医影在线

标题: CT18584:甲状腺Ca 喉转移? [打印本页]

作者: suncl    时间: 2009-3-10 19:34
标题: CT18584:甲状腺Ca 喉转移?
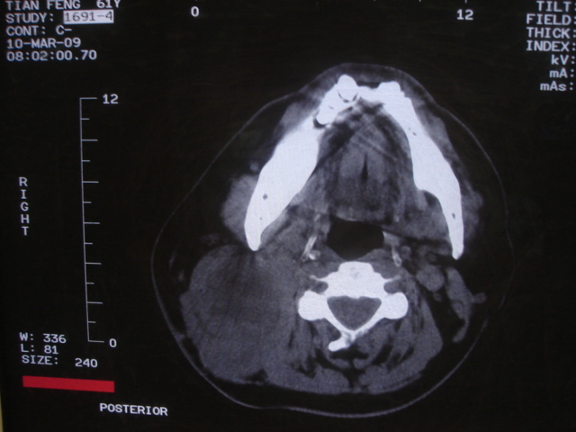
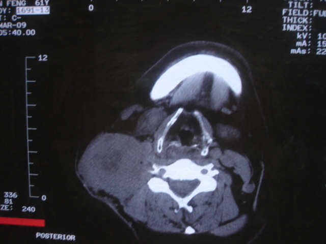
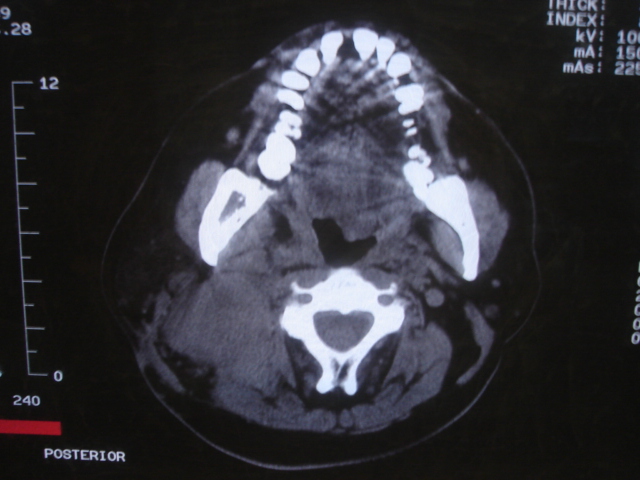
患者 男 61  甲状腺ca术后7年 颈部淋巴结转移














[本贴已被 jiajie 于 2009-3-10 17:47:35 修改过]

作者: 杀毒软件    时间: 2009-3-10 20:03
声门下区表面不光整,增厚呈局限性突起,未见局部浸润.

考虑----颈部淋巴结转移,不排除---喉乳头状瘤可能.
作者: dengkai    时间: 2009-3-10 21:38
颈部多个淋巴结增大,结合甲状腺ca术后7年病史考虑转移。
另声门区不规则突起,建议喉镜检查!
作者: 祥云    时间: 2009-3-10 21:42
右侧颈部淋巴结转移,右声带乳头突起,乳头状瘤可能性大。
作者: 野鹅    时间: 2009-3-10 21:51
这些考虑值得我学习呵!
作者: 随光逐影    时间: 2009-3-11 03:48
1)右侧颈部淋巴结转移瘤。2)右侧声带新生物,性质待定;建议喉镜检查(活检)。
作者: zsl6918    时间: 2009-3-11 03:57
结合病史符合甲状腺ca术后颈部淋巴结转移
作者: 影象小辈    时间: 2009-3-11 03:59
)右侧颈部淋巴结转移瘤。2)右侧声带新生物,性质待定;建议喉镜检查(活检)。
作者: 黑白光影    时间: 2009-3-11 04:20
标题: 回复:ct18584:甲状腺ca 喉转移?
以下是引用随光逐影在2009-3-10 19:48:00的发言:[br]1)右侧颈部淋巴结转移瘤。2)右侧声带新生物,性质待定;建议喉镜检查(活检)。

作者: dyqCT    时间: 2009-3-11 04:26
标题: 回复:ct18584:甲状腺ca 喉转移?
以下是引用随光逐影在2009-3-10 19:48:00的发言:[br]1)右侧颈部淋巴结转移瘤。2)右侧声带新生物,性质待定;建议喉镜检查(活检)。

作者: 漫步云端    时间: 2012-7-31 21:28
标题: Re:CT18584:甲状腺Ca  喉转移?
太典型了,有增强没有?




欢迎光临 医影在线 (http://bbs.radida.com/bbs/) Powered by Discuz! X3.2