

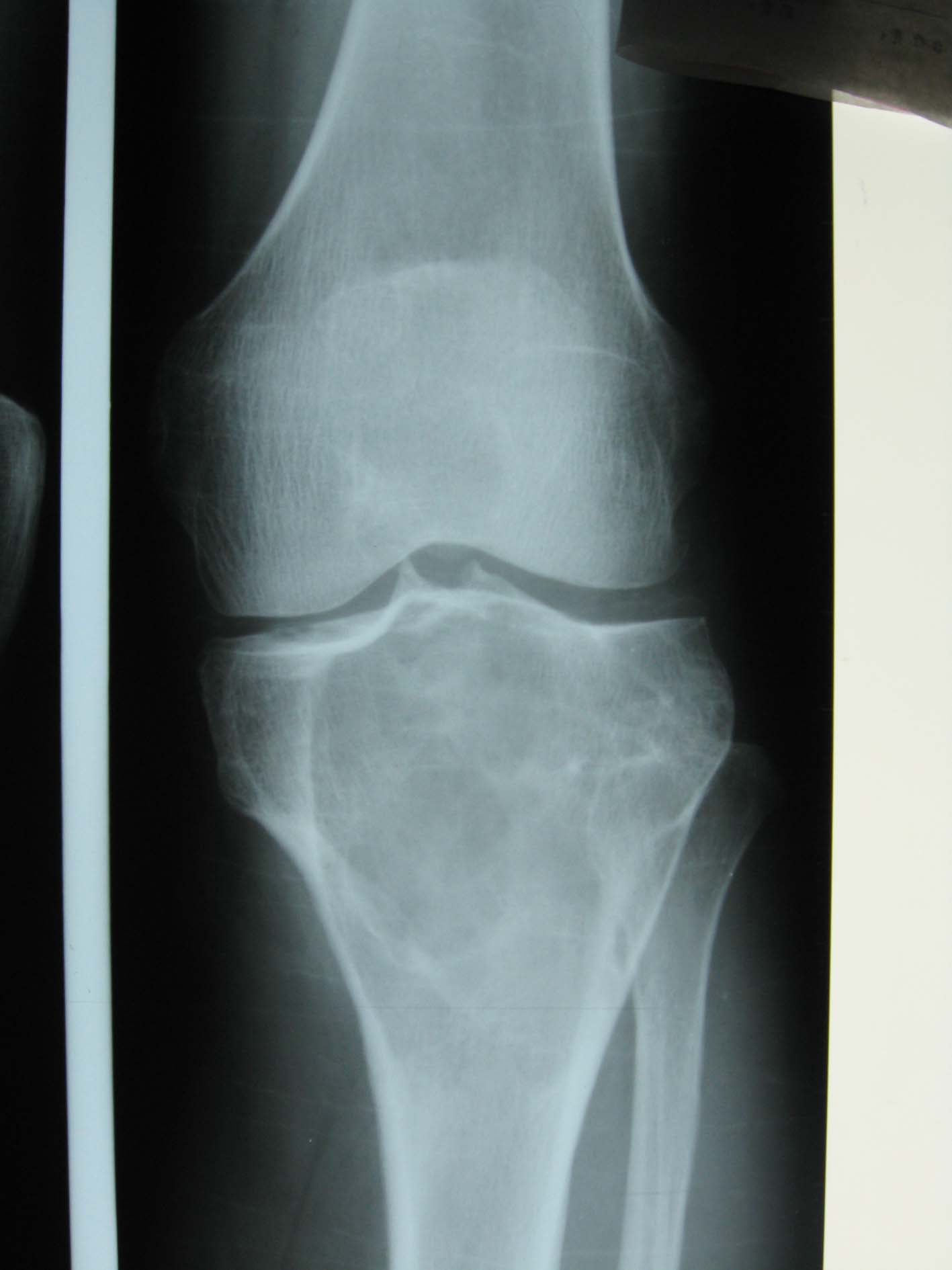
以下是引用流星1234在2009-3-9 22:19:00的发言:[br]胫骨骨端巨大囊性膨胀性溶骨破坏,与正常骨分界清楚,无硬化缘,其内有纤细间隔,呈皂泡状改变,支持骨巨细胞瘤.
以下是引用黑白光影在2009-3-9 22:59:00的发言:[br]本例患者膝关节可见胫骨髁间棘骨质增生变尖,髌骨后上缘亦有轻度增生改变,应为成年人。考虑胫骨上端骨巨细胞瘤可能性大。[br][br]骨巨细胞瘤:发病年龄较大,病变多位于长骨端有关节面下方,关节面常为肿瘤的部分轮廓。。由于肿瘤的纵行横行生长差不多,故肿瘤多呈球形。瘤内有皂泡状影。骨化及反应性骨硬化现象少见。而动脉瘤样骨囊肿发病年龄较轻,病变多位于干骺端,很少侵犯骨骺,常有不同程度的骨硬化现象。[br][br]鉴别诊断:[br]1、孤立性骨囊肿,多见于四肢,常为中心型,呈对称性轻度膨胀的骨破坏,周围为致密硬化带。囊壁外缘光滑整 齐,内缘则不光整。随骨骼生长逐渐移向骨干,常因病理性骨折而发现。[br]2、非骨化纤维瘤,常侵犯骨皮质,沿骨干蔓延,呈分叶状,边缘有硬化现象。有时边缘不完整,甚至有骨皮质断裂。[br]3、软骨粘液样纤维瘤,多见于青少年,偏心生长,分叶状,并呈分房样。突入软组织时多无包壳。破坏区内有斑点及斑片状钙化。[br]4、还有骨血管瘤、良性骨母细胞瘤,骨嗜酸性肉芽肿。[br][br][本贴已被 黑白光影 于 2009-3-9 23:00:25 修改过]
以下是引用黑白光影在2009-3-9 22:59:00的发言:[br]本例患者膝关节可见胫骨髁间棘骨质增生变尖,髌骨后上缘亦有轻度增生改变,应为成年人。考虑胫骨上端骨巨细胞瘤可能性大。[br][br]骨巨细胞瘤:发病年龄较大,病变多位于长骨端有关节面下方,关节面常为肿瘤的部分轮廓。。由于肿瘤的纵行横行生长差不多,故肿瘤多呈球形。瘤内有皂泡状影。骨化及反应性骨硬化现象少见。而动脉瘤样骨囊肿发病年龄较轻,病变多位于干骺端,很少侵犯骨骺,常有不同程度的骨硬化现象。[br][br]鉴别诊断:[br]1、孤立性骨囊肿,多见于四肢,常为中心型,呈对称性轻度膨胀的骨破坏,周围为致密硬化带。囊壁外缘光滑整 齐,内缘则不光整。随骨骼生长逐渐移向骨干,常因病理性骨折而发现。[br]2、非骨化纤维瘤,常侵犯骨皮质,沿骨干蔓延,呈分叶状,边缘有硬化现象。有时边缘不完整,甚至有骨皮质断裂。[br]3、软骨粘液样纤维瘤,多见于青少年,偏心生长,分叶状,并呈分房样。突入软组织时多无包壳。破坏区内有斑点及斑片状钙化。[br]4、还有骨血管瘤、良性骨母细胞瘤,骨嗜酸性肉芽肿。[br][br][本贴已被 黑白光影 于 2009-3-9 23:00:25 修改过]
| 欢迎光临 医影在线 (http://bbs.radida.com/bbs/) | Powered by Discuz! X3.2 |