医影在线
标题: CT18521:左大腿疼痛不适1+月 [打印本页]
作者: cht177 时间: 2009-3-7 01:22
标题: CT18521:左大腿疼痛不适1+月











[本贴已被 jiajie 于 2009-3-6 17:57:52 修改过]
作者: 杀毒软件 时间: 2009-3-7 02:27
标题: 1
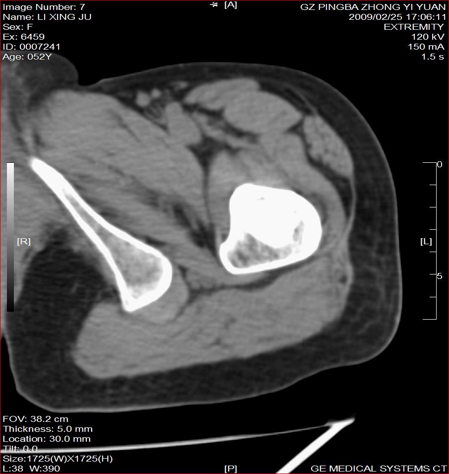
考虑-----股骨骨化性纤维瘤可能性大,不除外---局限性骨纤
[本贴已被 杀毒软件 于 2009-3-6 18:27:27 修改过]
作者: 随光逐影 时间: 2009-3-7 02:38
支持2楼意见。
作者: dengkai 时间: 2009-3-7 02:49
考虑:左股骨骨化性纤维瘤
作者: 沉默是金 时间: 2009-3-7 03:03
考虑:骨纤或骨梗可能性大
作者: 同 时间: 2009-3-7 03:04
考虑 左股骨骨化性纤维瘤。
作者: 医中人 时间: 2009-3-7 03:11
骨梗塞
作者: 祥云 时间: 2009-3-7 03:25
考虑骨化性纤维瘤可能性大
作者: 吃草吐奶 时间: 2009-3-7 03:51
我支持骨纤
作者: xulianj 时间: 2009-3-7 04:45
纤维瘤可能性大
作者: 黑白光影 时间: 2009-3-7 05:03
考虑骨化性纤维瘤可能性大。
作者: zsl6918 时间: 2009-3-7 18:38
良性肿瘤样变
作者: pujunzhi 时间: 2009-3-8 00:12
考虑:左股骨骨化性纤维瘤。
作者: dyqct 时间: 2009-3-8 04:40
支持二楼意见。
| 欢迎光临 医影在线 (http://bbs.radida.com/bbs/) |
Powered by Discuz! X3.2 |