医影在线

标题: CT18562:头颅病变,请分析. [打印本页]

作者: caihe    时间: 2009-3-10 00:04
标题: CT18562:头颅病变,请分析.
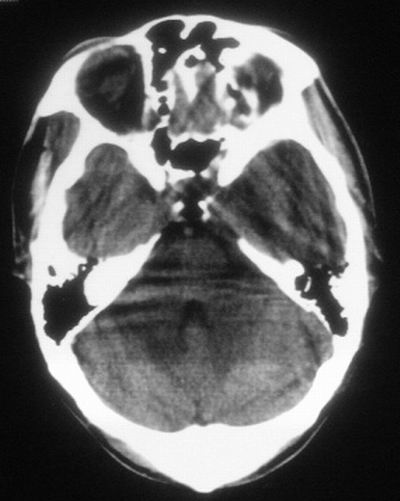
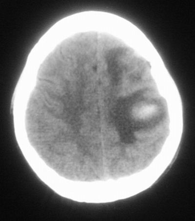
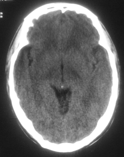
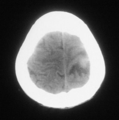
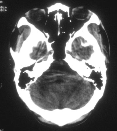
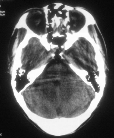
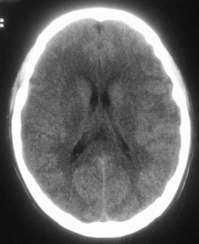
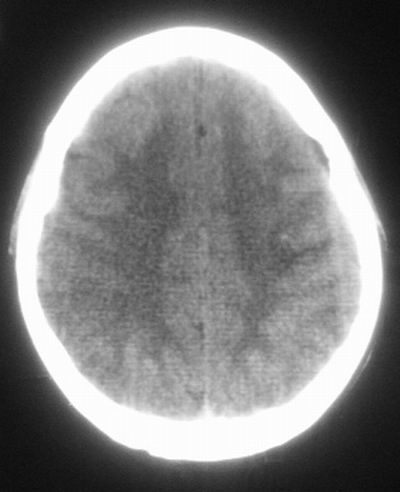
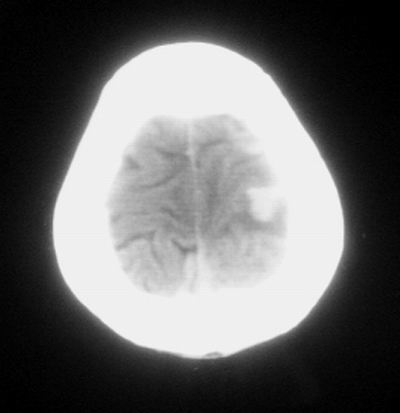
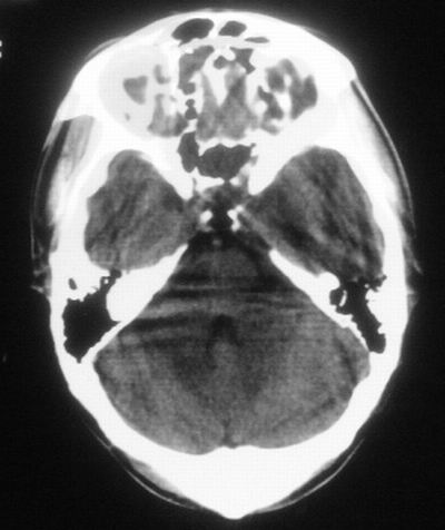
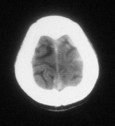
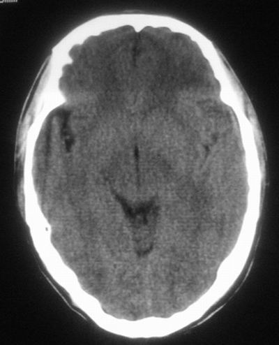
患者,男,30岁,右侧面部麻木,右上肢活动受限27小时。pe:神清、呼吸平稳,口角左歪,右上肢活动受限,右手掌握力消失,右侧躯体痛觉减退。












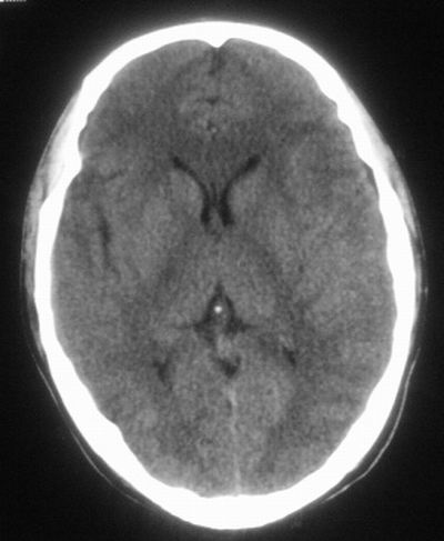
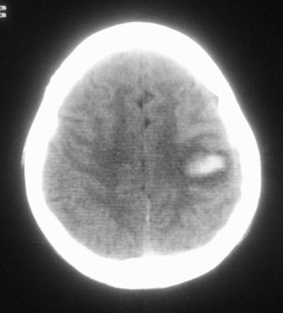
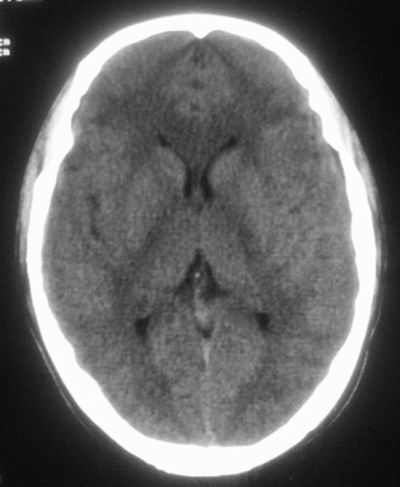
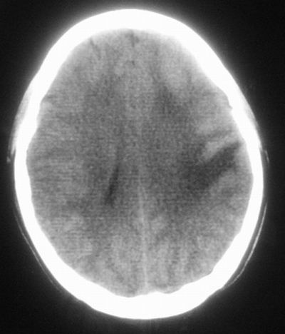
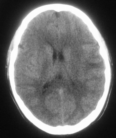
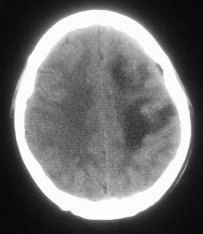
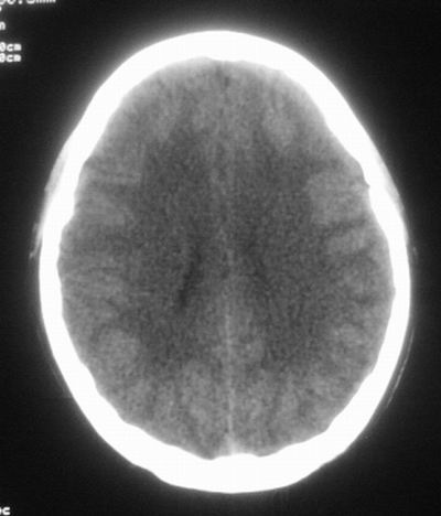
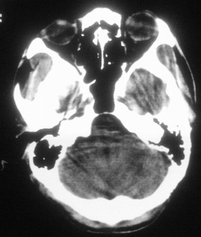
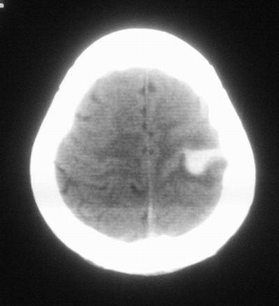
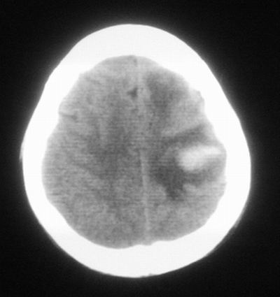
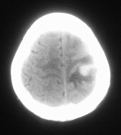
治疗三天后复查ct片示:















[本贴已被 jiajie 于 2009-3-9 20:01:08 修改过]

作者: 随光逐影    时间: 2009-3-10 00:49
第一次颅脑ct扫描:左侧额顶叶血肿。
治疗三天后复查ct:除左侧额顶叶血肿外。左侧额叶另见片状低密度灶,密度不均匀,境界不清;考虑脑梗塞。
建议:必要时行进一步检查排除烟雾病。
作者: 卜一    时间: 2009-3-10 00:56
左侧额顶叶血肿伴出血后梗塞!
作者: 杀毒软件    时间: 2009-3-10 01:22
标题: 回复:头颅病变,请分析.
以下是引用卜一在2009-3-9 16:56:00的发言:[br]左侧额顶叶血肿伴出血后梗塞!

支持
作者: dengkai    时间: 2009-3-10 01:35
左侧额顶叶血肿伴出血后梗塞!
作者: ncy888888    时间: 2009-3-10 01:53
左侧额顶叶脑出血伴出血后脑梗塞
作者: 道哥    时间: 2009-3-10 02:23
支持,建议进一步检查排除血管畸形(动脉瘤 等)
作者: xulianj    时间: 2009-3-10 04:31
左侧额顶叶脑血肿伴脑梗塞
作者: 黑白光影    时间: 2009-3-10 05:34
左侧额顶叶脑出血伴出血后脑梗塞。支持
作者: zsl6918    时间: 2009-3-10 05:37
建议mr查明出血原因。
作者: dsl555    时间: 2009-3-10 06:12
左侧额顶叶血肿伴出血后梗塞!建议mr查明出血原因
作者: 余辉    时间: 2009-3-10 19:34
低密度区应该不是梗塞而是水肿区,建议进一步检查排除占位
作者: pujunzhi    时间: 2009-3-10 20:32
标题: 回复:ct18562:头颅病变,请分析.
以下是引用xulianj在2009-3-9 20:31:00的发言:[br]左侧额顶叶脑血肿伴脑梗塞





欢迎光临 医影在线 (http://bbs.radida.com/bbs/) Powered by Discuz! X3.2