医影在线

标题: CT18582:请各位老师帮忙看下!!! [打印本页]

作者: 钝刀    时间: 2009-3-10 18:22
标题: CT18582:请各位老师帮忙看下!!!
m  50  腰痛











[本贴已被 jiajie 于 2009-3-10 17:45:29 修改过]

作者: 余辉    时间: 2009-3-10 18:40
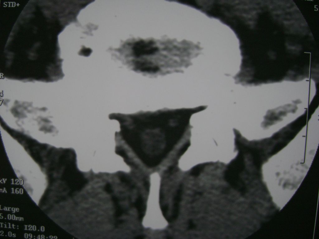
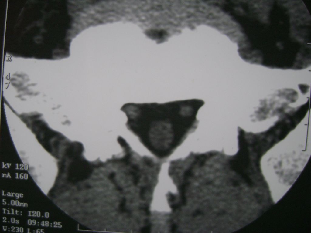
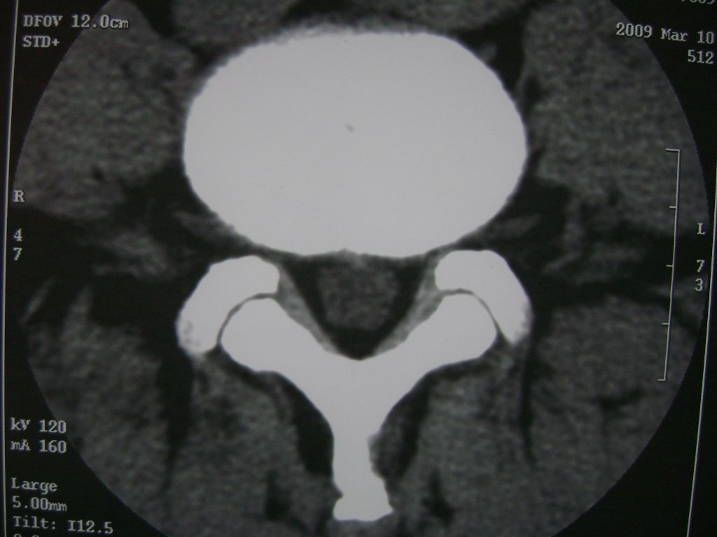
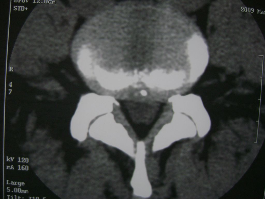
两个椎盘均有膨出及突出改变,下一个尚有椎盘积气,后纵韧带钙化,另椎管脂肪过多症
作者: 深泽交通    时间: 2009-3-10 18:50
椎间盘膨出,后纵韧带钙化,骨质增生
作者: 杀毒软件    时间: 2009-3-10 19:36
支持
作者: dengkai    时间: 2009-3-10 21:32
符合椎间盘膨出改变
作者: 祥云    时间: 2009-3-10 21:32
支持2楼。
作者: 野鹅    时间: 2009-3-10 22:00
两个椎间盘中央型重度突出,黄韧带增厚。
作者: 黑白光影    时间: 2009-3-11 00:17
支持二楼
作者: 随光逐影    时间: 2009-3-11 03:35
两个椎间盘膨出并突出,下一个椎间盘变性;双侧黄韧带钙化。
作者: zsl6918    时间: 2009-3-11 03:42
符合椎间盘突膨出改变
作者: dyqCT    时间: 2009-3-11 04:28
标题: 回复:ct18582:请各位老师帮忙看下!!!
以下是引用余辉在2009-3-10 10:40:00的发言:[br]两个椎盘均有膨出及突出改变,下一个尚有椎盘积气,后纵韧带钙化,另椎管脂肪过多症

支持!




欢迎光临 医影在线 (http://bbs.radida.com/bbs/) Powered by Discuz! X3.2