医影在线

标题: CT18560:大家看看 [打印本页]

作者: wz_221    时间: 2009-3-9 21:44
标题: CT18560:大家看看
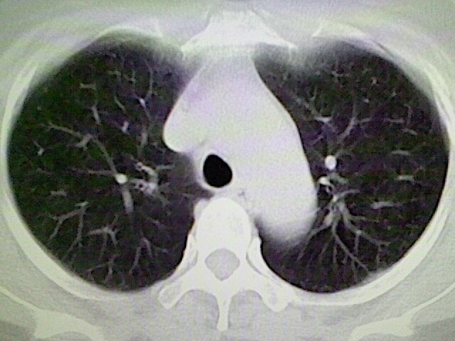
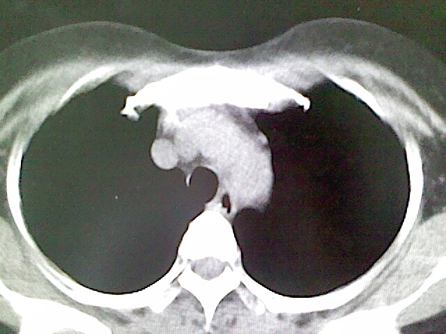
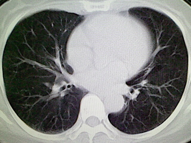
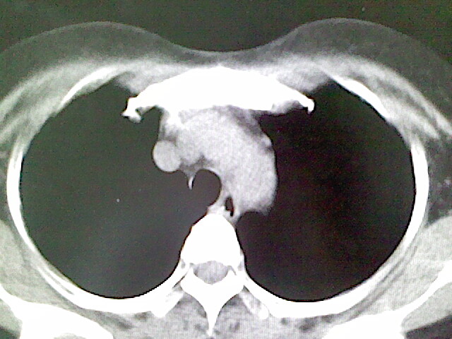
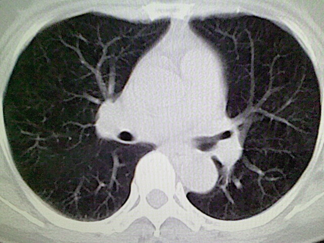
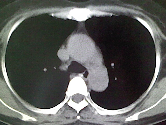
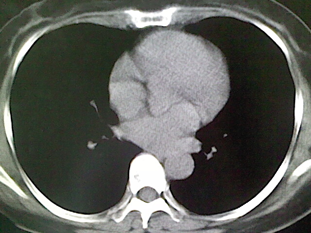
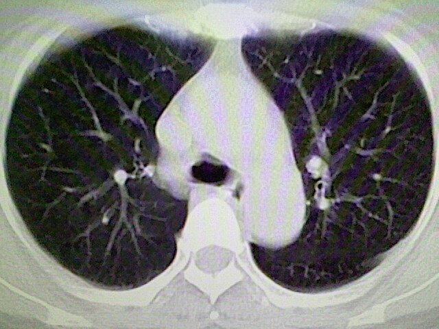
女,52岁,咳嗽,咳痰多日













































[本贴已被 jiajie 于 2009-3-9 19:59:06 修改过]

作者: 卜一    时间: 2009-3-9 22:15
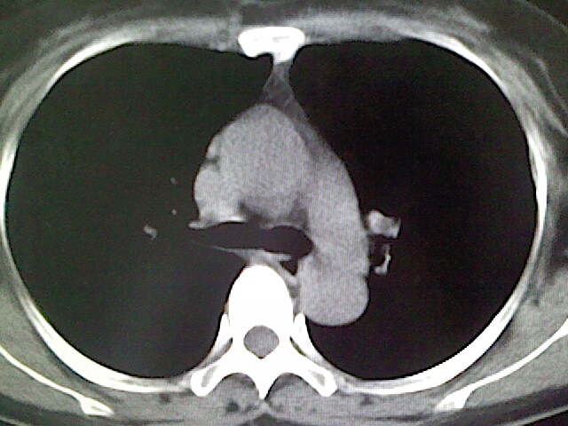
左下肺陈旧纤维索条!
作者: 深泽交通    时间: 2009-3-9 22:17
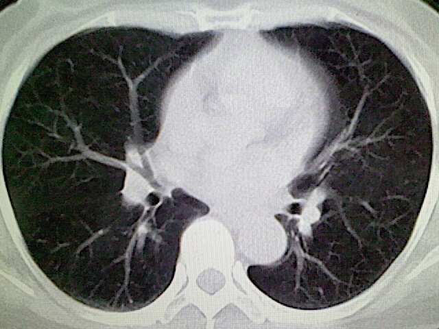
左肺舌段炎性改变
作者: zwjyr    时间: 2009-3-9 22:30
我见过几例,为炎症后纤维条索
作者: ydx_74    时间: 2009-3-9 23:13
标题: 回复:大家看看
慢性炎症后改变
作者: dengkai    时间: 2009-3-9 23:45
左肺舌段炎性改变
作者: 黑白光影    时间: 2009-3-9 23:46
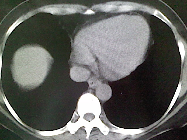
考虑慢性炎性病灶粘连牵拉改变。
作者: guo430726    时间: 2009-3-9 23:58
左肺舌叶纤维锁条病变。
作者: 随光逐影    时间: 2009-3-10 00:15
左肺上叶下舌段炎症并局部胸膜反应。
作者: 祥云    时间: 2009-3-10 00:25
左肺舌叶纤维索条影。
作者: 野鹅    时间: 2009-3-10 01:21
支持!
作者: 杀毒软件    时间: 2009-3-10 01:25
标题: 回复:大家看看
以下是引用黑白光影在2009-3-9 15:46:00的发言:[br]考虑慢性炎性病灶粘连牵拉改变。

支持
作者: 知其雄    时间: 2009-3-10 01:56
左肺舌叶段陈旧性病变
作者: 道哥    时间: 2009-3-10 02:15
左肺舌叶纤维索条影。
作者: ncy888888    时间: 2009-3-10 02:27
左肺舌段炎性反应。片子的质量太不好了。
作者: xulianj    时间: 2009-3-10 04:33
左肺舌段炎性
作者: zsl6918    时间: 2009-3-10 05:59
炎性改变
作者: dsl555    时间: 2009-3-10 06:44
标题: 回复:ct18560:大家看看
以下是引用黑白光影在2009-3-9 15:46:00的发言:[br]考虑慢性炎性病灶粘连牵拉改变。

作者: 晓杰    时间: 2009-3-13 19:06
左肺舌叶纤维索条影




欢迎光临 医影在线 (http://bbs.radida.com/bbs/) Powered by Discuz! X3.2