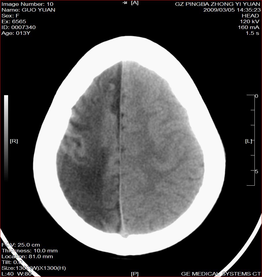
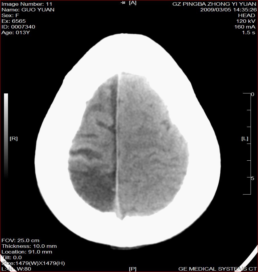
以下是引用杀毒软件在2009-3-6 17:32:00的发言:[br]右侧额颞顶部脑沟裂增宽,颞顶部楔形稍低密度影,侧脑室体部明显增宽,余脑实质内未见异常,中线结构居中。[br][br]考虑---右侧大脑半球发育不良并脑沟裂发育畸型可能性大
以下是引用随光逐影在2009-3-6 18:35:00的发言:[br]1)考虑右侧幕上半球发育不良并脑软化灶。2)双侧额部头皮软组织肿胀。
以下是引用随光逐影在2009-3-6 18:35:00的发言:[br]1)考虑右侧幕上半球发育不良并脑软化灶。2)双侧额部头皮软组织肿胀。
| 欢迎光临 医影在线 (http://bbs.radida.com/bbs/) | Powered by Discuz! X3.2 |