医影在线

标题: CT18577:男,68岁,左肺占位。 [打印本页]

作者: zhw974247    时间: 2009-3-10 05:25
标题: CT18577:男,68岁,左肺占位。
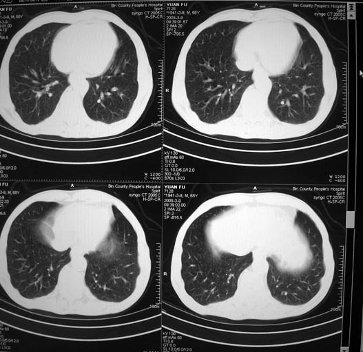
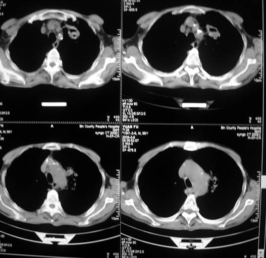
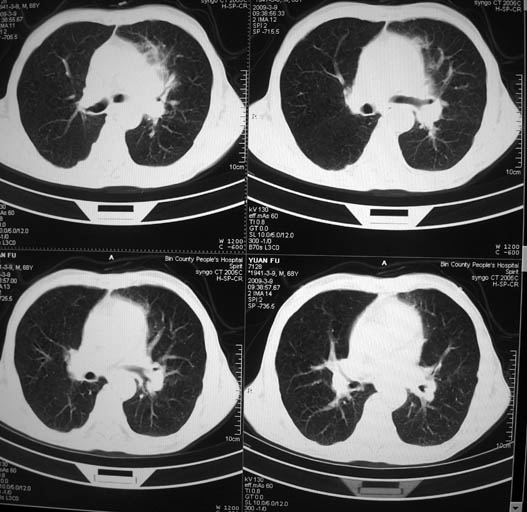
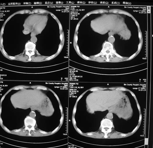
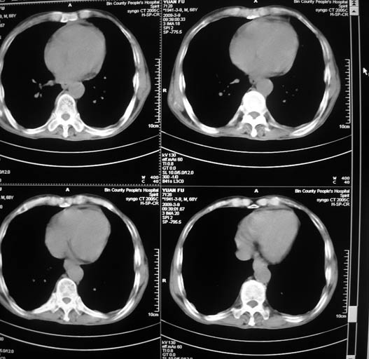
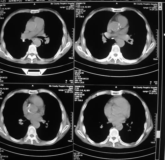
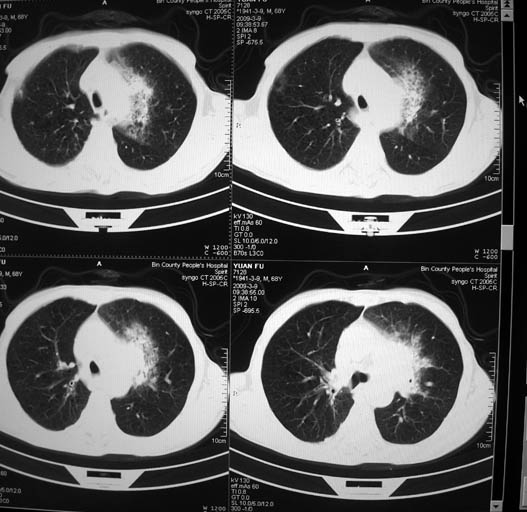
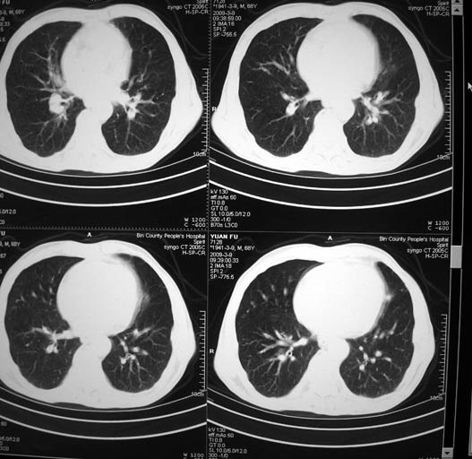
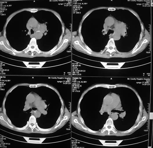
男,68岁,左上肺占位,肺门淋巴结转移?












作者: zsl6918    时间: 2009-3-10 05:27
支持楼主,最好能有强化资料
作者: ct诊断高手    时间: 2009-3-10 05:32
淋巴管转移?
作者: 卜一    时间: 2009-3-10 05:58
支持楼主!(左上肺周围性肺癌伴纵隔淋巴结转移)
作者: 岚儿    时间: 2009-3-10 06:03
左上肺占位,左肺门淋巴结肿大伴阻塞性炎症,
作者: dengkai    时间: 2009-3-10 06:06
左上肺周围性肺癌伴纵隔淋巴结转移
作者: 随光逐影    时间: 2009-3-10 06:07
1)考虑左肺上叶尖段周围型肺癌并阻塞性肺炎,纵隔淋巴结转移。2)心包少量积液。
作者: 黑白光影    时间: 2009-3-10 06:13
支持楼主!(左上肺周围性肺癌并阻塞性肺炎、纵隔淋巴结转移)
作者: 韦伟    时间: 2009-3-10 06:19
考虑左肺上叶尖段周围型肺癌并阻塞性肺炎,纵隔淋巴结转移.
作者: 杀毒软件    时间: 2009-3-10 06:25
支持楼主
作者: guo430726    时间: 2009-3-10 06:26
1)考虑左肺上叶尖段周围型肺癌并阻塞性肺炎,纵隔淋巴结转移。2)心包少量积液
作者: 影像孺子牛    时间: 2009-3-10 07:04
支持:
1)考虑左肺上叶尖段周围型肺癌并阻塞性肺炎,纵隔淋巴结转移。
2)心包少量积液。
作者: huangxinghai    时间: 2009-3-10 07:36
左上肺周围型肺癌伴肺门淋巴结转移
作者: songyi    时间: 2009-3-10 16:25
左上肺周围性肺癌伴纵隔淋巴结转移
作者: 深泽交通    时间: 2009-3-10 17:29
标题: 回复:ct18577:男,68岁,左肺占位。
以下是引用卜一在2009-3-9 21:58:00的发言:[br]支持楼主!(左上肺周围性肺癌伴纵隔淋巴结转移)

作者: wangyong1977    时间: 2009-3-10 17:38
左上肺周围性肺癌伴纵隔淋巴结转移
作者: 泪洒红尘    时间: 2009-3-10 17:56
都支持
作者: ydx_74    时间: 2009-3-10 18:22
肺癌
作者: 余辉    时间: 2009-3-10 19:25
标题: 回复:ct18577:男,68岁,左肺占位。
以下是引用卜一在2009-3-9 21:58:00的发言:[br]支持楼主!(左上肺周围性肺癌伴纵隔淋巴结转移)

作者: muzi888    时间: 2009-3-10 22:39
支持楼主!(左上肺周围性肺癌并阻塞性肺炎、纵隔淋巴结转移)
作者: 晓杰    时间: 2009-3-13 19:01
考虑两肺播散性肺结核




欢迎光临 医影在线 (http://bbs.radida.com/bbs/) Powered by Discuz! X3.2