医影在线

标题: MRI2064:少见病例。男性52,视力下降多年。 [打印本页]

作者: xulianj    时间: 2009-3-8 19:00
标题: MRI2064:少见病例。男性52,视力下降多年。

































































[本贴已被 jiajie 于 2009-3-9 9:07:34 修改过]

作者: 余辉    时间: 2009-3-8 19:32
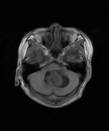
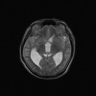
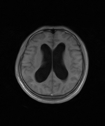
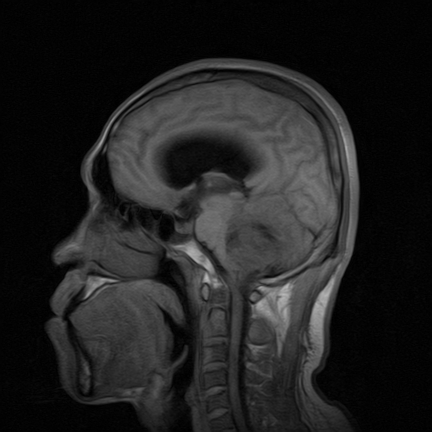
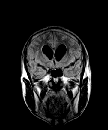
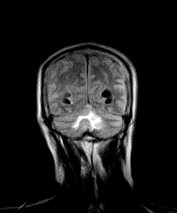
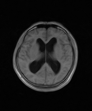
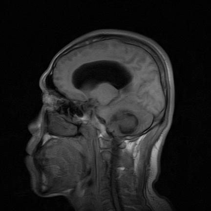
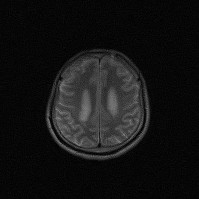
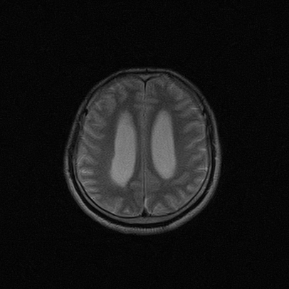
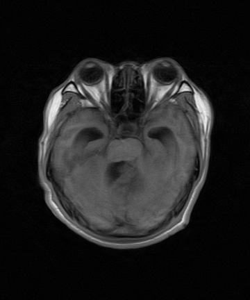
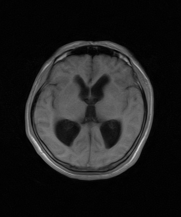
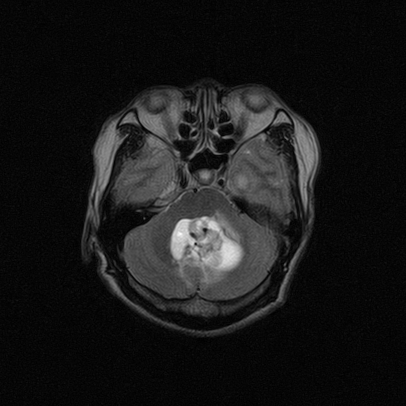
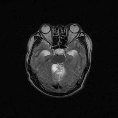
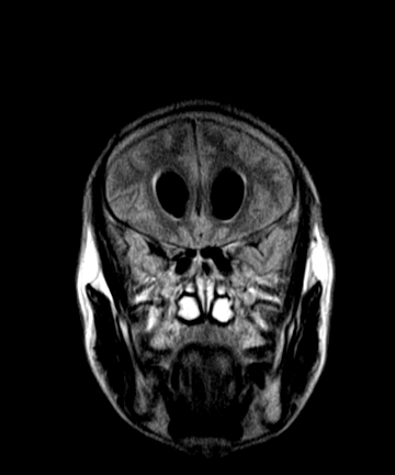
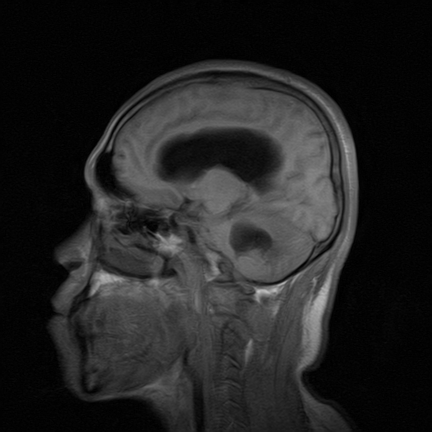
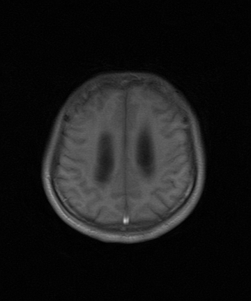
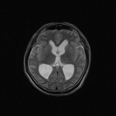
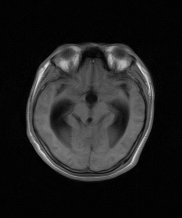
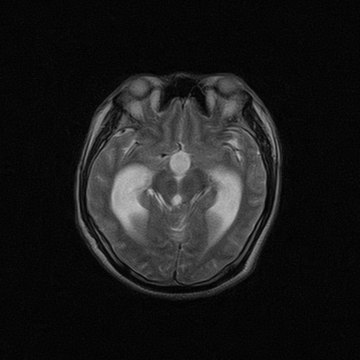
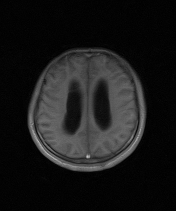
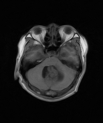
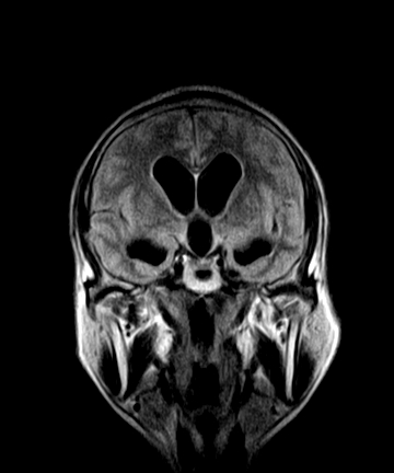
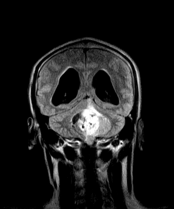
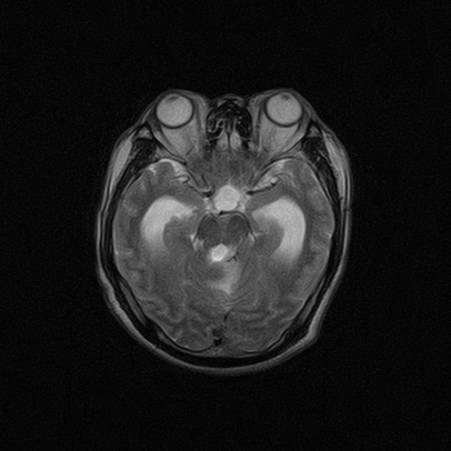
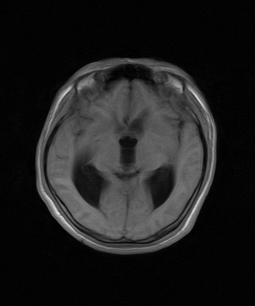
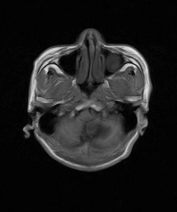
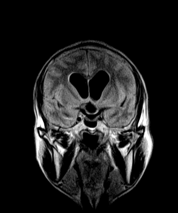
四脑室区见混杂信号占位影,脑室系统扩张明显,临近结构显著受压称位,患者52岁,多考虑室管膜瘤可能性大
作者: 随光逐影    时间: 2009-3-8 19:57
考虑第四脑室室管膜瘤并阻塞性脑积水。
作者: dengkai    时间: 2009-3-8 20:24
考虑第四脑室室管膜瘤并阻塞性脑积水。
作者: 云翔    时间: 2009-3-8 21:53
脉络丛乳头状瘤不除外
作者: huangxinghai    时间: 2009-3-9 01:08
考虑第四脑室室管膜瘤伴脑积水
作者: qiuleiyu    时间: 2009-3-9 03:44
定位;脑室内富血供占位
1,脑室内血管母细胞瘤。
2,pnte。
3,脑膜瘤。
4,室管膜瘤。
作者: 个体医生    时间: 2009-3-9 04:50
应该是来源于小脑蚓部的占位,如血管母细瘤或星形细胞瘤
作者: 黑白光影    时间: 2009-3-9 05:50
考虑第四脑室室管膜瘤并阻塞性脑积水。
作者: ayi    时间: 2009-3-9 08:10
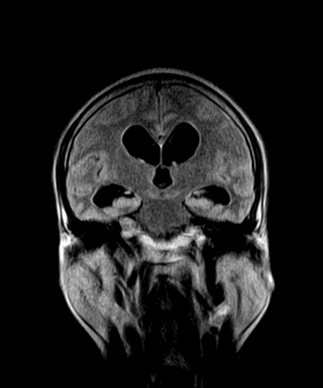
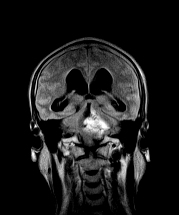
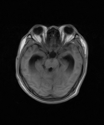
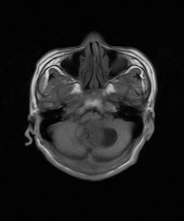
考虑第四脑室室管膜瘤并梗阻性脑积水;部分性空蝶鞍;左侧上颌窦粘膜下囊肿。
作者: dr.yang    时间: 2009-3-9 08:54
加左上颌窦囊肿
作者: 卜一    时间: 2009-3-9 16:21
考虑第四脑室室管膜瘤并梗阻性脑积水;部分性空蝶鞍;左侧上颌窦粘膜下囊肿。  
  
支持!
作者: jiangjing    时间: 2009-3-9 16:50
考虑第四脑室室管膜瘤【血供丰富血管母细胞瘤可能】并梗阻性脑积水;部分性空蝶鞍;左侧上颌窦粘膜下囊肿。
作者: huenhao    时间: 2009-3-9 17:01
第四脑室室管膜瘤并梗阻性脑积水
作者: ssmmxx    时间: 2009-3-9 17:52
考虑第四脑室室管膜瘤【血供丰富血管母细胞瘤可能】并梗阻性脑积水;部分性空蝶鞍;左侧上颌窦粘膜下囊肿。
作者: guanaishengming    时间: 2009-3-10 07:35
考虑第四脑室室管膜瘤并阻塞性脑积水
作者: ZHONGQING1390    时间: 2009-3-10 22:15
请各位帮个忙,介绍一本比较系统、全面的mri书,谢谢!!!!
作者: docgobt103035    时间: 2009-3-11 03:18
考虑第四脑室室管膜瘤并阻塞性脑积水。
作者: pujunzhi    时间: 2009-3-11 06:34
考虑第四脑室肿瘤并阻塞性脑积水,室管膜瘤可能性大。
作者: 影像之路    时间: 2009-3-11 09:20
考虑第四脑室室管膜瘤并梗阻性脑积水;部分性空蝶鞍;左侧上颌窦粘膜下囊肿。
作者: SOS.LA    时间: 2009-3-12 00:49
小脑血管母细胞瘤.并外压性脑积水.
作者: zbp537    时间: 2009-3-12 02:55
1、四脑室肿瘤并并脑积水。考虑室管膜瘤可能性大,脑膜瘤等排。
2、左侧上颌窦及蝶窦囊肿。
作者: 如醉卧风    时间: 2009-3-12 06:19
小脑蚓部胶质脑膜瘤突入四脑室;肿瘤内见血管流空信号和钙化信号.
作者: gaoshengjiang    时间: 2009-3-13 18:21
比较典型的脉络丛乳头状瘤并脑积水,鉴别小脑蚓部血管母细胞瘤。
作者: guanaishengming    时间: 2009-3-13 22:18
考虑第四脑室室管膜瘤伴脑积水
作者: qwerty111    时间: 2009-3-13 23:50
脉络丛乳头状瘤
作者: zyx168    时间: 2009-4-19 04:37
第四脑室室管膜瘤伴脑积水
作者: chinanyd    时间: 2009-4-19 14:29
支持楼上




欢迎光临 医影在线 (http://bbs.radida.com/bbs/) Powered by Discuz! X3.2