医影在线

标题: CT18569:怪异的颅脑CT影像,请大家帮看看 [打印本页]

作者: czhszbd    时间: 2009-3-10 03:36
标题: CT18569:怪异的颅脑CT影像,请大家帮看看
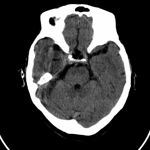
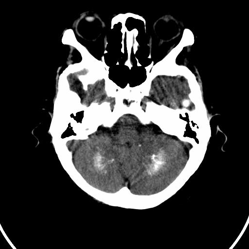
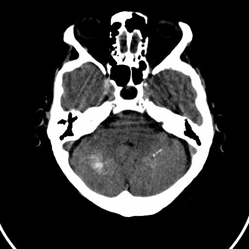
今天碰到的病人,发图上来,大家帮看看该如何诊断?





[本贴已被 jiajie 于 2009-3-9 20:26:04 修改过]

作者: 沉默是金    时间: 2009-3-10 03:50
甲旁减?建议图像传完
作者: 流浪星    时间: 2009-3-10 03:50
双侧小脑齿状核钙化,患者是成年人就无病理意义。
作者: zjb    时间: 2009-3-10 03:52
生理性钙化
作者: 徐昊    时间: 2009-3-10 03:53
双侧小脑齿状核钙化
作者: dengkai    时间: 2009-3-10 03:56
双侧小脑齿状核钙化,生理性钙化
作者: 随光逐影    时间: 2009-3-10 03:56
双侧小脑齿状核钙化。
作者: 同    时间: 2009-3-10 04:07
双侧小脑齿状核钙化。
作者: wangyong1977    时间: 2009-3-10 04:11
双侧小脑齿状核钙化
作者: 蓝星    时间: 2009-3-10 04:23
生理性钙化
作者: 杀毒软件    时间: 2009-3-10 04:36
双侧小脑齿状核钙化,把图上传完整。
作者: ct诊断高手    时间: 2009-3-10 04:55
考虑甲状旁腺功能低下
作者: czhszbd    时间: 2009-3-10 04:56
标题: 回复:ct18569:怪异的颅脑ct影像,请大家帮看看
谢谢大家,回头再上传。
作者: 医中人    时间: 2009-3-10 05:06
支持
作者: 江尾海头    时间: 2009-3-10 05:11
标题: 回复:ct18569:怪异的颅脑ct影像,请大家帮看看
以下是引用蓝星在2009-3-9 20:23:00的发言:[br]生理性钙化

作者: xulianj    时间: 2009-3-10 05:20
双侧小脑齿状核钙化
作者: zsl6918    时间: 2009-3-10 05:24
双侧小脑齿状核钙化 ,原因挺多,有生理性也有病理性的
作者: 黑白光影    时间: 2009-3-10 05:48
双侧小脑齿状核钙化
作者: dsl555    时间: 2009-3-10 05:53
双侧小脑齿状核钙化
作者: czhszbd    时间: 2009-3-11 23:31
看来可以明确诊断了.
作者: 鲁巨CT    时间: 2009-3-12 00:34
双侧小脑齿状核钙化
作者: 光影相伴    时间: 2009-3-12 01:30
双侧小脑齿状核钙化,患者是成年人就无病理意义。




欢迎光临 医影在线 (http://bbs.radida.com/bbs/) Powered by Discuz! X3.2