医影在线

标题: CT18557:盆腔内包块,请指教 [打印本页]

作者: sl789    时间: 2009-3-9 17:01
标题: CT18557:盆腔内包块,请指教
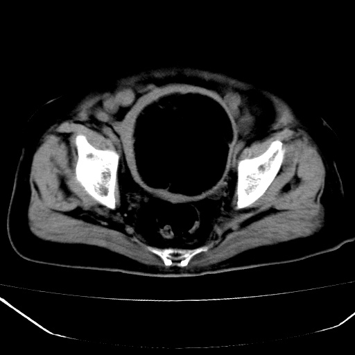
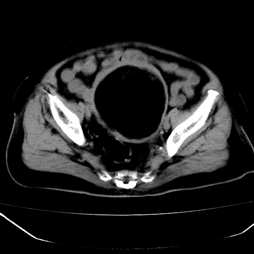
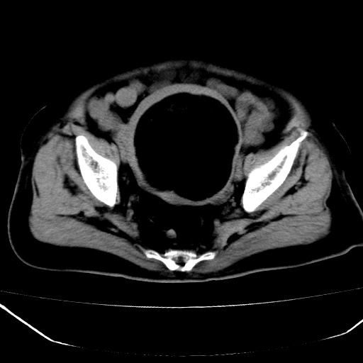
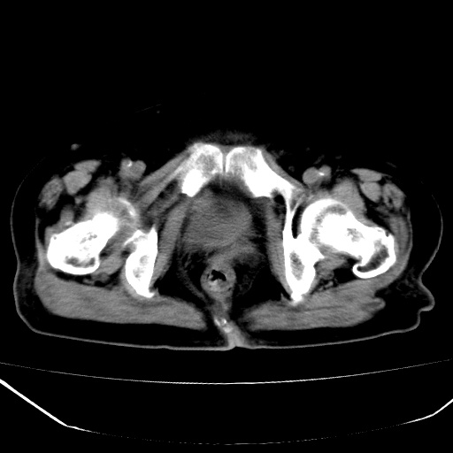
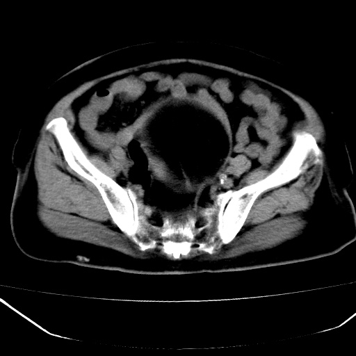
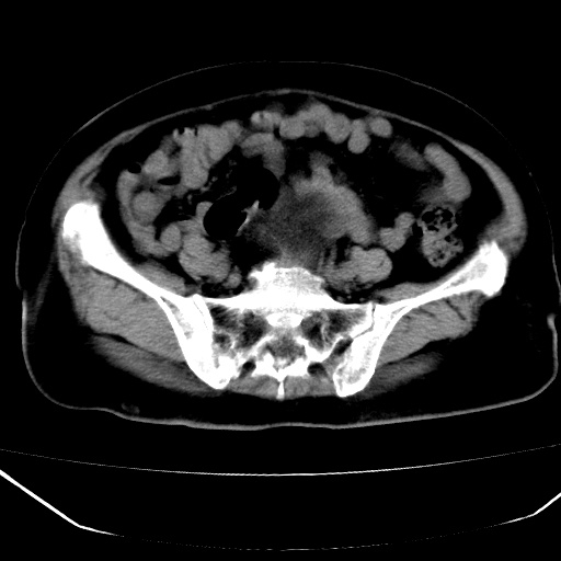
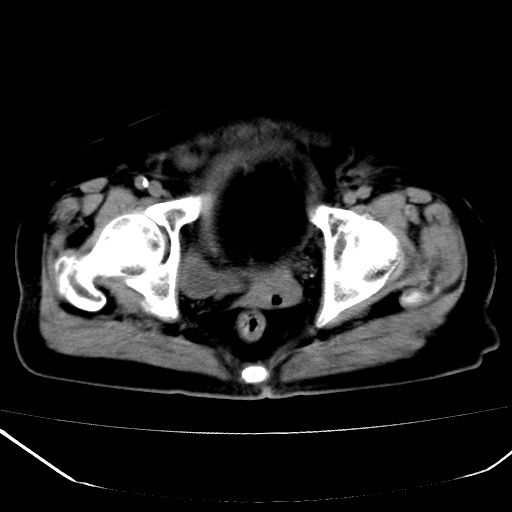
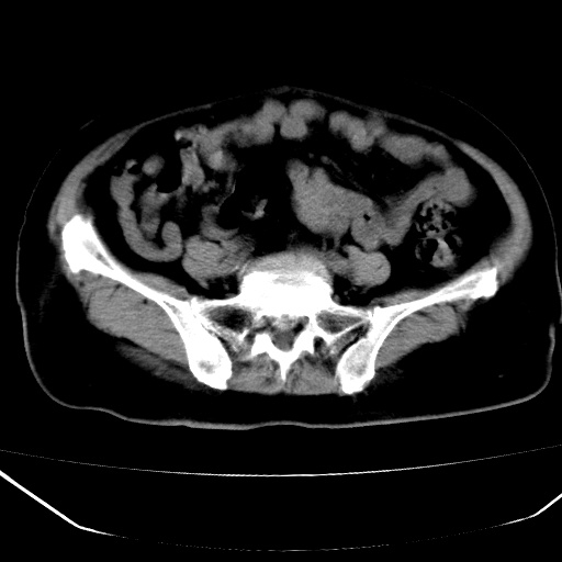
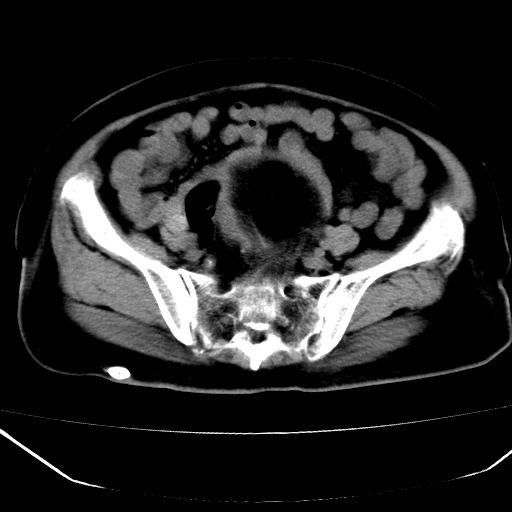
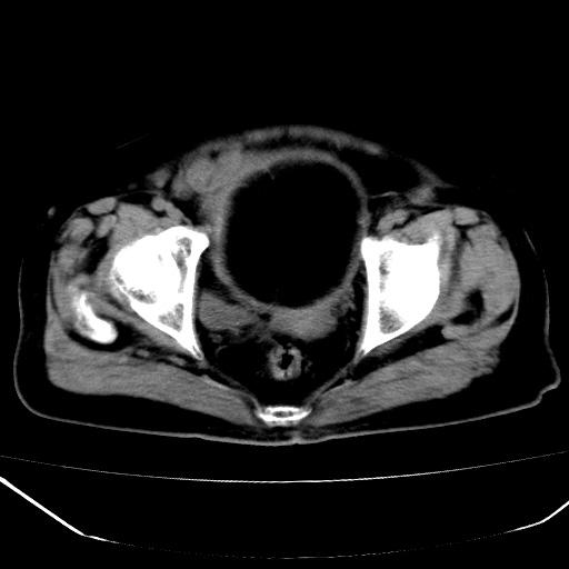
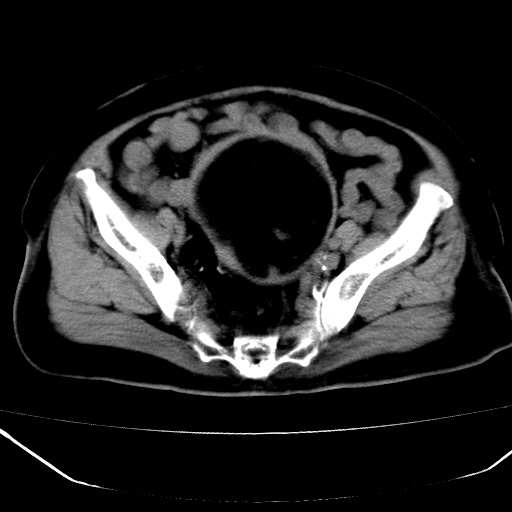
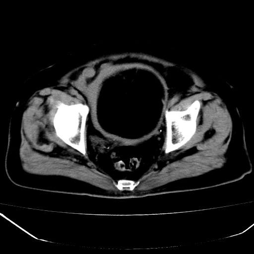
患者,女,74岁,无不适,b超示盆腔包块。

















[本贴已被 jiajie 于 2009-3-9 9:09:44 修改过]

作者: huenhao    时间: 2009-3-9 17:22
图像质量差
作者: 余辉    时间: 2009-3-9 17:27
子宫前上方巨大脂性肿物,肿物边缘为较厚软组织密度影,其内缘欠光整,脂性密度中央见结节状软组织密度影“漂浮”,肿物与子宫前壁关系密切,考虑1脂肪瘤2皮样囊肿3肌瘤脂样变
作者: 37度    时间: 2009-3-9 17:42
1.脂肪瘤;
2.畸胎瘤。
作者: CTqiu    时间: 2009-3-9 17:44
畸胎瘤。
作者: lkc8963    时间: 2009-3-9 17:50
请加大窗宽观察,内是脂肪吗?
作者: lirenxiong    时间: 2009-3-9 17:56
膀胱是?
作者: 深泽交通    时间: 2009-3-9 18:40
标题: 回复:ct18557:盆腔内包块,请指教
以下是引用37度在2009-3-9 9:42:00的发言:[br]1.脂肪瘤;[br]2.畸胎瘤。

作者: scdlc2008    时间: 2009-3-9 19:29
1.脂肪瘤;
2.畸胎瘤
作者: 杀毒软件    时间: 2009-3-9 19:40
支持---脂肪瘤或畸胎瘤
作者: 随光逐影    时间: 2009-3-9 19:50
考虑畸胎瘤;不排除其他含脂肪类肿瘤。
作者: 好进学子    时间: 2009-3-9 20:05
畸胎瘤
作者: 黑白光影    时间: 2009-3-9 20:43
支持---畸胎瘤或脂肪瘤。
作者: ct诊断高手    时间: 2009-3-9 21:04
我考虑畸胎瘤
作者: 野鹅    时间: 2009-3-9 21:26
请出示ct值?(上述有理)。
作者: 卜一    时间: 2009-3-9 22:20
支持---脂肪瘤或畸胎瘤!!!
作者: ydx_74    时间: 2009-3-9 23:06
标题: 回复:ct18557:盆腔内包块,请指教
畸胎瘤
作者: chinanyd    时间: 2009-3-9 23:15
密度是多少啊,资料能详细点就好了,初步考虑脂肪瘤可能性大
作者: xizhong    时间: 2009-3-9 23:18
畸胎瘤可能性大。
作者: 泪洒红尘    时间: 2009-3-9 23:41
标题: 回复:ct18557:盆腔内包块,请指教
以下是引用杀毒软件在2009-3-9 11:40:00的发言:[br]支持---脂肪瘤或畸胎瘤[br]

作者: dengkai    时间: 2009-3-9 23:42
1.脂肪瘤;
2.畸胎瘤。
作者: 王仕学    时间: 2009-3-10 00:32
考虑脂肪瘤可能性大
作者: wxhjlw    时间: 2009-3-10 00:51
支持---畸胎瘤或脂肪瘤。
作者: 沉默是金    时间: 2009-3-10 00:54
支持---脂肪瘤或畸胎瘤!!!
作者: zjzjr    时间: 2009-3-10 01:35
支持---畸胎瘤或脂肪瘤。
作者: xulianj    时间: 2009-3-10 04:06
畸胎瘤
作者: zsl6918    时间: 2009-3-10 06:05
1脂肪瘤2皮样囊肿
作者: sl789    时间: 2009-3-14 16:46
ct值-90hu




欢迎光临 医影在线 (http://bbs.radida.com/bbs/) Powered by Discuz! X3.2