医影在线
标题: CT18580:咳嗽、气憋月余。 [打印本页]
作者: 风雨彩虹 时间: 2009-3-10 06:27
标题: CT18580:咳嗽、气憋月余。
m,45,咳嗽、气憋月余。先天性畸形

















[本贴已被 jiajie 于 2009-3-10 9:27:22 修改过]
作者: 风雨彩虹 时间: 2009-3-10 06:28
刚没传完
作者: ct诊断高手 时间: 2009-3-10 06:33
肺隔离征?慢支肺气肿 肺纤维化感染?
作者: 风雨彩虹 时间: 2009-3-10 06:36
标题: 回复:咳嗽、气憋月余。






作者: zsl6918 时间: 2009-3-10 06:39
资料不清晰
作者: 风雨彩虹 时间: 2009-3-10 06:41
标题: 回复:咳嗽、气憋月余。













作者: 随光逐影 时间: 2009-3-10 06:51
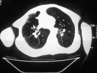
1)两肺上叶继发性肺结核,部分肺间质纤维化。2)慢性支气管炎。3)肺气肿,两上肺多发性肺大泡。4)右侧胸膜增厚可能。5)脊柱上胸段畸形。
作者: dengkai 时间: 2009-3-10 06:57
肺间质纤维化、肺大泡
作者: huangxinghai 时间: 2009-3-10 07:26
两上肺结核、纤维化,两上肺肺大泡,
作者: 黑白光影 时间: 2009-3-10 07:38
楔而不舍楼主辛苦了!
考虑:1)两肺上叶继发性肺结核,部分肺间质纤维化。2)慢支肺气肿并两上肺多发性肺大泡。3)右侧胸膜增厚可能。5)脊柱上胸段畸形。
作者: songyi 时间: 2009-3-10 16:34
支持
1)两肺上叶继发性肺结核,部分肺间质纤维化。2)慢性支气管炎。3)肺气肿,两上肺多发性肺大泡。4)
右侧胸膜增厚可能。5)脊柱上胸段畸形。
作者: 王仕学 时间: 2009-3-10 17:18
标题: 回复:咳嗽、气憋月余。
以下是引用随光逐影在2009-3-9 22:51:00的发言:[br]1)两肺上叶继发性肺结核,部分肺间质纤维化。2)慢性支气管炎。3)肺气肿,两上肺多发性肺大泡。4)右侧胸膜增厚可能。5)脊柱上胸段畸形。
作者: 深泽交通 时间: 2009-3-10 17:20
标题: 回复:咳嗽、气憋月余。
以下是引用随光逐影在2009-3-9 22:51:00的发言:[br]1)两肺上叶继发性肺结核,部分肺间质纤维化。2)慢性支气管炎。3)肺气肿,两上肺多发性肺大泡。4)右侧胸膜增厚可能。5)脊柱上胸段畸形。
作者: muzi888 时间: 2009-3-10 17:25
楔而不舍楼主辛苦了!
考虑:1)两肺上叶继发性肺结核,部分肺间质纤维化。2)慢支肺气肿并两上肺多发性肺大泡。3)右侧胸膜增厚可能。5)脊柱上胸段畸形。
黑白光影说
作者: 风雨彩虹 时间: 2009-3-10 17:27
标题: 咳嗽、气憋月余
补充一下,病人有强直性脊柱炎十多年
[本贴已被 风雨彩虹 于 2009-3-10 12:08:49 修改过]
作者: 泪洒红尘 时间: 2009-3-10 18:11
标题: 回复:ct18580:咳嗽、气憋月余。
以下是引用ct诊断高手在2009-3-9 22:33:00的发言:[br]肺隔离征?慢支肺气肿 肺纤维化感染?
我乍看都觉得你是在抢分而不是在作病例讨论分析?人家片都还没传完,你诊断就先出了???
[本贴已被 泪洒红尘 于 2009-3-10 10:19:20 修改过]
作者: ydx_74 时间: 2009-3-10 18:30
慢支炎、肺气肿、间质纤维化,双肺结核,脊柱侧弯
作者: 余辉 时间: 2009-3-10 19:16
脊柱侧弯后突畸形,1)两肺上叶继发性肺结核,部分肺间质纤维化。2)慢支肺气肿并两上肺多发性肺大泡。3)右侧胸膜增厚可能。5
作者: 杀毒软件 时间: 2009-3-10 19:33
支持大家
| 欢迎光临 医影在线 (http://bbs.radida.com/bbs/) |
Powered by Discuz! X3.2 |