医影在线
标题: CT18574:女,60岁,头部肿物。 [打印本页]
作者: zhw974247 时间: 2009-3-10 04:40
标题: CT18574:女,60岁,头部肿物。
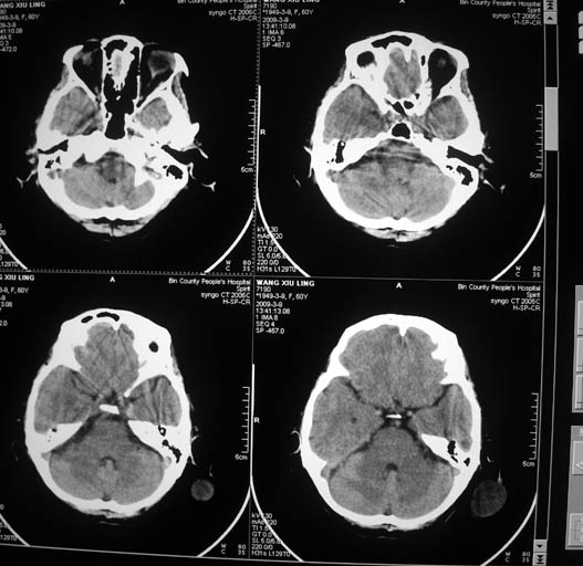
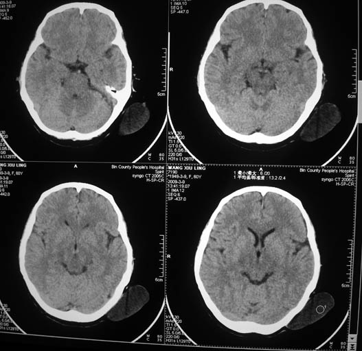
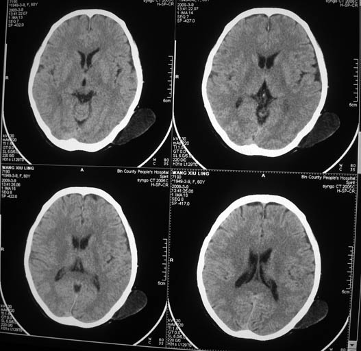
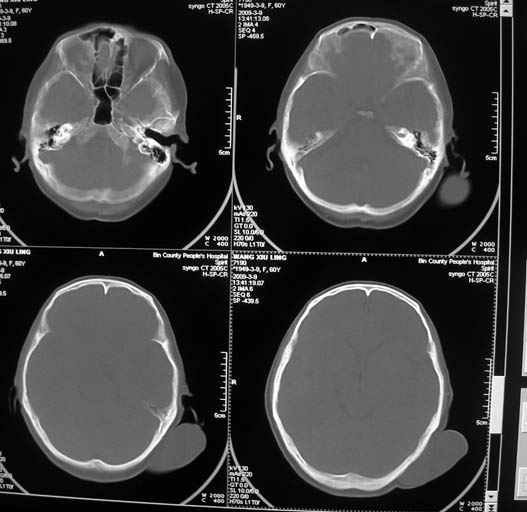
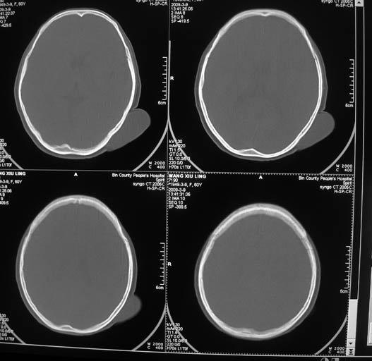
女,60岁,头部肿物。ct值为12hu。





[本贴已被 zhw974247 于 2009-3-9 20:56:25 修改过]
作者: 流浪星 时间: 2009-3-10 04:47
左枕区头皮纤维瘤可能性大。
作者: 杀毒软件 时间: 2009-3-10 04:48
考虑-----皮脂腺瘤或皮样囊肿可能性大
作者: dengkai 时间: 2009-3-10 04:50
左枕部软组织影,考虑皮样囊肿?最好穿刺!
作者: ct诊断高手 时间: 2009-3-10 04:59
至此考虑皮样囊肿
作者: xulianj 时间: 2009-3-10 05:13
皮脂腺瘤可能大
作者: 随光逐影 时间: 2009-3-10 05:23
考虑皮脂腺瘤或皮样囊肿。
作者: 卜一 时间: 2009-3-10 05:50
建议穿刺活检!
作者: dsl555 时间: 2009-3-10 06:00
皮脂腺瘤可能大
作者: 黑白光影 时间: 2009-3-10 06:03
标题: 回复:ct18574:女,60岁,头部肿物。
以下是引用杀毒软件在2009-3-9 20:48:00的发言:[br]考虑-----皮脂腺瘤或皮样囊肿可能性大
支持杀毒软件老师。
作者: zsl6918 时间: 2009-3-10 06:19
考虑皮脂腺瘤或皮样囊肿
作者: 影象小泰斗 时间: 2009-3-10 06:42
皮脂腺瘤或皮样囊肿可能性大
作者: 影像孺子牛 时间: 2009-3-10 06:48
考虑皮脂腺瘤或皮样囊肿,建议穿刺活检!
作者: huangxinghai 时间: 2009-3-10 07:27
建议穿刺活检
作者: 泪洒红尘 时间: 2009-3-10 17:50
标题: 回复:ct18574:女,60岁,头部肿物。
以下是引用黑白光影在2009-3-9 22:03:00的发言:[br][quote]以下是引用杀毒软件在2009-3-9 20:48:00的发言:[br]考虑-----皮脂腺瘤或皮样囊肿可能性大
[br]支持杀毒软件老师。[/quote]
作者: 王仕学 时间: 2009-3-10 18:09
考虑皮脂腺瘤或皮样囊肿。支持.
作者: ydx_74 时间: 2009-3-10 18:12
考虑皮脂腺瘤或皮样囊肿
作者: 余辉 时间: 2009-3-10 19:31
标题: 回复:ct18574:女,60岁,头部肿物。
以下是引用杀毒软件在2009-3-9 20:48:00的发言:[br]考虑-----皮脂腺瘤或皮样囊肿可能性大
作者: pujunzhi 时间: 2009-3-10 20:34
考虑皮脂腺瘤或皮样囊肿。
| 欢迎光临 医影在线 (http://bbs.radida.com/bbs/) |
Powered by Discuz! X3.2 |