医影在线

标题: MRI2066:腹膜后占位,请会诊,CT18531近期扫描图像 [打印本页]

作者: yangjyan    时间: 2009-3-9 23:32
标题: MRI2066:腹膜后占位,请会诊,CT18531近期扫描图像
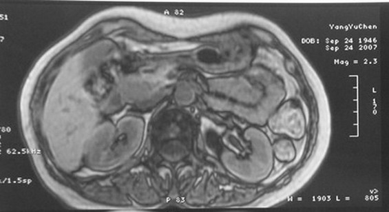
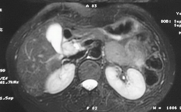
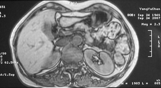
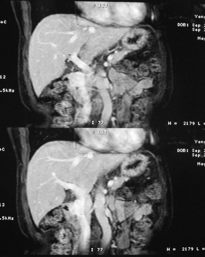
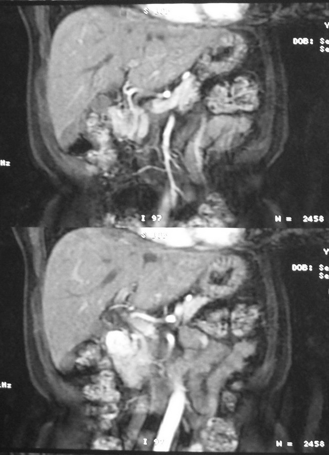
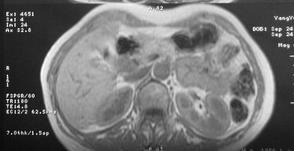
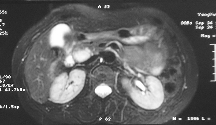
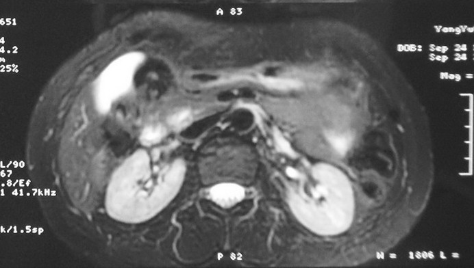
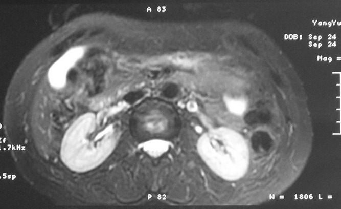
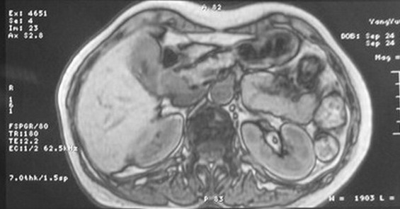
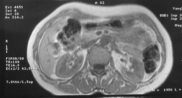
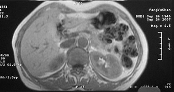
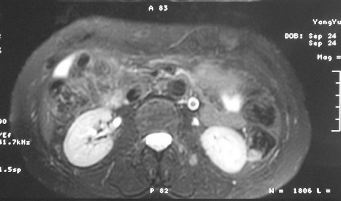
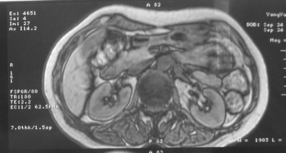
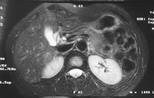
无明显不适,体检发现,
ct18531:图像请参阅http://www.radida.com/bbs/forum.php?mod=viewthread&tid=50439























[本贴已被 jiajie 于 2009-3-9 20:33:00 修改过]

作者: 炎耳    时间: 2009-3-10 00:31
mri基本排除血管类肿瘤,明显强化说明极富血供,临床无症状,考虑胰岛细胞瘤可能大。
作者: guanaishengming    时间: 2009-3-10 07:33
castlemen
作者: 影像之路    时间: 2009-3-11 09:16
castlemen
作者: 尚峰    时间: 2009-3-12 03:56
像是胆总管囊肿,但要警惕胰头病变。
作者: 如醉卧风    时间: 2009-3-12 06:07
强化明显,并见有血管与之相连;考虑巨淋巴增生症.
作者: jiangjing    时间: 2009-3-13 00:40
血管瘤可能性大
作者: 如醉卧风    时间: 2009-3-14 01:52
怎么没有发言了,期待结果.
作者: 影像孺子牛    时间: 2009-3-15 07:15
极富血供的占位性病变,首先考虑良性,期待结果。
作者: zyx168    时间: 2009-4-19 04:27
间质瘤?
作者: chinanyd    时间: 2009-4-19 14:22
血管瘤?期待结果




欢迎光临 医影在线 (http://bbs.radida.com/bbs/) Powered by Discuz! X3.2