医影在线

标题: CT18578:女,64岁,腹痛。 [打印本页]

作者: zhw974247    时间: 2009-3-10 05:31
标题: CT18578:女,64岁,腹痛。
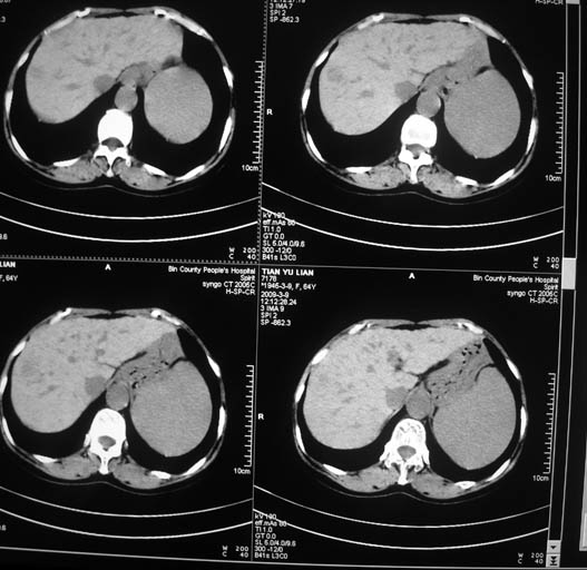
女,64岁,腹痛。彩超示肝占位。









作者: zsl6918    时间: 2009-3-10 05:34
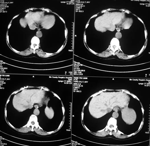
不强化很难定性!病人脾大,不知有无乙肝病史?建议好好查查,肝癌应该考虑
作者: ct诊断高手    时间: 2009-3-10 05:38
肝硬化肝癌,瘤栓?肝总管扩张。
作者: 随光逐影    时间: 2009-3-10 05:41
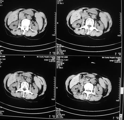
1)肝右叶占位性病变,性质待定(不排除巨块型肝癌可能);建议行进一步检查。2)胆囊炎。3)脾大。
作者: 卜一    时间: 2009-3-10 05:59
建议增强后再讨论!
作者: 影象小泰斗    时间: 2009-3-10 06:10
肝右叶占位性病变,考虑型肝癌可能!
作者: dengkai    时间: 2009-3-10 06:14
1)肝右叶占位性病变,性质待定(不排除巨块型肝癌可能);建议行进一步检查。2)胆囊炎。3)脾大。
作者: 黑白光影    时间: 2009-3-10 06:15
1)肝脏占位性病变,不排除巨块型肝癌可能;建议行进一步检查。2)胆囊炎。3)脾大。
作者: guo430726    时间: 2009-3-10 06:20
1.肝脏形态不太规整,肝内胆管扩张,考虑有肝硬化,建议问病史。
2.肝右叶占位性病变,肝癌可能性大。
3.脾脏增大。
作者: 杀毒软件    时间: 2009-3-10 06:21
标题: 回复:ct18578:女,64岁,腹痛。
以下是引用随光逐影在2009-3-9 21:41:00的发言:[br]1)肝右叶占位性病变,性质待定(不排除巨块型肝癌可能);建议行进一步检查。2)胆囊炎。3)脾大。

支持
作者: 影像孺子牛    时间: 2009-3-10 07:12
支持:
1)肝右叶占位性病变,性质待定(不排除巨块型肝癌可能);建议增强。2)胆囊炎。3)脾大。
作者: huangxinghai    时间: 2009-3-10 07:37
肝癌可能性大,建议增强
作者: songyi    时间: 2009-3-10 16:28
1.肝硬化
2.肝右叶占位性病变,肝癌可能性大,建议ct增强
3.脾脏增大
作者: 深泽交通    时间: 2009-3-10 17:24
胆管癌?
作者: muzi888    时间: 2009-3-10 17:46
)肝右叶占位性病变,性质待定(不排除巨块型肝癌可能);建议行进一步检查。2)胆囊炎。3)脾大。
作者: wangyong1977    时间: 2009-3-10 17:50
肝右叶占位性病变,考虑型肝癌可能!
作者: 泪洒红尘    时间: 2009-3-10 18:03
是来自肝脏病灶吗?我乍看象胆总管结石?图像小了点.
作者: ydx_74    时间: 2009-3-10 18:24
肝癌可能大
作者: 余辉    时间: 2009-3-10 19:21
肝硬化肝癌,门脉右支瘤栓肝总管扩张
作者: guo430726    时间: 2009-3-10 19:29
标题: 回复:ct18578:女,64岁,腹痛。
肝硬化肝癌,瘤栓?肝总管扩张。
作者: 知其雄    时间: 2009-3-11 00:31
考虑肝癌




欢迎光临 医影在线 (http://bbs.radida.com/bbs/) Powered by Discuz! X3.2