














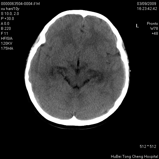
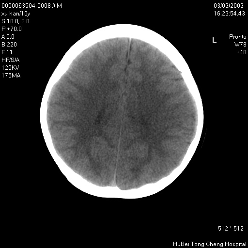
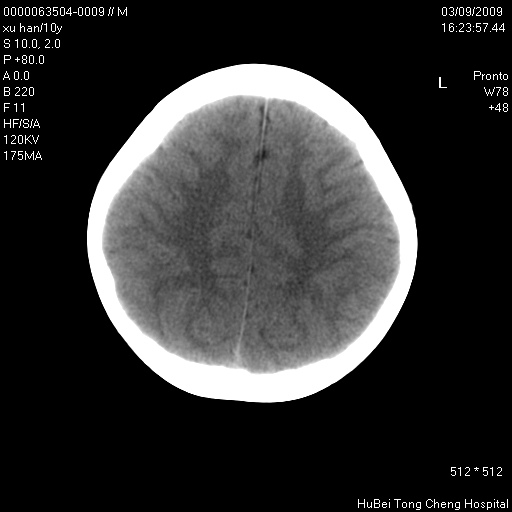
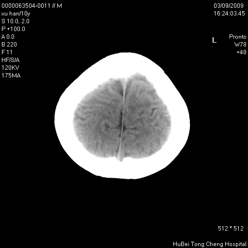
以下是引用道哥在2009-3-9 18:40:00的发言:[br]未见明显异常,必要时mr(dwi)成像。
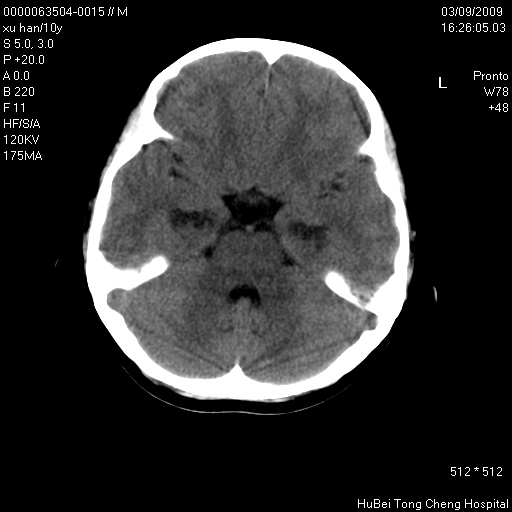
以下是引用余辉在2009-3-10 11:01:00的发言:[br]考虑双侧海马急性缺氧性损伤
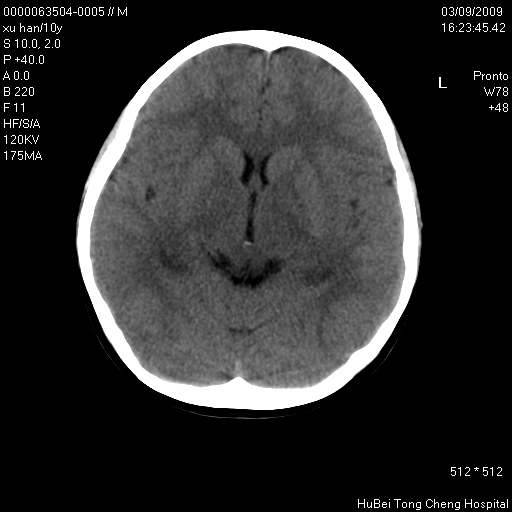
以下是引用余辉在2009-3-10 11:01:00的发言:[br]考虑双侧海马急性缺氧性损伤
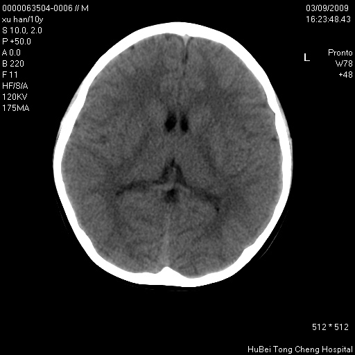
以下是引用余辉在2009-3-10 11:01:00的发言:[br]考虑双侧海马急性缺氧性损伤
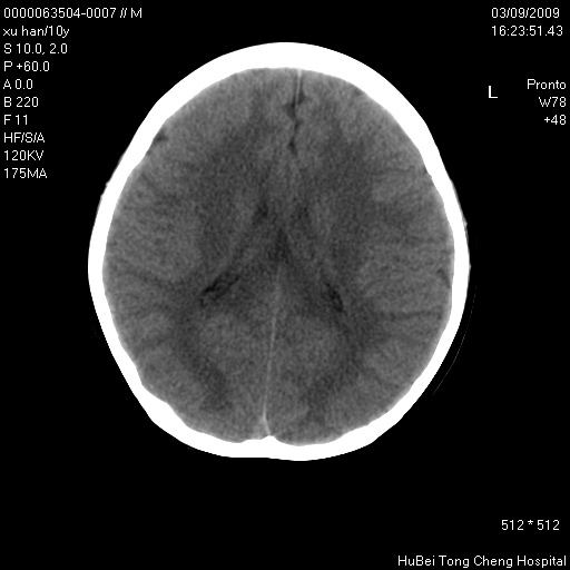
以下是引用余辉在2009-3-10 11:01:00的发言:[br]考虑双侧海马急性缺氧性损伤
| 欢迎光临 医影在线 (http://bbs.radida.com/bbs/) | Powered by Discuz! X3.2 |