








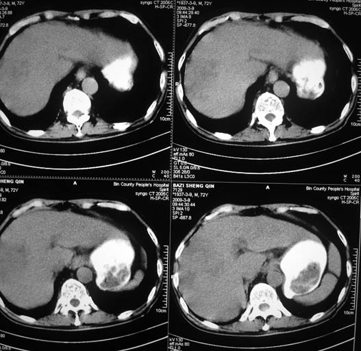
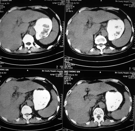
以下是引用ct诊断高手在2009-3-9 21:44:00的发言:[br]增强观看肝内强化及小网膜淋巴结。排除血管瘤肝脓肿
以下是引用影象小泰斗在2009-3-9 22:06:00的发言:[br]肝脏多发占位,不好说是原发肝癌或肝转移瘤!建议强化!
以下是引用黑白光影在2009-3-9 22:19:00的发言:[br]肝脏多发性占位性病变,腹膜后多发淋巴结肿大,建议行ct增强扫描检查。
以下是引用随光逐影在2009-3-9 22:15:00的发言:[br]1)肝脏多发性占位性病变(肝癌?肝转移瘤?);建议行ct增强扫描检查。2)腹膜后多发淋巴结肿大。
| 欢迎光临 医影在线 (http://bbs.radida.com/bbs/) | Powered by Discuz! X3.2 |